Phone:
+1 877 302 8632
Fax:
+1 888 205 9894 (Toll-free)
E-Mail:
orders@antibodies-online.com

Ring Finger Protein 1 Antibodies

(Ring Finger Protein 1 (RING1))

Choose one of 70 RING1 antibodies from our product listing based on 2 publications and 63 validation images.

Explore reliable RING1 antibodies from a broad selection of renowned manufacturers. Our portfolio enables accurate RING1 detection across multiple species, including Human, Rat, Mouse, Dog, Cow, Guinea Pig, Horse, Hamster, Pig, Bat, Monkey, Rabbit, Drosophila melanogaster, and supports diverse research applications such as WB, ELISA, IHC, IF, ICC.

Quickly find the right antibody using our search, filter, and comparison tools. Each product page provides detailed validation data, literature references, and customer feedback. Unlike comparison-only resources, you can conveniently purchase antibodies directly through our site. Choose from polyclonal, monoclonal, or recombinant RING1 antibodies derived from various hosts such as Rabbit, Mouse. Browse our products below and order directly to support your research with confidence.

Alternative names for RING1 are RING1, Ring1, ring1.S, ring1.L.

70 results

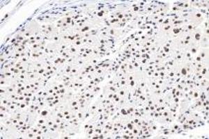
RING1 Reactivity: Human WB, ELISA, IHC (p), IF (cc), IF (p), IHC (fro) Host: Rabbit Polyclonal unconjugated
Catalog No. ABIN763031
$384.62
Plus shipping costs $50.00
100 μL
Shipping to: United States
Delivery in 4 to 7 Business Days
 
RING1 Reactivity: Human WB, ELISA Host: Mouse Monoclonal 2D5 unconjugated
Catalog No. ABIN961377
$556.60
Plus shipping costs $50.00
100 μg
Shipping to: United States
Delivery in 11 to 15 Business Days
 
RING1 Reactivity: Human WB, ELISA, IF Host: Mouse Monoclonal 8E8A2 unconjugated
Catalog No. ABIN1930733
$742.87
Plus shipping costs $50.00
100 μL
Shipping to: United States
Delivery in 11 to 15 Business Days
 
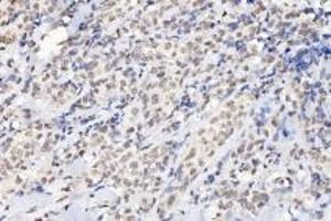
RING1 Reactivity: Human WB, IP, IHC (fp) Host: Rabbit Polyclonal unconjugated
Catalog No. ABIN7454929
$538.15
Plus shipping costs $50.00
100 μg (More quantities available)
Shipping to: United States
Delivery in 3 to 5 Business Days
 
RING1 Reactivity: Human WB, ELISA Host: Rabbit Polyclonal unconjugated
Catalog No. ABIN2579083
$1,153.53
Plus shipping costs $50.00
200 μL
Shipping to: United States
Delivery in 11 to 15 Business Days
 
RING1 Reactivity: Human WB, ELISA Host: Rabbit Polyclonal APC
Catalog No. ABIN1930735
$1,480.60
Plus shipping costs $50.00
200 μL
Shipping to: United States
Delivery in 11 to 15 Business Days
 
RING1 Reactivity: Human WB, ELISA Host: Rabbit Polyclonal Biotin
Catalog No. ABIN1930736
$1,480.60
Plus shipping costs $50.00
200 μL
Shipping to: United States
Delivery in 11 to 15 Business Days
 
RING1 Reactivity: Human WB, ELISA Host: Rabbit Polyclonal FITC
Catalog No. ABIN1930737
$1,480.60
Plus shipping costs $50.00
200 μL
Shipping to: United States
Delivery in 11 to 15 Business Days
 
RING1 Reactivity: Human WB, ELISA Host: Rabbit Polyclonal HRP
Catalog No. ABIN1930739
$1,480.60
Plus shipping costs $50.00
200 μL
Shipping to: United States
Delivery in 11 to 15 Business Days
 
RING1 Reactivity: Human WB, ELISA Host: Rabbit Polyclonal PE
Catalog No. ABIN1930738
$1,480.60
Plus shipping costs $50.00
200 μL
Shipping to: United States
Delivery in 11 to 15 Business Days
 
RING1 Reactivity: Human WB Host: Rabbit Polyclonal unconjugated
Catalog No. ABIN1810301
$643.13
Plus shipping costs $50.00
400 μL
Shipping to: United States
Delivery in 11 to 15 Business Days
 
RING1 Reactivity: Human, Rat WB Host: Rabbit Polyclonal unconjugated
Catalog No. ABIN2579085
$643.13
Plus shipping costs $50.00
400 μL
Shipping to: United States
Delivery in 11 to 15 Business Days
 
RING1 Reactivity: Mouse WB Host: Rabbit Polyclonal unconjugated
Catalog No. ABIN2579086
$643.13
Plus shipping costs $50.00
400 μL
Shipping to: United States
Delivery in 11 to 15 Business Days
 
RING1 Reactivity: Human, Mouse WB, ICC Host: Mouse Monoclonal unconjugated
Catalog No. ABIN603743
$1,064.07
Plus shipping costs $50.00
100 μg
Shipping to: United States
Delivery in 11 to 15 Business Days
 
RING1 Reactivity: Human, Rat, Mouse WB, ELISA, IHC Host: Rabbit Polyclonal unconjugated
Catalog No. ABIN7118632
$472.62
Plus shipping costs $50.00
100 μg
Shipping to: United States
Delivery in 13 to 17 Business Days
 
