Phone:
+1 877 302 8632
Fax:
+1 888 205 9894 (Toll-free)
E-Mail:
orders@antibodies-online.com

SERPINB1 Antibodies

(serpin Peptidase Inhibitor, Clade B (Ovalbumin), Member 1 (SERPINB1))

Choose one of 62 SERPINB1 antibodies from our product listing based on 86 validation images.

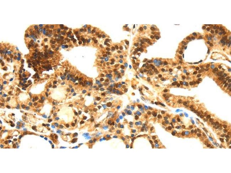
Explore reliable SERPINB1 antibodies from a broad selection of renowned manufacturers. Our portfolio enables accurate SERPINB1 detection across multiple species, including Human, Mouse, Rat, Dog, Monkey, Pig, Sheep, Cow, Horse, and supports diverse research applications such as WB, ELISA, IHC, ICC, IF.

Quickly find the right antibody using our search, filter, and comparison tools. Each product page provides detailed validation data, literature references, and customer feedback. Unlike comparison-only resources, you can conveniently purchase antibodies directly through our site. Choose from polyclonal, monoclonal, or recombinant SERPINB1 antibodies derived from various hosts such as Rabbit, Mouse, Goat. Browse our products below and order directly to support your research with confidence.

Alternative names for SERPINB1 are SERPINB1, serpinb1, serpinb1.L.

62 results

SERPINB1 Reactivity: Rat WB, IHC, IF, ICC Host: Rabbit Polyclonal unconjugated
Catalog No. ABIN7443074
$347.18
Plus shipping costs $50.00
100 μL (More quantities available)
Shipping to: United States
Delivery in 13 to 17 Business Days
 
SERPINB1 Reactivity: Mouse WB, IHC, IF, ICC Host: Rabbit Polyclonal unconjugated
Catalog No. ABIN7435499
$333.16
Plus shipping costs $50.00
100 μL (More quantities available)
Shipping to: United States
Delivery in 13 to 17 Business Days
 
SERPINB1 Reactivity: Human, Rat, Monkey, Dog WB, IHC, FACS, IHC (p) Host: Mouse Monoclonal 3B4 unconjugated
Catalog No. ABIN1491670
$704.73
Plus shipping costs $50.00
100 μL
Shipping to: United States
Delivery in 11 to 15 Business Days
 
SERPINB1 Reactivity: Human, Rat, Dog WB, IHC, FACS, IHC (p) Host: Mouse Monoclonal 4B3 unconjugated
Catalog No. ABIN1491671
$704.73
Plus shipping costs $50.00
100 μL
Shipping to: United States
Delivery in 11 to 15 Business Days
 
SERPINB1 Reactivity: Human WB, IP Host: Rabbit Polyclonal unconjugated
Catalog No. ABIN515232
$474.46
Plus shipping costs $50.00
100 μL
Shipping to: United States
Delivery in 11 to 14 Business Days
 
SERPINB1 Reactivity: Human WB, IHC, ELISA, IF, IP Host: Rabbit Polyclonal unconjugated
Catalog No. ABIN7158247
$394.68
Plus shipping costs $50.00
100 μg (More quantities available)
Shipping to: United States
Delivery in 13 to 17 Business Days
 
SERPINB1 Reactivity: Human WB, IHC, IF Host: Rabbit Polyclonal unconjugated
Catalog No. ABIN6147583
$383.00
Plus shipping costs $50.00
100 μL (More quantities available)
Shipping to: United States
Delivery in 7 to 10 Business Days
 
SERPINB1 Reactivity: Human WB, ELISA, IF Host: Mouse Monoclonal 4D7 unconjugated
Catalog No. ABIN515235
$489.14
Plus shipping costs $50.00
100 μg
Shipping to: United States
Delivery in 11 to 14 Business Days
 
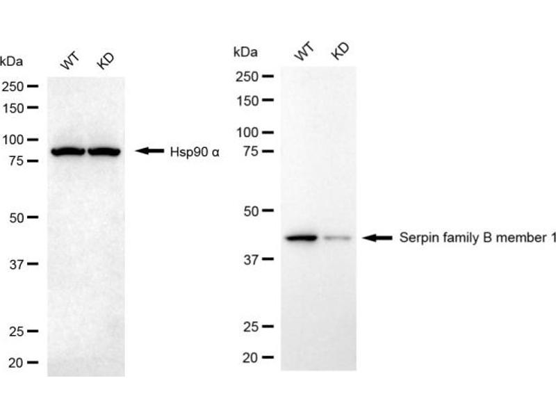
KD Validated SERPINB1 Reactivity: Human WB, FACS Host: Mouse Monoclonal 24GB6545 unconjugated
Catalog No. ABIN7800319
$598.92
Plus shipping costs $50.00
100 μL
Shipping to: United States
Delivery in 3 to 5 Business Days
 
KD Validated SERPINB1 Reactivity: Human WB, FACS Host: Mouse Monoclonal 24GB6540 unconjugated
Catalog No. ABIN7800318
$598.92
Plus shipping costs $50.00
100 μL
Shipping to: United States
Delivery in 3 to 5 Business Days
 
SERPINB1 Reactivity: Human WB, IHC, ELISA Host: Rabbit Polyclonal unconjugated
Catalog No. ABIN7158251
$394.68
Plus shipping costs $50.00
100 μL (More quantities available)
Shipping to: United States
Delivery in 13 to 17 Business Days
 
SERPINB1 Reactivity: Human, Monkey, Dog WB Host: Mouse Monoclonal 2B10 unconjugated
Catalog No. ABIN1491673
$704.73
Plus shipping costs $50.00
100 μL
Shipping to: United States
Delivery in 11 to 15 Business Days
 
