Phone:
+1 877 302 8632
Fax:
+1 888 205 9894 (Toll-free)
E-Mail:
orders@antibodies-online.com

SOAT2 Antibodies

(Sterol O-Acyltransferase 2 (SOAT2))

Choose one of 22 SOAT2 antibodies from our product listing based on 14 validation images.

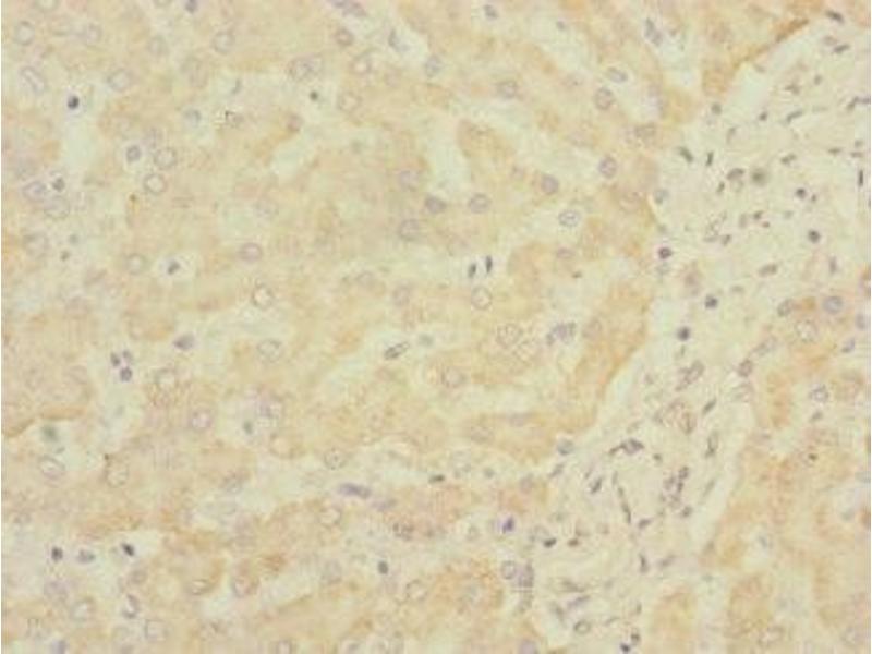
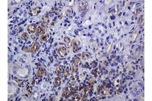
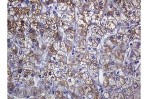
Explore reliable SOAT2 antibodies from a broad selection of renowned manufacturers. Our portfolio enables accurate SOAT2 detection across multiple species, including Human, Rat, Mouse, Monkey, and supports diverse research applications such as WB, IF (cc), IF (p), ELISA, IHC.

Quickly find the right antibody using our search, filter, and comparison tools. Each product page provides detailed validation data, literature references, and customer feedback. Unlike comparison-only resources, you can conveniently purchase antibodies directly through our site. Choose from polyclonal, monoclonal, or recombinant SOAT2 antibodies derived from various hosts such as Rabbit, Mouse. Browse our products below and order directly to support your research with confidence.

Alternative names for SOAT2 are SOAT2, Soat2, soat2.S, LELG_02432, PTRG_09319, MGYG_01129, Tsp_07565, soat2.

22 results

SOAT2 Reactivity: Human IHC, IHC (p) Host: Mouse Monoclonal 2D3 unconjugated
Catalog No. ABIN1490565
-15% Promotion 2026
$599.02
$704.73
save $105.71 (-15 %)
Plus shipping costs $50.00
100 μL
Shipping to: United States
Delivery in 11 to 14 Business Days
 
SOAT2 Reactivity: Human, Rat WB, ELISA, IF (cc), IF (p), IHC (p), IHC (fro) Host: Rabbit Polyclonal unconjugated
Catalog No. ABIN708476
-15% Promotion 2026
$326.93
$384.62
save $57.69 (-15 %)
Plus shipping costs $50.00
100 μL
Shipping to: United States
Delivery in 4 to 6 Business Days
 
SOAT2 Reactivity: Human WB, IHC, ELISA Host: Rabbit Polyclonal unconjugated
Catalog No. ABIN7170777
-15% Promotion 2026
$335.48
$394.68
save $59.20 (-15 %)
Plus shipping costs $50.00
100 μL (More quantities available)
Shipping to: United States
Delivery in 13 to 16 Business Days
 