RING1 Reactivity: Human WB Host: Rabbit Polyclonal unconjugated
Catalog No. ABIN5532032
$680.63
Plus shipping costs $50.00
400 μL
Shipping to: United States
Delivery in 2 to 4 Business Days
 
RING1 Reactivity: Human, Dog WB, ELISA Host: Rabbit Polyclonal unconjugated
Catalog No. ABIN2461671
$650.38
Plus shipping costs $50.00
100 μL
Shipping to: United States
Delivery in 2 to 4 Business Days
 
RING1 Reactivity: Human WB, IHC, IF, ICC Host: Rabbit Monoclonal 22R33 unconjugated
Catalog No. ABIN7606185
$370.00
Plus shipping costs $50.00
100 μL
Shipping to: United States
Delivery in 4 to 7 Business Days
 
RING1 Reactivity: Human WB, ELISA Host: Rabbit Polyclonal unconjugated
Catalog No. ABIN2351999
$920.00
Plus shipping costs $50.00
200 μL
Shipping to: United States
Delivery in 11 to 17 Business Days
 
RING1 Reactivity: Human WB, IC Host: Mouse Monoclonal 9i201 unconjugated
Catalog No. ABIN2351989
$1,043.21
Plus shipping costs $50.00
100 μg
Shipping to: United States
Delivery in 11 to 17 Business Days
 
  • Type Primary
    • Primary
  • Application
    • Western Blotting (WB)
    • ELISA
    • Immunohistochemistry (IHC)
    • Immunofluorescence (IF)
    • Immunocytochemistry (ICC)
    • Flow Cytometry (FACS)
    • Immunochromatography (IC)
    • Immunohistochemistry (Paraffin-embedded Sections) (IHC (p))
    • Immunoprecipitation (IP)
    • Chromatin Immunoprecipitation (ChIP)
    • Immunofluorescence (Cultured Cells) (IF (cc))
    • Immunofluorescence (Paraffin-embedded Sections) (IF (p))
    • Immunohistochemistry (Formalin-fixed Paraffin-embedded Sections) (IHC (fp))
    • Immunohistochemistry (Frozen Sections) (IHC (fro))
  • Reactivity
    • Human
    • Rat
    • Mouse
    • Dog
    • Cow
    • Guinea Pig
    • Horse
    • Hamster
    • Pig
    • Bat
    • Monkey
    • Rabbit
    • Drosophila melanogaster
  • Cited in publications
  • Images available
  • Preservative free only
  • Carrier free only
  • Host
    • Rabbit
    • Mouse
  • Clonality
    • Polyclonal
    • Monoclonal
  • Clone
    • 8E8A2
    • 14i224
    • 22R33
    • 23GB955
    • 2A6
    • 2B3
    • 2D5
    • 4E8
    • 8C12F4
    • 9i201
    • RB50972
    • RB51604
  • Binding Specificity
    • AA 95-123
    • AA 79-263
    • AA 81-170
    • C-Term
    • N-Term
    • AA 279-313
    • AA 306-340
    • AA 1-377
    • AA 150-200
    • AA 21-120
    • AA 215-264
    • AA 252-301
    • AA 324-373
    • AA 35-39
    • AA 6-387
    • AA 81-171
    • AA 94-123
    • Middle Region
  • Conjugate
    • Un-conjugated
    • Biotin
    • Alexa Fluor 488
    • Alexa Fluor 555
    • Alexa Fluor 594
    • Alexa Fluor 647
    • Alexa Fluor 680
    • Alexa Fluor 750
    • APC
    • Alexa Fluor 350
    • Alexa Fluor 405
    • FITC
    • HRP
    • PE
  • Isotype
    • IgG
    • Ig Fraction
    • IgG1
    • IgG2a kappa
    • IgG2b
    • IgG2a
    • IgG2b kappa
  • Protein Type
    • Recombinant Antibody
  • Format
    • Liquid
    • Lyophilized
  • Grade
    • KD Validated
  • Supplier
    • antibodies-online
    • Signalway
    • ProSci
    • USBio
    • Aviva Systems Biology
    • Boster Bio
    • Cohesion Biosciences
    • Agrisera

Latest Publications for our Ring Finger Protein 1 Antibodies

Hu, Li, Zhang, Zheng: "HSCARG, a novel regulator of H2A ubiquitination by downregulating PRC1 ubiquitin E3 ligase activity, is essential for cell proliferation." in: Nucleic acids research, Vol. 42, Issue 9, pp. 5582-93, (2014) (PubMed).

Vidal: "Role of polycomb proteins Ring1A and Ring1B in the epigenetic regulation of gene expression." in: The International journal of developmental biology, Vol. 53, Issue 2-3, pp. 355-70, (2009) (PubMed).

Aliases for Ring Finger Protein 1 Antibodies

ring finger protein 1 (RING1) Antibodies
ring finger protein 1 (Ring1) Antibodies
ring finger protein 1 S homeolog (ring1.S) Antibodies
ring finger protein 1 L homeolog (ring1.L) Antibodies
bap-1 Antibodies
bap1 Antibodies
ding Antibodies
hipi3 Antibodies
ring1 Antibodies
RING1A Antibodies
Ring1A Antibodies
ring1a Antibodies
ring1b Antibodies
ring1b-B Antibodies
ring2 Antibodies
RNF1 Antibodies
rnf1 Antibodies
rnf2-a Antibodies
rnf2-b Antibodies
You are here:
Chat with us!