GADD34 antibody
Quick Overview for GADD34 antibody (ABIN1498364)
Target
See all GADD34 (PPP1R15A) AntibodiesReactivity
Host
Clonality
Conjugate
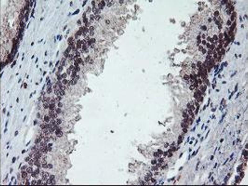
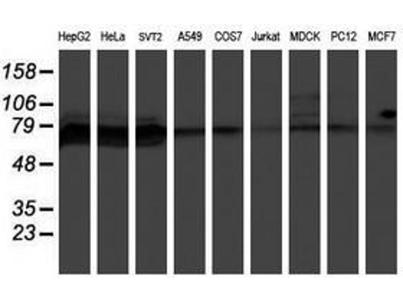
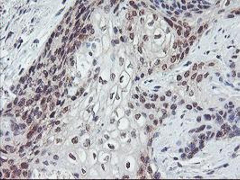
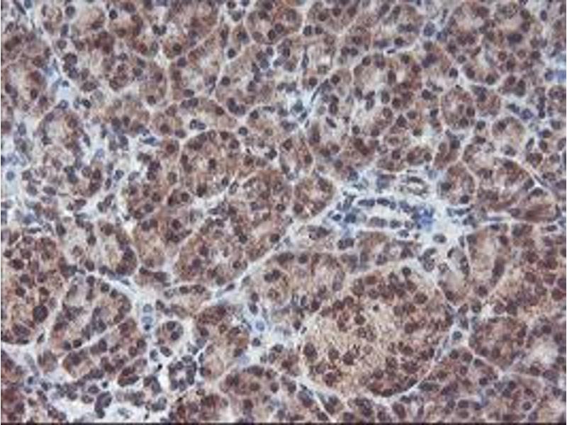
Application
Clone
-
-
Specificity
- Human GADD34
-
Purification
- Protein A/G purified
-
Immunogen
-
Full length human recombinant protein of human PPP1R15A(NP_055145) produced in HEK293T cell.
Type of Immunogen: Recombinant protein -
Isotype
- IgG2b
-
-
-
-
Application Notes
- Approved: Flo (1:100), IF (1:100), IHC, IHC-P (1:150), WB (1:500 - 1:2000)
-
Comment
-
Target Species of Antibody: Human
-
Restrictions
- For Research Use only
-
-
-
Format
- Liquid
-
Concentration
- Lot specific
-
Buffer
- PBS, pH 7.3, 1 % BSA, 50 % glycerol, 0.02 % sodium azide
-
Preservative
- Sodium azide
-
Precaution of Use
- This product contains Sodium azide: a POISONOUS AND HAZARDOUS SUBSTANCE which should be handled by trained staff only.
-
Handling Advice
- Minimize freezing and thawing.
-
Storage
- -20 °C
-
Storage Comment
- Store at -20°C. Avoid freeze-thaw cycles.
-
-
- GADD34 (PPP1R15A) (Protein Phosphatase 1, Regulatory (Inhibitor) Subunit 15A (PPP1R15A))
-
Alternative Name
- PPP1R15A / GADD34
-
Background
-
Name/Gene ID: PPP1R15A
Synonyms: PPP1R15A, GADD34 -
Gene ID
- 23645
-
NCBI Accession
- NP_055145
-
UniProt
- O75807
-
Pathways
- ER-Nucleus Signaling, Unfolded Protein Response
Target
-