SOAT2 Reactivity: Human IHC, ELISA Host: Rabbit Polyclonal unconjugated
Catalog No. ABIN7170776
-15% Promotion 2026
$335.48
$394.68
save $59.20 (-15 %)
Plus shipping costs $50.00
100 μL (More quantities available)
Shipping to: United States
Delivery in 13 to 16 Business Days
 
SOAT2 Reactivity: Human, Rat, Mouse WB Host: Rabbit Polyclonal unconjugated
Catalog No. ABIN7094050
-15% Promotion 2026
$420.55
$494.77
save $74.22 (-15 %)
Plus shipping costs $50.00
100 μL (More quantities available)
Shipping to: United States
Delivery in 11 to 12 Business Days
 
SOAT2 Reactivity: Human, Rat WB, ELISA, IHC (p), IHC (fro) Host: Rabbit Polyclonal Biotin
Catalog No. ABIN708478
-15% Promotion 2026
$383.42
$451.08
save $67.66 (-15 %)
Plus shipping costs $50.00
100 μL
Shipping to: United States
Delivery in 11 to 16 Business Days
 
SOAT2 Reactivity: Human, Rat WB, IF (cc), IF (p) Host: Rabbit Polyclonal AbBy Fluor® 350
Catalog No. ABIN916011
-15% Promotion 2026
$389.69
$458.46
save $68.77 (-15 %)
Plus shipping costs $50.00
100 μL
Shipping to: United States
Delivery in 11 to 16 Business Days
 
SOAT2 Reactivity: Human, Rat WB, IF (cc), IF (p) Host: Rabbit Polyclonal AbBy Fluor® 647
Catalog No. ABIN916014
-15% Promotion 2026
$389.69
$458.46
save $68.77 (-15 %)
Plus shipping costs $50.00
100 μL
Shipping to: United States
Delivery in 11 to 16 Business Days
 
SOAT2 Reactivity: Human, Rat WB, IF (cc), IF (p) Host: Rabbit Polyclonal AbBy Fluor® 555
Catalog No. ABIN916012
-15% Promotion 2026
$389.69
$458.46
save $68.77 (-15 %)
Plus shipping costs $50.00
100 μL
Shipping to: United States
Delivery in 11 to 16 Business Days
 
SOAT2 Reactivity: Human, Rat WB, IF (cc), IF (p) Host: Rabbit Polyclonal AbBy Fluor® 750
Catalog No. ABIN5010816
-15% Promotion 2026
$389.69
$458.46
save $68.77 (-15 %)
Plus shipping costs $50.00
100 μL
Shipping to: United States
Delivery in 11 to 16 Business Days
 
SOAT2 Reactivity: Human, Rat WB, IF (cc), IF (p) Host: Rabbit Polyclonal AbBy Fluor® 680
Catalog No. ABIN5010815
-15% Promotion 2026
$389.69
$458.46
save $68.77 (-15 %)
Plus shipping costs $50.00
100 μL
Shipping to: United States
Delivery in 11 to 16 Business Days
 
SOAT2 Reactivity: Human, Rat WB, IF (cc), IF (p) Host: Rabbit Polyclonal AbBy Fluor® 594
Catalog No. ABIN2806548
-15% Promotion 2026
$389.69
$458.46
save $68.77 (-15 %)
Plus shipping costs $50.00
100 μL
Shipping to: United States
Delivery in 11 to 16 Business Days
 
SOAT2 Reactivity: Human, Rat WB, IF (cc), IF (p) Host: Rabbit Polyclonal AbBy Fluor® 488
Catalog No. ABIN916010
-15% Promotion 2026
$389.69
$458.46
save $68.77 (-15 %)
Plus shipping costs $50.00
100 μL
Shipping to: United States
Delivery in 11 to 16 Business Days
 
SOAT2 Reactivity: Human, Rat WB, IF (cc), IF (p) Host: Rabbit Polyclonal Cy5
Catalog No. ABIN708480
-15% Promotion 2026
$399.89
$470.46
save $70.57 (-15 %)
Plus shipping costs $50.00
100 μL
Shipping to: United States
Delivery in 11 to 16 Business Days
 
SOAT2 Reactivity: Human, Rat WB, IF (cc), IF (p) Host: Rabbit Polyclonal Cy3
Catalog No. ABIN708479
-15% Promotion 2026
$399.89
$470.46
save $70.57 (-15 %)
Plus shipping costs $50.00
100 μL
Shipping to: United States
Delivery in 11 to 16 Business Days
 
