×
For best experience we recommend to activate Javascript in your browser.
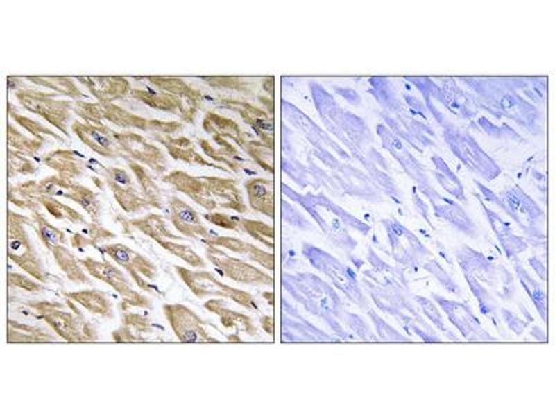
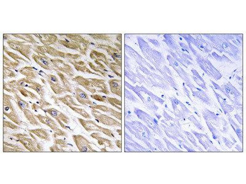
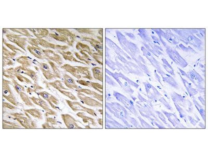
MRPL39 antibody (C-Term)
The Rabbit Polyclonal anti-MRPL39 antibody (ABIN1851576) specifically detects MRPL39 in WB, ELISA and IHC.
The antibody is reactive with Human samples.
Catalog No. ABIN1851576
$418.76
Plus shipping costs $50.00
1 mL ABIN5977734
100 μL ABIN1851576
200 μL ABIN1851577
300 μL ABIN6300635
1 mL ABIN5977734
100 μL ABIN1851576
200 μL ABIN1851577
300 μL ABIN6300635
Delivery in 10 to 18 Business Days
Quick Overview for MRPL39 antibody (C-Term) (ABIN1851576)
Target
See all MRPL39 Antibodies
MRPL39
(Mitochondrial Ribosomal Protein L39 (MRPL39))
Reactivity
All reactivities for MRPL39 antibodies
Human
Host
All hosts for MRPL39 antibodies
Rabbit
Clonality
All clonalities for MRPL39 antibodies
Polyclonal
Conjugate
All conjugates for MRPL39 antibodies
This MRPL39 antibody is un-conjugated
Application
All applications for MRPL39 antibodies
Western Blotting (WB), ELISA, Immunohistochemistry (IHC)
Product Details anti-MRPL39 Antibody
(hide)
Binding Specificity
All epitopes for MRPL39 antibodies
C-Term
Specificity
Rabbit polyclonal antibody against MRPL39 protein.
Purification
The antibody was affinity-purified from rabbit antiserum by affinity-chromatography using epitope-specific immunogen
Immunogen
The antiserum was produced against synthesized peptide derived from C-terminal of human MRPL39.
Alternatives
(show)
Application Details
(hide)
Restrictions
For Research Use only
Handling
(hide)
Storage
-20 °C
Storage Comment
Aliquot and store at -20 °C. Avoid repeated freeze/thaw cycles.
Target Details for MRPL39
(hide)
Target
MRPL39
(Mitochondrial Ribosomal Protein L39 (MRPL39))
Alternative Name
MRPL39
UniProt
Q9NYK5
Recently viewed
(hide)
You are here:
Homepage
anti-MRPL39 antibody (C-Term) (ABIN1851576)
Chat with us , powered by LiveChat