SWAP70 antibody (C-Term)
Quick Overview for SWAP70 antibody (C-Term) (ABIN184723)
Target
See all SWAP70 AntibodiesReactivity
Host
Clonality
Conjugate
Application
Grade
-
-
Binding Specificity
- C-Term
-
Purpose
- SWAP70
-
Sequence
- EEREKNWKEK KTTE
-
Cross-Reactivity
- Human, Mouse, Rat
-
Purification
- Purified from goat serum by ammonium sulphate precipitation followed by antigen affinity chromatography using the immunizing peptide.
-
Immunogen
- C-EEREKNWKEKKTTE
-
Isotype
- IgG
-
-
-
-
Application Notes
-
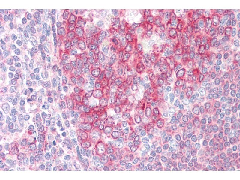
Immunohistochemistry: Paraffin embedded Human Tonsil. Recommended concentration: 5 μg/mL.
Western Blot: Approx 70 kDa band observed in Human Lymph Node and Human Peripheral Blood Mononucleocytes lysates (calculated MW of 69.0 kDa according to NP_055870.2). Recommended concentration: 0.1-0.3 μg/mL. Primary incubation was 1 hour.
Peptide ELISA: antibody detection limit dilution 1:128000.
-
Restrictions
- For Research Use only
-
-
-
Format
- Liquid
-
Concentration
- 0.5 mg/mL
-
Buffer
- Supplied at 0.5 mg/mL in Tris saline, 0.02 % sodium azide, pH 7.3 with 0.5 % bovine serum albumin.
-
Preservative
- Sodium azide
-
Precaution of Use
- This product contains Sodium azide: a POISONOUS AND HAZARDOUS SUBSTANCE which should be handled by trained staff only.
-
Handling Advice
- Minimize freezing and thawing.
-
Storage
- -20 °C
-
Storage Comment
- Aliquot and store at -20°C, with minimal freeze/thawing. A working aliquot may be refrigerated at 4°C for a few weeks and still remain viable.
-
-
- SWAP70 (SWAP Switching B-Cell Complex 70kDa Subunit (SWAP70))
-
Alternative Name
- SWAP70
-
Background
- SWAP70, SWAP-70 protein, SWAP-70, KIAA0640, KIAA0640 protein, FLJ39540, HSPC321, SWAP switching B-cell complex 70 kDa subunit
-
NCBI Accession
- NP_055870
-
Pathways
- Production of Molecular Mediator of Immune Response
Target
-