Phone:
+1 877 302 8632
Fax:
+1 888 205 9894 (Toll-free)
E-Mail:
orders@antibodies-online.com

C-JUN antibody (pSer243)

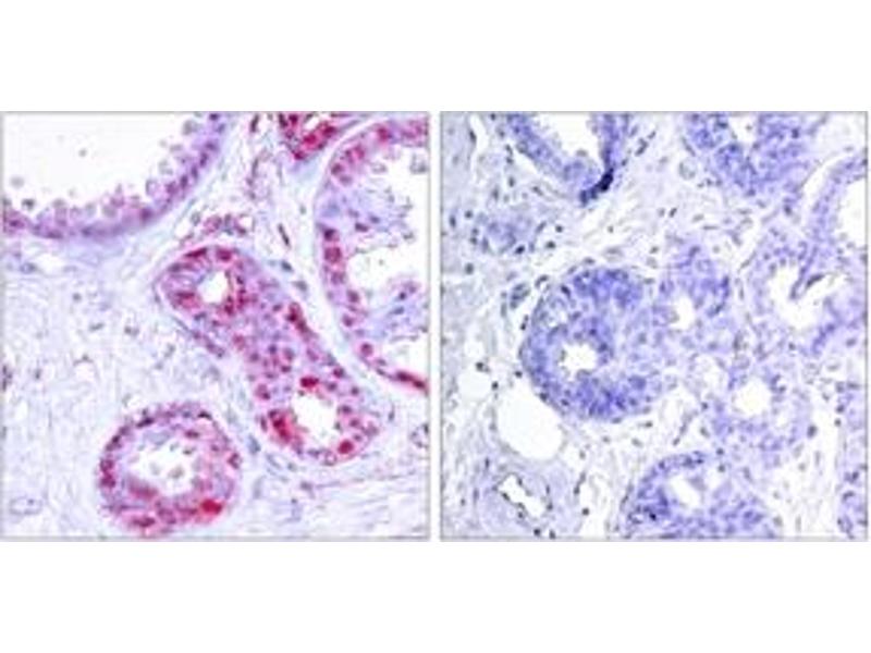
The Rabbit Polyclonal anti-C-JUN antibody is suitable to detect C-JUN in samples from Human, Mouse and Rat. It has been validated for WB, IHC, ELISA and IP.
Catalog No. ABIN1531886
$341.00
Plus shipping costs $50.00
Shipping to: United States
Delivery in 2 to 4 Business Days

Quick Overview for C-JUN antibody (pSer243) (ABIN1531886)

Target

See all C-JUN (JUN) Antibodies
C-JUN (JUN) (Jun Proto-Oncogene (JUN))

Reactivity

  • 420
  • 254
  • 243
  • 32
  • 26
  • 21
  • 18
  • 16
  • 16
  • 12
  • 12
  • 7
  • 5
  • 4
  • 3
  • 1
  • 1
Human, Mouse, Rat

Host

  • 404
  • 27
  • 1
Rabbit

Clonality

  • 333
  • 99
Polyclonal

Conjugate

  • 195
  • 24
  • 16
  • 16
  • 16
  • 16
  • 16
  • 16
  • 10
  • 10
  • 10
  • 7
  • 7
  • 6
  • 6
  • 6
  • 6
  • 6
  • 6
  • 6
  • 6
  • 5
  • 5
  • 5
  • 3
  • 1
  • 1
  • 1
  • 1
  • 1
  • 1
  • 1
This C-JUN antibody is un-conjugated

Application

  • 299
  • 164
  • 112
  • 98
  • 79
  • 64
  • 58
  • 56
  • 50
  • 43
  • 23
  • 11
  • 11
  • 4
  • 3
  • 3
  • 2
  • 2
  • 1
  • 1
  • 1
Western Blotting (WB), Immunohistochemistry (IHC), ELISA, Immunoprecipitation (IP)
  • Binding Specificity

    • 62
    • 60
    • 40
    • 29
    • 22
    • 16
    • 16
    • 15
    • 11
    • 10
    • 8
    • 7
    • 7
    • 7
    • 6
    • 5
    • 4
    • 4
    • 4
    • 4
    • 4
    • 4
    • 3
    • 3
    • 3
    • 3
    • 3
    • 3
    • 2
    • 2
    • 2
    • 2
    • 2
    • 2
    • 2
    • 2
    • 2
    • 2
    • 2
    • 2
    • 2
    • 2
    • 1
    • 1
    • 1
    • 1
    • 1
    • 1
    • 1
    • 1
    AA 210-259, pSer243

    Specificity

    c-Jun (Phospho-Ser243) Antibody detects endogenous levels of c-Jun only when phosphorylated at Ser243.

    PhosphorylationH:S243 M:S246 R:S246

    Purification

    The antibody was purified from rabbit antiserum by affinity-chromatography using phospho peptide. The antibody against non-phospho peptide was removed by chromatography using corresponding non-phospho peptide.

    Purity

    > 95 %

    Immunogen

    The antiserum was produced against synthesized peptide derived from human c-Jun around the phosphorylation site of Ser243.

    Isotype

    IgG
  • Application Notes

    WB: 1:500~1:1000 IHC: 1:50~1:100 ELISA: 1:20000

    Comment

    Unigene-Number: Hs.714791 (NCBI Gene Symbol: JUN)

    Restrictions

    For Research Use only
  • Format

    Liquid

    Concentration

    1 mg/mL

    Buffer

    phosphate buffered saline (without Mg2+ and Ca2+), pH 7.4, 150 mM NaCl, 0.02 % sodium azide and 50 % glycerol.

    Preservative

    Sodium azide

    Precaution of Use

    This product contains sodium azide: a POISONOUS AND HAZARDOUS SUBSTANCE which should be handled by trained staff only.

    Storage

    -20 °C

    Storage Comment

    Stable at -20°C for at least 1 year.

    Expiry Date

    12 months
  • Target

    C-JUN (JUN) (Jun Proto-Oncogene (JUN))

    Alternative Name

    C-Jun

    Background

    Synonyms: Activator protein 1, AH119, AP-1, AP1, c-Jun, Jun A, p39, Proto-oncogene c-jun, RJG-9, V-jun avian sarcoma virus 17 oncogene homolog

    NCBI Gene Symbol: JUN

    Molecular Weight

    35 kDa

    Gene ID

    3725

    OMIM

    165160

    UniProt

    P05412

    Pathways

    MAPK Signaling, RTK Signaling, WNT Signaling, Fc-epsilon Receptor Signaling Pathway, Activation of Innate immune Response, Myometrial Relaxation and Contraction, Skeletal Muscle Fiber Development, Protein targeting to Nucleus, Toll-Like Receptors Cascades, Autophagy, Signaling of Hepatocyte Growth Factor Receptor, BCR Signaling, S100 Proteins
You are here:
Chat with us!