Phone:
+1 877 302 8632
Fax:
+1 888 205 9894 (Toll-free)
E-Mail:
orders@antibodies-online.com

MAP2K4 antibody

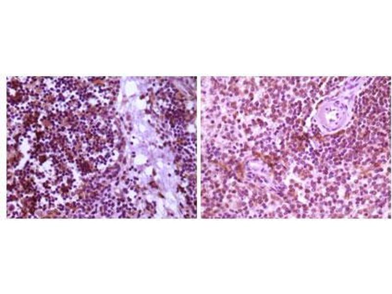
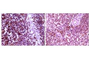
Cited in 2+ publications. The Mouse Monoclonal anti-MAP2K4 antibody (Clone 2D10D8) (ABIN1724655) specifically detects MAP2K4 in IHC and ELISA. The antibody is reactive with Human samples.
Catalog No. ABIN1724655
$371.97
Plus shipping costs $50.00
100 μL
Shipping to: United States
Delivery in 3 to 5 Business Days

Quick Overview for MAP2K4 antibody (ABIN1724655)

Target

See all MAP2K4 Antibodies
MAP2K4 (Mitogen-Activated Protein Kinase Kinase 4 (MAP2K4))

Reactivity

  • 153
  • 71
  • 51
  • 8
  • 7
  • 3
  • 3
  • 2
  • 2
  • 2
  • 1
  • 1
  • 1
Human

Host

  • 148
  • 11
Mouse

Clonality

  • 148
  • 12
Monoclonal

Conjugate

  • 88
  • 13
  • 9
  • 7
  • 4
  • 4
  • 4
  • 4
  • 4
  • 4
  • 4
  • 4
  • 1
  • 1
  • 1
  • 1
  • 1
  • 1
  • 1
  • 1
  • 1
  • 1
  • 1
This MAP2K4 antibody is un-conjugated

Application

  • 89
  • 63
  • 60
  • 24
  • 21
  • 15
  • 15
  • 12
  • 6
  • 6
  • 4
  • 4
  • 2
  • 2
Immunohistochemistry (IHC), ELISA

Clone

2D10D8
  • Purpose

    MAP2K4 Antibody

    Purification

    Ascitic fluid

    Immunogen

    Purified recombinant fragment of MAP2K4 expressed in E. Coli.

    Isotype

    IgM
  • Application Notes

    ELISA: 1/10000

    Restrictions

    For Research Use only
  • Format

    Liquid

    Buffer

    Ascitic fluid containing 0.03 % sodium azide.

    Preservative

    Sodium azide

    Precaution of Use

    This product contains Sodium azide: a POISONOUS AND HAZARDOUS SUBSTANCE which should be handled by trained staff only.

    Storage

    4 °C,-20 °C

    Storage Comment

    Store at 4°C short term. Aliquot and store at -20°C long term. Avoid freeze/thaw cycles.
  • Kim, Vander Griend, Yang, Benson, Dubauskas, Yoshida, Chekmareva, Ichikawa, Sokoloff, Zhan, Karrison, Lin, Stadler, Ichikawa, Rubin, Rinker-Schaeffer: "Mitogen-activated protein kinase kinase 4 metastasis suppressor gene expression is inversely related to histological pattern in advancing human prostatic cancers." in: Cancer research, Vol. 61, Issue 7, pp. 2833-7, (2001) (PubMed).

    Cuenda: "Mitogen-activated protein kinase kinase 4 (MKK4)." in: The international journal of biochemistry & cell biology, Vol. 32, Issue 6, pp. 581-7, (2000) (PubMed).

  • Target

    MAP2K4 (Mitogen-Activated Protein Kinase Kinase 4 (MAP2K4))

    Alternative Name

    MAP2K4

    Background

    MAP2K4(mitogen-activated protein kinase kinase 4), which is located on chromosome 17p11.2, with 399-amino acid protein (about 45 kDa), belongs to the family of protein kinases located upstream of the MAP kinases and responsible for their activation has been identified. MEK-4 (also called MEK4/MKK4) activates both p38 and JNK MAP kinases.
    MKK4 is a central mediator in the stress activated protein kinase signaling pathway that responds to a number of cellular and environmental stressors. By phosphorylating MAP kinases such as JNK,MKK4 can ultimately transmit stress signals to nuclear transcription factors that mediate various processes including proliferation, apoptosis, and differentiation. Its distinct biological functions have been identified for MKK4 including a role in development, hepatogenesis, and metastasis suppression.

    Gene ID

    6416

    UniProt

    P45985

    Pathways

    MAPK Signaling, TLR Signaling, Fc-epsilon Receptor Signaling Pathway, Activation of Innate immune Response, Toll-Like Receptors Cascades, BCR Signaling
You are here:
Chat with us!