SOAT2 Reactivity: Human, Rat WB, IF (cc), IF (p) Host: Rabbit Polyclonal Cy5.5
Catalog No. ABIN708481
-15% Promotion 2026
$399.89
$470.46
save $70.57 (-15 %)
Plus shipping costs $50.00
100 μL
Shipping to: United States
Delivery in 11 to 16 Business Days
 
SOAT2 Reactivity: Human, Rat WB, IF (cc), IF (p) Host: Rabbit Polyclonal Cy7
Catalog No. ABIN708482
-15% Promotion 2026
$399.89
$470.46
save $70.57 (-15 %)
Plus shipping costs $50.00
100 μL
Shipping to: United States
Delivery in 11 to 16 Business Days
 
SOAT2 Reactivity: Human, Rat WB, ELISA, IHC (p), IHC (fro) Host: Rabbit Polyclonal HRP
Catalog No. ABIN708485
-15% Promotion 2026
$399.89
$470.46
save $70.57 (-15 %)
Plus shipping costs $50.00
100 μL
Shipping to: United States
Delivery in 11 to 16 Business Days
 
SOAT2 Reactivity: Human, Rat WB, IF (cc), IF (p) Host: Rabbit Polyclonal FITC
Catalog No. ABIN708483
-15% Promotion 2026
$399.89
$470.46
save $70.57 (-15 %)
Plus shipping costs $50.00
100 μL
Shipping to: United States
Delivery in 11 to 16 Business Days
 
SOAT2 Reactivity: Human, Monkey WB, IHC, ICC Host: Rabbit Polyclonal unconjugated
Catalog No. ABIN2451775
-15% Promotion 2026
$595.28
$700.33
save $105.05 (-15 %)
Plus shipping costs $50.00
1 each
Shipping to: United States
Delivery in 11 to 14 Business Days
 
  • Type Primary
    • Primary
  • Application
    • Western Blotting (WB)
    • Immunofluorescence (Cultured Cells) (IF (cc))
    • Immunofluorescence (Paraffin-embedded Sections) (IF (p))
    • ELISA
    • Immunohistochemistry (IHC)
    • Immunohistochemistry (Paraffin-embedded Sections) (IHC (p))
    • Immunohistochemistry (Frozen Sections) (IHC (fro))
    • Immunochromatography (IC)
    • Immunocytochemistry (ICC)
  • Reactivity
    • Human
    • Rat
    • Mouse
    • Monkey
  • Images available
  • Carrier free only
  • Host
    • Rabbit
    • Mouse
  • Clonality
    • Polyclonal
    • Monoclonal
  • Clone
    • 2D3
  • Binding Specificity
    • AA 331-430
    • AA 1-120
    • AA 3-20
    • C-Term
  • Conjugate
    • Un-conjugated
    • AbBy Fluor® 350
    • AbBy Fluor® 488
    • AbBy Fluor® 555
    • AbBy Fluor® 594
    • AbBy Fluor® 647
    • AbBy Fluor® 680
    • AbBy Fluor® 750
    • Biotin
    • Cy3
    • Cy5
    • Cy5.5
    • Cy7
    • FITC
    • HRP
  • Isotype
    • IgG
    • IgG1
  • Format
    • Liquid
  • Supplier
    • antibodies-online
    • ProteoGenix
    • USBio

Aliases for SOAT2 Antibodies

sterol O-acyltransferase 2 (SOAT2) Antibodies
sterol O-acyltransferase 2 (Soat2) Antibodies
sterol O-acyltransferase 2 S homeolog (soat2.S) Antibodies
sterol O-acyltransferase 2 (LELG_02432) Antibodies
sterol O-acyltransferase 2 (PTRG_09319) Antibodies
sterol O-acyltransferase 2 (MGYG_01129) Antibodies
sterol O-acyltransferase 2 (Tsp_07565) Antibodies
sterol O-acyltransferase 2 (soat2) Antibodies
ACACT2 Antibodies
Acat-2 Antibodies
ACAT2 Antibodies
ARGP2 Antibodies
D15Wsu97e Antibodies
MGC154806 Antibodies
SOAT2 Antibodies
soat2 Antibodies
You are here:
Chat with us!