IL12RB2 antibody (AA 756-783)
Quick Overview for IL12RB2 antibody (AA 756-783) (ABIN1904911)
Target
See all IL12RB2 AntibodiesReactivity
Host
Clonality
Conjugate
Application
-
-
Binding Specificity
- AA 756-783
-
Specificity
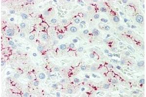
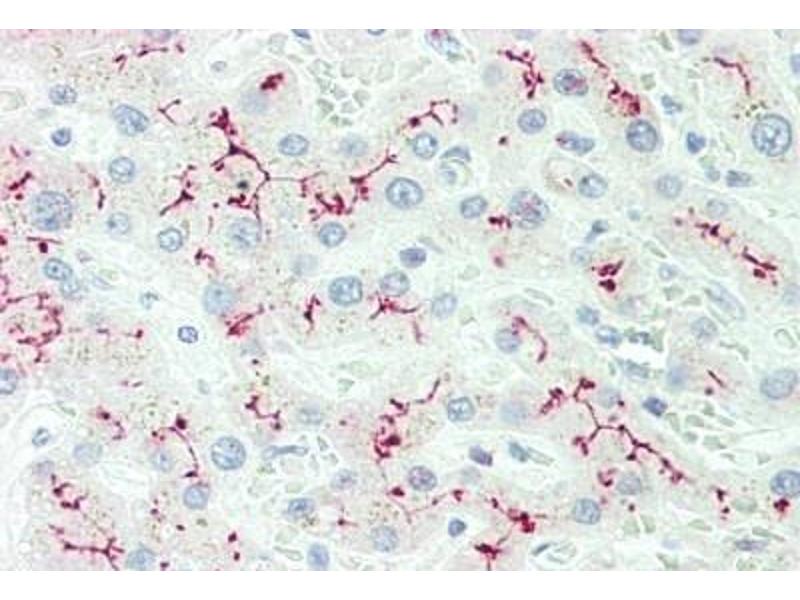
- This IL12_2 antibody is generated from rabbits immunized with a KLH conjugated synthetic peptide between 756-783 amino acids from the C-terminal region of human IL12_2.
-
Purification
- Protein A purified
-
-
-
-
Application Notes
- Approved: Flo (1:10 - 1:50), IHC, IHC-P (1:50), WB (1:1000)
-
Comment
-
Target Species of Antibody: Human
-
Restrictions
- For Research Use only
-
-
-
Format
- Liquid
-
Concentration
- Lot specific
-
Buffer
- PBS, 0.09 % sodium azide
-
Preservative
- Sodium azide
-
Precaution of Use
- This product contains Sodium azide: a POISONOUS AND HAZARDOUS SUBSTANCE which should be handled by trained staff only.
-
Storage
- 4 °C,-20 °C
-
Storage Comment
- Maintain refrigerated at 2-8°C for up to 6 months. For long term storage store at -20°C.
-
Expiry Date
- 6 months
-
-
- IL12RB2 (Interleukin 12 Receptor, beta 2 (IL12RB2))
-
Alternative Name
- IL12RB2
-
Background
-
Name/Gene ID: IL12RB2
Family: Interleukin
Synonyms: IL12RB2, Il-12R beta2, IL-12R-beta-2, IL-12 receptor beta 2, Il-12 receptor beta2, IL-12 receptor subunit beta-2, IL-12R subunit beta-2, RP11-102M16.1, IL-12RB2 -
Gene ID
- 3595
-
Pathways
- JAK-STAT Signaling
Target
-