HSPD1 antibody
Quick Overview for HSPD1 antibody (ABIN1680746)
Target
See all HSPD1 AntibodiesReactivity
Host
Clonality
Conjugate
Application
-
-
Cross-Reactivity
- Human, Mouse, Rat
-
Characteristics
- Monoclonal Antibodies
-
Purification
- Affinity purification
-
Immunogen
- A synthesized peptide derived from human HSP60/HSPD1
-
Isotype
- IgG
-
-
-
-
Application Notes
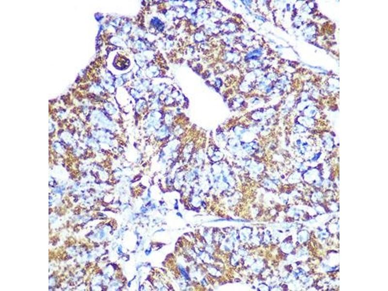
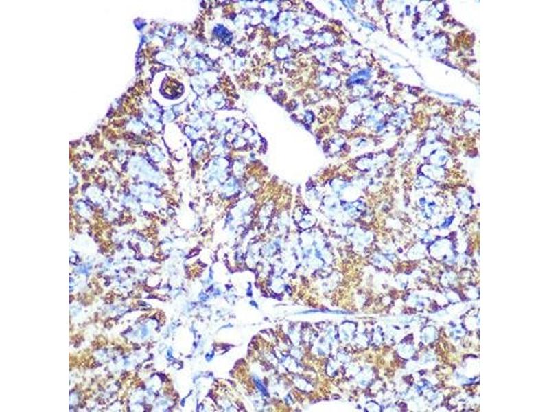
- WB,1:500 - 1:2000,IHC,1:50 - 1:200,IF,1:50 - 1:200
-
Restrictions
- For Research Use only
-
-
-
Buffer
- PBS with 0.02 % sodium azide,0.05 % BSA,50 % glycerol, pH 7.3.
-
Preservative
- Sodium azide
-
Precaution of Use
- This product contains Sodium azide: a POISONOUS AND HAZARDOUS SUBSTANCE which should be handled by trained staff only.
-
Storage
- -20 °C
-
Storage Comment
- Store at -20°C. Avoid freeze / thaw cycles.
-
-
- HSPD1 (Heat Shock 60kDa Protein 1 (Chaperonin) (HSPD1))
-
Alternative Name
- HSPD1
-
Background
- This gene encodes a member of the chaperonin family. The encoded mitochondrial protein may function as a signaling molecule in the innate immune system. This protein is essential for the folding and assembly of newly imported proteins in the mitochondria. This gene is adjacent to a related family member and the region between the 2 genes functions as a bidirectional promoter. Several pseudogenes have been associated with this gene. Two transcript variants encoding the same protein have been identified for this gene. Mutations associated with this gene cause autosomal recessive spastic paraplegia 13. [provided by RefSeq, Jun 2010],CPN60, GROEL, HLD4, HSP-60, HSP60, HSP65, HuCHA60, SPG13,Apoptosis,Apoptosis_Mitochondrial Control of Apoptosis,Cell Biology & Developmental Biology,Endocrine & Metabolism,Epigenetics & Nuclear Signaling,Mitochondrial metabolism,RNA Binding,Signal Transduction,HSPD1
-
Molecular Weight
- 60 kDa
-
Gene ID
- 3329
-
UniProt
- P10809
-
Pathways
- Activation of Innate immune Response, Regulation of Leukocyte Mediated Immunity, Positive Regulation of Immune Effector Process, Production of Molecular Mediator of Immune Response, Positive Regulation of Endopeptidase Activity
Target
-