CARD11 antibody (C-Term)
Quick Overview for CARD11 antibody (C-Term) (ABIN184957)
Target
See all CARD11 AntibodiesReactivity
Host
Clonality
Conjugate
Application
Grade
-
-
Binding Specificity
- C-Term
-
Purpose
- CARD11
-
Sequence
- QRKTIWVDED QL
-
Cross-Reactivity
- Cow, Dog, Human, Mouse
-
Purification
- Purified from goat serum by ammonium sulphate precipitation followed by antigen affinity chromatography using the immunizing peptide.
-
Immunogen
- Peptide with sequence C-QRKTIWVDEDQL, from the C Terminus of the protein sequence according to NP_115791.3.
-
Isotype
- IgG
-
-
-
-
Application Notes
-
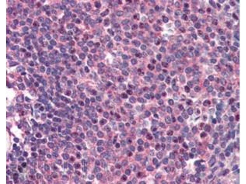
Immunohistochemistry: In paraffin embedded Human Spleen shows nuclear staining. Recommended concentration: 2-5 μg/mL.
Western Blot: Approx 150+65 kDa bands observed in lysates of cell line Jurkat (calculated MW of 133 kDa according to NP_115791.2). Recommended concentration: 1-3 μg/mL. An additional band of unknown identity was also consistently observed at 60 kDa. This ba
Peptide ELISA: antibody detection limit dilution 1:32000.
-
Restrictions
- For Research Use only
-
-
-
Format
- Liquid
-
Concentration
- 0.5 mg/mL
-
Buffer
- Supplied at 0.5 mg/mL in Tris saline, 0.02 % sodium azide, pH 7.3 with 0.5 % bovine serum albumin.
-
Preservative
- Sodium azide
-
Precaution of Use
- This product contains Sodium azide: a POISONOUS AND HAZARDOUS SUBSTANCE which should be handled by trained staff only.
-
Handling Advice
- Minimize freezing and thawing.
-
Storage
- -20 °C
-
Storage Comment
- Aliquot and store at -20°C, with minimal freeze/thawing. A working aliquot may be refrigerated at 4°C for a few weeks and still remain viable.
-
-
- CARD11 (Caspase Recruitment Domain Family, Member 11 (CARD11))
-
Alternative Name
- CARD11
-
Background
- CARD11, caspase recruitment domain family, member 11, BIMP3, CARMA1, MGC133069, card-maguk protein 1, bcl10-interacting maguk protein 3
-
Gene ID
- 84433, 108723
-
NCBI Accession
- NP_115791
-
Pathways
- TCR Signaling, Fc-epsilon Receptor Signaling Pathway, BCR Signaling
Target
-