Phone:
+1 877 302 8632
Fax:
+1 888 205 9894 (Toll-free)
E-Mail:
orders@antibodies-online.com

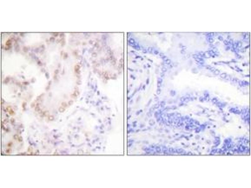
Cyclin G1 antibody (AA 161-210)

This Rabbit Polyclonal antibody specifically detects Cyclin G1 in WB, ELISA and IHC. It exhibits reactivity toward Human, Mouse and Rat.
Catalog No. ABIN1533251
$341.00
Plus shipping costs $50.00
Shipping to: United States
Delivery in 2 to 4 Business Days

Quick Overview for Cyclin G1 antibody (AA 161-210) (ABIN1533251)

Target

See all Cyclin G1 (CCNG1) Antibodies
Cyclin G1 (CCNG1)

Reactivity

  • 51
  • 31
  • 12
  • 3
  • 2
  • 2
  • 1
  • 1
  • 1
  • 1
Human, Mouse, Rat

Host

  • 49
  • 4
Rabbit

Clonality

  • 52
  • 1
Polyclonal

Conjugate

  • 21
  • 3
  • 2
  • 2
  • 2
  • 2
  • 2
  • 2
  • 2
  • 2
  • 1
  • 1
  • 1
  • 1
  • 1
  • 1
  • 1
  • 1
  • 1
  • 1
  • 1
  • 1
  • 1
This Cyclin G1 antibody is un-conjugated

Application

  • 39
  • 15
  • 13
  • 13
  • 13
  • 5
  • 3
  • 3
  • 3
  • 2
  • 1
Western Blotting (WB), ELISA, Immunohistochemistry (IHC)
  • Binding Specificity

    • 15
    • 9
    • 6
    • 4
    • 2
    • 2
    • 2
    • 2
    • 1
    • 1
    • 1
    AA 161-210

    Specificity

    Cyclin G Antibody detects endogenous levels of total Cyclin G protein.

    Purification

    The antibody was purified from rabbit antiserum by affinity-chromatography using immunogen.

    Purity

    > 95 %

    Immunogen

    The antiserum was produced against synthesized peptide derived from human Cyclin G.

    Isotype

    IgG
  • Application Notes

    WB: 1:500~1:1000 IHC: 1:50~1:100 ELISA: 1:40000

    Comment

    Unigene-Number: Hs.79101 (NCBI Gene Symbol: CCNG1)

    Restrictions

    For Research Use only
  • Format

    Liquid

    Concentration

    1 mg/mL

    Buffer

    phosphate buffered saline (without Mg2+ and Ca2+), pH 7.4, 150 mM NaCl, 0.02 % sodium azide and 50 % glycerol.

    Preservative

    Sodium azide

    Precaution of Use

    This product contains sodium azide: a POISONOUS AND HAZARDOUS SUBSTANCE which should be handled by trained staff only.

    Storage

    -20 °C

    Storage Comment

    Stable at -20°C for at least 1 year.

    Expiry Date

    12 months
  • Target

    Cyclin G1 (CCNG1)

    Alternative Name

    Cyclin G

    Background

    Synonyms: Cyclin-G1, Cyclin-G

    NCBI Gene Symbol: CCNG1

    Molecular Weight

    34 kDa

    Gene ID

    900

    OMIM

    601578

    UniProt

    P51959

    Pathways

    p53 Signaling
You are here:
Chat with us!