SERPINB1 Reactivity: Human WB, ELISA Host: Mouse Monoclonal 4A7 unconjugated
Catalog No. ABIN515234
$489.14
Plus shipping costs $50.00
100 μg
Shipping to: United States
Delivery in 11 to 14 Business Days
 
SERPINB1 Reactivity: Human WB Host: Mouse Polyclonal unconjugated
Catalog No. ABIN515231
$489.14
Plus shipping costs $50.00
50 μg
Shipping to: United States
Delivery in 11 to 14 Business Days
 
SERPINB1 Reactivity: Human WB, IHC, IP, ICC Host: Rabbit Polyclonal unconjugated
Catalog No. ABIN1868959
$245.00
Plus shipping costs $50.00
100 μL (More quantities available)
Shipping to: United States
Delivery in 13 to 17 Business Days
 
SERPINB1 Reactivity: Human WB, ELISA, IF, ICC, FACS Host: Rabbit Polyclonal unconjugated
Catalog No. ABIN7601949
$370.00
Plus shipping costs $50.00
100 μg
Shipping to: United States
Delivery in 4 to 7 Business Days
 
SERPINB1 Reactivity: Human, Mouse IHC, ELISA Host: Rabbit Polyclonal unconjugated
Catalog No. ABIN7000857
$142.80
Plus shipping costs $50.00
20 μL
Shipping to: United States
Delivery in 11 to 15 Business Days
 
SERPINB1 Reactivity: Human WB Host: Rabbit Polyclonal unconjugated
Catalog No. ABIN2855844
$564.19
Plus shipping costs $50.00
100 μL
Shipping to: United States
Delivery in 3 to 5 Business Days
 
Verified SERPINB1 Reactivity: Human WB, IHC, ELISA Host: Goat Polyclonal unconjugated
Catalog No. ABIN1782170
$488.25
Plus shipping costs $50.00
100 μg
Shipping to: United States
Delivery in 1 to 3 Business Days
 
Verified SERPINB1 Reactivity: Human WB, IHC, ELISA Host: Goat Polyclonal unconjugated
Catalog No. ABIN1782172
$488.25
Plus shipping costs $50.00
100 μg
Shipping to: United States
Delivery in 1 to 3 Business Days
 
  • Type Primary
    • Primary
  • Application
    • Western Blotting (WB)
    • ELISA
    • Immunohistochemistry (IHC)
    • Immunocytochemistry (ICC)
    • Immunofluorescence (IF)
    • Flow Cytometry (FACS)
    • Immunoprecipitation (IP)
    • Immunohistochemistry (Paraffin-embedded Sections) (IHC (p))
    • Enzyme Immunoassay (EIA)
    • Immunofluorescence (fixed cells) (IF/ICC)
  • Reactivity
    • Human
    • Mouse
    • Rat
    • Dog
    • Monkey
    • Pig
    • Sheep
    • Cow
    • Horse
  • Images available
  • Preservative free only
  • Carrier free only
  • Host
    • Rabbit
    • Mouse
    • Goat
  • Clonality
    • Polyclonal
    • Monoclonal
  • Clone
    • 1D1
    • 24GB6540
    • 24GB6545
    • 2B10
    • 2B4
    • 3B4
    • 4A7
    • 4B3
    • 4D7
  • Binding Specificity
    • AA 1-379
    • AA 168-196
    • AA 77-306
    • Center
    • AA 100-379
    • AA 13-252
    • AA 167-196
    • AA 17-332
    • Internal Region
    • Middle Region
    • AA 130-143
    • AA 184-368
    • AA 201-300
    • AA 215-264
    • AA 52-275
    • N-Term
  • Conjugate
    • Un-conjugated
    • Biotin
    • FITC
    • Alexa Fluor 488
    • Alexa Fluor 555
    • Alexa Fluor 594
    • Alexa Fluor 647
    • Alexa Fluor 680
    • Alexa Fluor 750
    • HRP
    • APC
    • PE
  • Isotype
    • IgG
    • IgG2b
    • Ig Fraction
    • IgG2a
    • IgG1
  • Format
    • Liquid
    • Lyophilized
  • Grade
    • KD Validated
    • Verified
  • Supplier
    • antibodies-online
    • Signalway
    • Cohesion Biosciences
    • USBio
    • Abbexa
    • Acris
    • Aviva Systems Biology
    • Biomatik
    • Boster Bio
    • CUSABIO
    • Cloud-Clone
    • ProSci
    • RayBiotech

Latest Publications for our SERPINB1 Antibodies

Gallardo, Barrio, Fernandez, Paradela, Arenas, Toldos, Ayala, Albizua, Jimenez, Redondo, Garcia-Martin, Gilsanz, Albar, Martinez-Lopez: "Proteomic analysis reveals heat shock protein 70 has a key role in polycythemia Vera." in: Molecular cancer, Vol. 12, pp. 142, (2013) (PubMed).

Aliases for SERPINB1 Antibodies

serpin peptidase inhibitor, clade B (ovalbumin), member 1 (SERPINB1) Antibodies
serpin family B member 1 (SERPINB1) Antibodies
serpin peptidase inhibitor, clade B (ovalbumin), member 1 (serpinb1) Antibodies
serpin family B member 1 L homeolog (serpinb1.L) Antibodies
EI Antibodies
ELANH2 Antibodies
elanh2 Antibodies
LEI Antibodies
lei Antibodies
M/NEI Antibodies
m/nei Antibodies
MNEI Antibodies
mnei Antibodies
PI-2 Antibodies
PI2 Antibodies
pi2 Antibodies
si:dkey-177p2.11 Antibodies
si:dkey-177p2.12 Antibodies
zgc:91981 Antibodies
You are here:
Chat with us!