SGPP1 antibody (AA 13-42)
Quick Overview for SGPP1 antibody (AA 13-42) (ABIN1934434)
Target
See all SGPP1 AntibodiesReactivity
Host
Clonality
Conjugate
Application
-
-
Binding Specificity
- AA 13-42
-
Specificity
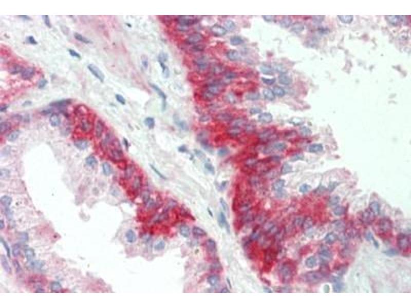
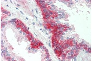
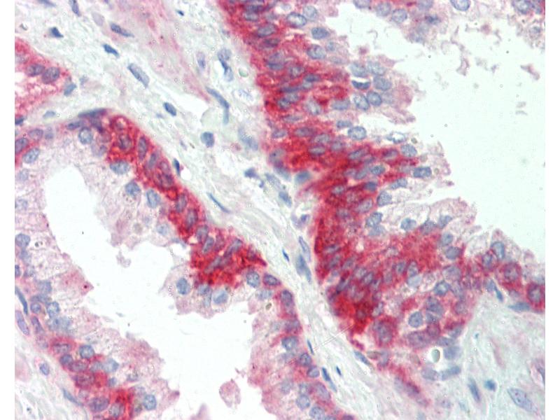
- This SGPP1 antibody is generated from rabbits immunized with a KLH conjugated synthetic peptide between 13-42 amino acids from the N-terminal region of human SGPP1.
-
Purification
- Protein A purified
-
-
-
-
Application Notes
- Approved: IHC, IHC-P (1:10 - 1:100), WB (1:1000)
-
Comment
-
Target Species of Antibody: Human
-
Restrictions
- For Research Use only
-
-
-
Format
- Liquid
-
Concentration
- Lot specific
-
Buffer
- PBS, 0.09 % sodium azide
-
Preservative
- Sodium azide
-
Precaution of Use
- This product contains Sodium azide: a POISONOUS AND HAZARDOUS SUBSTANCE which should be handled by trained staff only.
-
Storage
- 4 °C,-20 °C
-
Storage Comment
- Maintain refrigerated at 2-8°C for up to 6 months. For long term storage store at -20°C.
-
Expiry Date
- 6 months
-
-
- SGPP1 (Sphingosine-1-Phosphate Phosphatase 1 (SGPP1))
-
Alternative Name
- SGPP1
-
Background
-
Name/Gene ID: SGPP1
Family: Non-protein Phosphatase
Synonyms: SGPP1, HSPPase1, HSPP1, Sphingosine-1-phosphatase 1, SPPase1 -
Gene ID
- 81537
Target
-