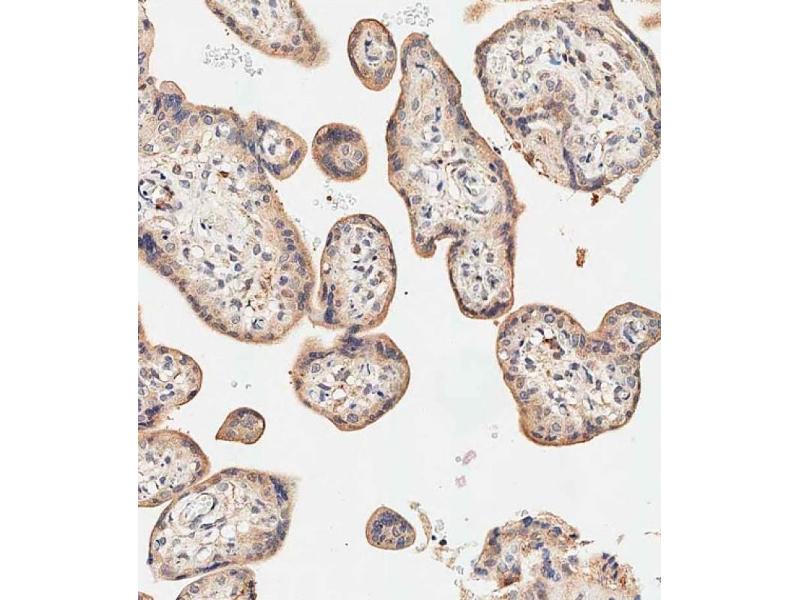
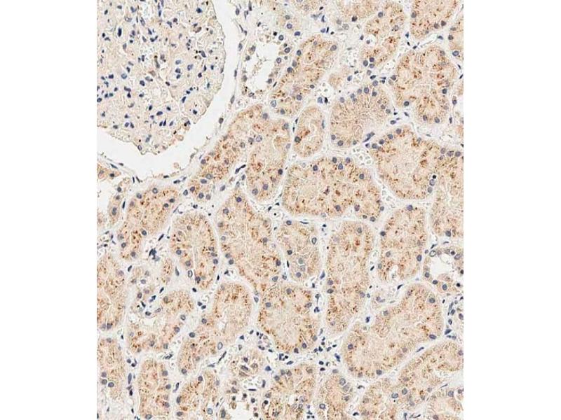
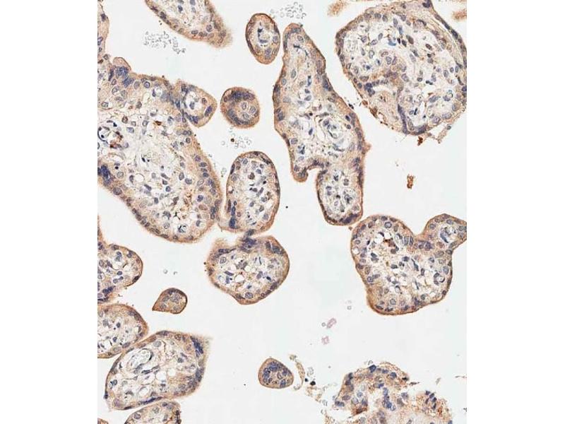
SGPP1 antibody (N-Term)
Quick Overview for SGPP1 antibody (N-Term) (ABIN657152)
Target
See all SGPP1 AntibodiesReactivity
Host
Clonality
Conjugate
Application
Clone
-
-
Binding Specificity
- AA 13-42, N-Term
-
Purification
- This antibody is purified through a protein A column, followed by peptide affinity purification.
-
Immunogen
- This SGPP1 antibody is generated from rabbits immunized with a KLH conjugated synthetic peptide between 13-42 amino acids from the N-terminal region of human SGPP1.
-
Isotype
- Ig Fraction
-
-
-
-
Application Notes
- WB: 1:1000. WB: 1:1000. WB: 1:1000. IHC-P-Leica: 1:500. IHC-P-Leica: 1:500. IHC-P: 1:10~50
-
Restrictions
- For Research Use only
-
-
-
Format
- Liquid
-
Buffer
- Purified polyclonal antibody supplied in PBS with 0.09 % (W/V) sodium azide.
-
Preservative
- Sodium azide
-
Precaution of Use
- This product contains Sodium azide: a POISONOUS AND HAZARDOUS SUBSTANCE which should be handled by trained staff only.
-
Storage
- 4 °C,-20 °C
-
Expiry Date
- 6 months
-
-
- SGPP1 (Sphingosine-1-Phosphate Phosphatase 1 (SGPP1))
-
Alternative Name
- SGPP1
-
Background
- Sphingosine-1-phosphate (S1P) is a bioactive sphingolipid metabolite that regulates diverse biologic processes. SGPP1 catalyzes the degradation of S1P via salvage and recycling of sphingosine into long-chain ceramides (Mandala et al., 2000 [PubMed 10859351], Le Stunff et al., 2007 [PubMed 17895250]).[supplied by OMIM].
-
Molecular Weight
- 49108
-
NCBI Accession
- NP_110418
-
UniProt
- Q9BX95
Target
-