This product contains Sodium azide: a POISONOUS AND HAZARDOUS SUBSTANCE which should be handled by trained staff only.
Storage
-20 °C
Storage Comment
Store at -20°C. Avoid freeze / thaw cycles.
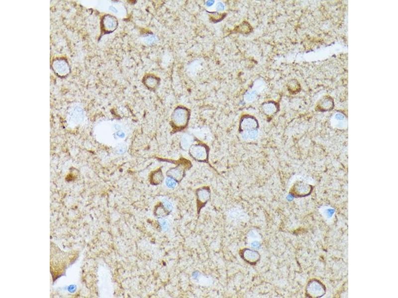
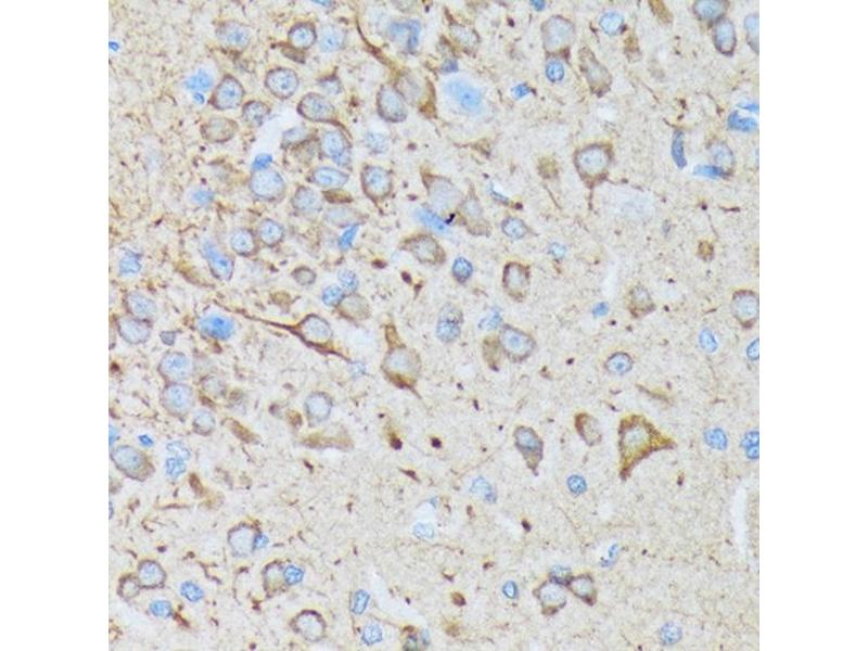
Target
CAMK2B
(Calcium/calmodulin-Dependent Protein Kinase II beta (CAMK2B))
Alternative Name
CAMK2B
Background
The product of this gene belongs to the serine/threonine protein kinase family and to the Ca(2+)/calmodulin-dependent protein kinase subfamily. Calcium signaling is crucial for several aspects of plasticity at glutamatergic synapses. In mammalian cells, the enzyme is composed of four different chains: alpha, beta, gamma, and delta. The product of this gene is a beta chain. It is possible that distinct isoforms of this chain have different cellular localizations and interact differently with calmodulin. Alternative splicing results in multiple transcript variants. [provided by RefSeq, May 2014],CAM2, CAMK2, CAMKB,Apoptosis,Apoptosis_Mitochondrial Control of Apoptosis,B Cell Receptor Signaling Pathway,Calcium Signaling,Cell Biology & Developmental Biology,Cell Cycle,Cell Type Marker,Cell Type Marker_Neuron marker,Epigenetics & Nuclear Signaling,ErbB-HER Signaling Pathway,G protein signaling,G protein signaling_G-Protein-Coupled Receptors Signaling to MAPK/Erk,Immunology & Inflammation,Kinase,Neuroscience,Phospholipase Signaling Pathway,Signal Transduction,CAMK2B