Phone:
+1 877 302 8632
Fax:
+1 888 205 9894 (Toll-free)
E-Mail:
orders@antibodies-online.com

STAM Antibodies

(Signal Transducing Adaptor Molecule (SH3 Domain and ITAM Motif) 1 (STAM))

Choose one of 50 STAM antibodies from our product listing based on 1 publication and 40 validation images.

Explore reliable STAM antibodies from a broad selection of renowned manufacturers. Our portfolio enables accurate STAM detection across multiple species, including Human, Mouse, Rat, Cow, Dog, Rabbit, Guinea Pig, Horse, Pig, Zebrafish (Danio rerio), Monkey, and supports diverse research applications such as WB, ELISA, IHC, IP, IHC (p).

Quickly find the right antibody using our search, filter, and comparison tools. Each product page provides detailed validation data, literature references, and customer feedback. Unlike comparison-only resources, you can conveniently purchase antibodies directly through our site. Choose from polyclonal, monoclonal, or recombinant STAM antibodies derived from various hosts such as Rabbit, Mouse, Goat. Browse our products below and order directly to support your research with confidence.

Alternative names for STAM are STAM, CpipJ_CPIJ003516, Tsp_03939, stam-1, Stam, stam.

50 results

STAM Reactivity: Human WB, IHC, IP, ICC Host: Rabbit Polyclonal unconjugated
Catalog No. ABIN7442918
$313.13
Plus shipping costs $50.00
100 μL (More quantities available)
Shipping to: United States
Delivery in 13 to 17 Business Days
 
STAM Reactivity: Rat WB, IHC, IP, ICC Host: Rabbit Polyclonal unconjugated
Catalog No. ABIN7443425
$333.16
Plus shipping costs $50.00
100 μL (More quantities available)
Shipping to: United States
Delivery in 13 to 17 Business Days
 
STAM Reactivity: Human WB, ELISA, IP, IHC (p) Host: Mouse Monoclonal 2B11-1G1 unconjugated
Catalog No. ABIN563522
$520.15
Plus shipping costs $50.00
100 μg
Shipping to: United States
Delivery in 11 to 14 Business Days
 
STAM Reactivity: Human, Mouse WB Host: Rabbit Polyclonal RB4633 unconjugated
Pubmed 1 reference
Catalog No. ABIN1882134
$451.00
Plus shipping costs $50.00
400 μL (More quantities available)
Shipping to: United States
Delivery in 10 to 12 Business Days
 
STAM Reactivity: Human WB, IHC (p) Host: Rabbit Polyclonal RB04604 unconjugated
Catalog No. ABIN388974
$451.00
Plus shipping costs $50.00
400 μL (More quantities available)
Shipping to: United States
Delivery in 10 to 12 Business Days
 
STAM Reactivity: Human, Mouse IHC, ELISA Host: Rabbit Polyclonal unconjugated
Catalog No. ABIN7236033
$538.80
Plus shipping costs $50.00
200 μL (More quantities available)
Shipping to: United States
Delivery in 11 to 15 Business Days
 
STAM Reactivity: Mouse WB, IHC, IP, ICC Host: Rabbit Polyclonal unconjugated
Catalog No. ABIN7442921
$320.14
Plus shipping costs $50.00
100 μL (More quantities available)
Shipping to: United States
Delivery in 13 to 17 Business Days
 
STAM Reactivity: Human WB, IHC (p) Host: Rabbit Polyclonal unconjugated
Catalog No. ABIN2856220
$564.19
Plus shipping costs $50.00
100 μL
Shipping to: United States
Delivery in 3 to 5 Business Days
 
STAM Reactivity: Human WB, ELISA Host: Mouse Polyclonal unconjugated
Catalog No. ABIN563521
$359.85
Plus shipping costs $50.00
50 μL
Shipping to: United States
Delivery in 11 to 14 Business Days
 
Verified STAM Reactivity: Human WB, IHC, ELISA Host: Goat Polyclonal unconjugated
Catalog No. ABIN7505830
$488.25
Plus shipping costs $50.00
100 μg
Shipping to: United States
Delivery in 1 to 3 Business Days
 
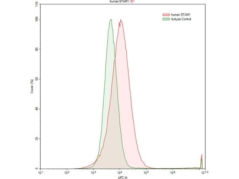
STAM Reactivity: Human FACS Host: Rabbit Polyclonal unconjugated
Catalog No. ABIN6992510
$281.08
Plus shipping costs $50.00
50 tests (More quantities available)
Shipping to: United States
Delivery in 13 to 17 Business Days
 
STAM Reactivity: Human WB Host: Mouse Monoclonal 29C678 unconjugated
Catalog No. ABIN207868
$632.87
Plus shipping costs $50.00
0.1 mg
Shipping to: United States
Delivery in 11 to 15 Business Days
 
STAM Reactivity: Human, Mouse, Rat, Cow, Dog, Rabbit, Guinea Pig, Horse, Pig, Zebrafish (Danio rerio), Monkey WB Host: Rabbit Polyclonal unconjugated
Catalog No. ABIN6748011
$690.07
Plus shipping costs $50.00
100 μL
Shipping to: United States
Delivery in 11 to 15 Business Days
 
STAM Reactivity: Human WB, IHC Host: Rabbit Polyclonal unconjugated
Catalog No. ABIN1682903
$383.00
Plus shipping costs $50.00
100 μg (More quantities available)
Shipping to: United States
Delivery in 7 to 10 Business Days
 
