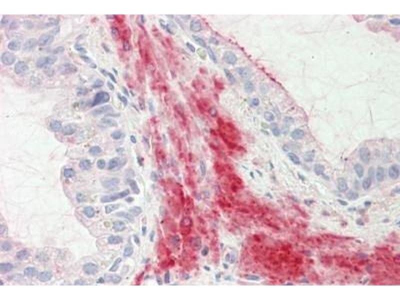
DUSP6 antibody (AA 14-201)
Quick Overview for DUSP6 antibody (AA 14-201) (ABIN1913720)
Target
See all DUSP6 AntibodiesReactivity
Host
Clonality
Conjugate
Application
-
-
Binding Specificity
- AA 14-201
-
Specificity
- Human MKP3 / DUSP6.
-
Purification
- Affinity purified
-
Immunogen
-
A recombinant human DUSP6 protein 14-201aa (BC003143).
Type of Immunogen: Recombinant protein
-
-
-
-
Application Notes
- Approved: ELISA (1:20000 - 1:80000), IHC, IHC-P (10 μg/mL), WB (1:1000 - 1:2000)
-
Comment
-
Target Species of Antibody: Human
-
Restrictions
- For Research Use only
-
-
-
Format
- Liquid
-
Concentration
- Lot specific
-
Buffer
- PBS, pH 7.4, 0.02 % sodium azide
-
Preservative
- Sodium azide
-
Precaution of Use
- This product contains Sodium azide: a POISONOUS AND HAZARDOUS SUBSTANCE which should be handled by trained staff only.
-
Storage
- -20 °C
-
Storage Comment
- Store at -20°C for up to 1 year.
-
Expiry Date
- 12 months
-
-
- DUSP6 (Dual Specificity Phosphatase 6 (DUSP6))
-
Alternative Name
- MKP3 / DUSP6
-
Background
-
Name/Gene ID: DUSP6
Subfamily: Dual specificity MKP
Family: Protein Phosphatase
Synonyms: DUSP6, Dual specificity phosphatase 6, MAP kinase phosphatase 3, MKP3, PYST1, RVH6, Mapk phosphatase 3, MKP-3, Phosphatase VH6 -
Gene ID
- 1848
-
Pathways
- Neurotrophin Signaling Pathway, Activation of Innate immune Response, Toll-Like Receptors Cascades
Target
-