CAMK2B antibody (pThr287)
Quick Overview for CAMK2B antibody (pThr287) (ABIN732473)
Target
See all CAMK2B AntibodiesReactivity
Host
Clonality
Conjugate
Application
-
-
Binding Specificity
- pThr287
-
Cross-Reactivity
- Human, Mouse, Rat
-
Predicted Reactivity
- Sheep,Chicken,Rabbit
-
Purification
- Purified by Protein A.
-
Immunogen
- KLH conjugated synthetic phosphopeptide derived from mouse CaMK2 alpha around the phosphorylation site of Thr287
-
Isotype
- IgG
-
-
-
-
Application Notes
-
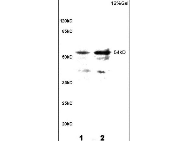
WB 1:300-5000
ELISA 1:500-1000
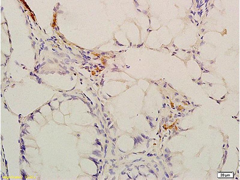
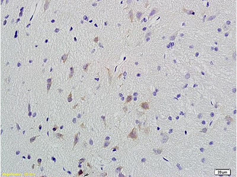
IHC-P 1:200-400 -
Restrictions
- For Research Use only
-
-
-
Format
- Liquid
-
Concentration
- 1 μg/μL
-
Buffer
- 0.01M TBS( pH 7.4) with 1 % BSA, 0.02 % Proclin300 and 50 % Glycerol.
-
Preservative
- ProClin
-
Precaution of Use
- This product contains ProClin: a POISONOUS AND HAZARDOUS SUBSTANCE, which should be handled by trained staff only.
-
Storage
- 4 °C,-20 °C
-
Storage Comment
- Shipped at 4°C. Store at -20°C for one year. Avoid repeated freeze/thaw cycles.
-
Expiry Date
- 12 months
-
-
- CAMK2B (Calcium/calmodulin-Dependent Protein Kinase II beta (CAMK2B))
-
Alternative Name
- CaMK2
-
Background
-
Synonyms: CaMKII, R74975, mKIAA0968, Calcium/calmodulin-dependent protein kinase type II subunit alpha, CaM kinase II subunit alpha, CaMK-II subunit alpha, Camk2a
Background: CaM-kinase II (CAMK2) is a prominent kinase in the central nervous system that may function in long-term potentiation and neurotransmitter release. Member of the NMDAR signaling complex in excitatory synapses it may regulate NMDAR-dependent potentiation of the AMPAR and synaptic plasticity (By similarity).
-
Gene ID
- 12322
-
UniProt
- P11798
-
Pathways
- WNT Signaling, Interferon-gamma Pathway, Myometrial Relaxation and Contraction, Regulation of G-Protein Coupled Receptor Protein Signaling, Smooth Muscle Cell Migration, Regulation of long-term Neuronal Synaptic Plasticity
Target
-