STAM Reactivity: Human, Mouse WB, IHC (p), EIA Host: Rabbit Polyclonal unconjugated
Catalog No. ABIN357620
$846.00
Plus shipping costs $50.00
0.4 mL
Shipping to: United States
Delivery in 1 to 2 Business Days
 
STAM Reactivity: Human, Mouse, Rat, Cow, Dog, Rabbit, Guinea Pig, Horse, Zebrafish (Danio rerio) WB Host: Rabbit Polyclonal unconjugated
Catalog No. ABIN2789368
$483.54
Plus shipping costs $50.00
100 μL (More quantities available)
Shipping to: United States
Delivery in 2 to 4 Business Days
 
STAM Reactivity: Human WB, IHC, ELISA Host: Rabbit Polyclonal unconjugated
Catalog No. ABIN7571392
$355.94
Plus shipping costs $50.00
100 μg
Shipping to: United States
Delivery in 12 to 15 Business Days
 
STAM Reactivity: Human WB, ELISA Host: Rabbit Polyclonal unconjugated
Catalog No. ABIN7231552
$379.10
Plus shipping costs $50.00
100 μL (More quantities available)
Shipping to: United States
Delivery in 12 to 16 Business Days
 
STAM Reactivity: Human WB, ICC, IHC (p), IF Host: Rabbit Polyclonal unconjugated
Catalog No. ABIN7468971
$740.00
Plus shipping costs $50.00
100 μL
Shipping to: United States
Delivery in 3 to 5 Business Days
 
STAM Reactivity: Rat ELISA, IHC (p), IF (cc), IF (p), IHC (fro) Host: Rabbit Polyclonal unconjugated
Catalog No. ABIN873004
$384.62
Plus shipping costs $50.00
100 μL
Shipping to: United States
Delivery in 4 to 7 Business Days
 
  • Type Primary
    • Primary
  • Application
    • Western Blotting (WB)
    • ELISA
    • Immunohistochemistry (IHC)
    • Immunoprecipitation (IP)
    • Immunohistochemistry (Paraffin-embedded Sections) (IHC (p))
    • Immunocytochemistry (ICC)
    • Immunofluorescence (IF)
    • Flow Cytometry (FACS)
    • Enzyme Immunoassay (EIA)
    • Immunofluorescence (Cultured Cells) (IF (cc))
    • Immunofluorescence (Paraffin-embedded Sections) (IF (p))
    • Immunohistochemistry (Formalin-fixed Paraffin-embedded Sections) (IHC (fp))
    • Immunohistochemistry (Frozen Sections) (IHC (fro))
  • Reactivity
    • Human
    • Mouse
    • Rat
    • Cow
    • Dog
    • Rabbit
    • Guinea Pig
    • Horse
    • Pig
    • Zebrafish (Danio rerio)
    • Monkey
  • Cited in publications
  • Images available
  • Preservative free only
  • Carrier free only
  • Host
    • Rabbit
    • Mouse
    • Goat
    • Sheep
  • Clonality
    • Polyclonal
    • Monoclonal
  • Clone
    • 2B11-1G1
    • 29C678
    • RB04604
    • RB4633
  • Binding Specificity
    • AA 326-356
    • AA 1-403
    • C-Term
    • N-Term
    • AA 1-30
    • AA 196-465
    • AA 199-466
    • AA 300-350
    • AA 400-450
    • AA 1-404
    • AA 101-200
    • AA 120-210
    • AA 149-165
    • AA 151-200
    • AA 16-296
    • AA 16-326
    • AA 199-464
    • AA 2-141
    • AA 9-254
    • Center
    • Internal Region
  • Conjugate
    • Un-conjugated
    • Biotin
    • APC
    • Alexa Fluor 488
    • Alexa Fluor 555
    • Alexa Fluor 594
    • Alexa Fluor 647
    • Alexa Fluor 680
    • Alexa Fluor 750
    • FITC
    • HRP
    • PE
  • Isotype
    • IgG
    • Ig Fraction
    • IgG1
    • IgG1 kappa
  • Format
    • Liquid
    • Lyophilized
  • Grade
    • Verified
  • Supplier
    • antibodies-online
    • Signalway
    • USBio
    • Acris
    • Aviva Systems Biology
    • Boster Bio
    • ProteoGenix
    • RayBiotech

Latest Publications for our STAM Antibodies

Ortiz, Lee, Smith, Forman, Lee, Liu: "Comparative analyses of differentially induced T-cell receptor-mediated phosphorylation pathways in T lymphoma cells." in: Experimental biology and medicine (Maywood, N.J.), Vol. 235, Issue 12, pp. 1450-63, (2010) (PubMed).

Aliases for STAM Antibodies

signal transducing adaptor molecule (STAM) Antibodies
signal transducing adapter molecule 1 (CpipJ_CPIJ003516) Antibodies
signal transducing adapter molecule 1 (Tsp_03939) Antibodies
Signal transducing adapter molecule 1 (stam-1) Antibodies
signal transducing adaptor molecule (SH3 domain and ITAM motif) 1 (Stam) Antibodies
signal transducing adaptor molecule (SH3 domain and ITAM motif) 1 (stam) Antibodies
signal transducing adaptor molecule (Stam) Antibodies
RGD1564499 Antibodies
STAM-1 Antibodies
STAM1 Antibodies
wu:fv75b10 Antibodies
zgc:55725 Antibodies
You are here:
Chat with us!