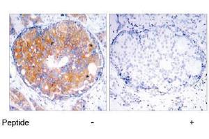
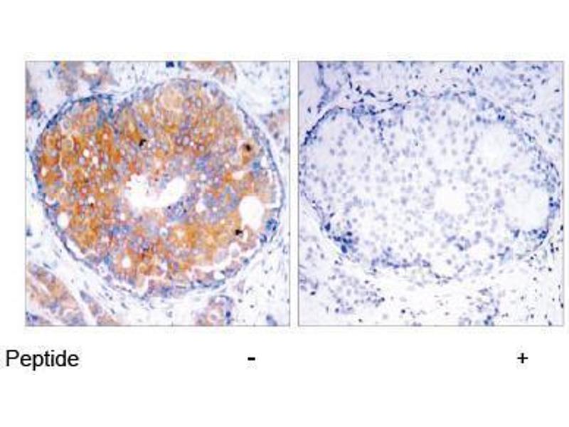
The Rabbit Polyclonal anti-MEK2 antibody (ABIN197106) specifically detects MEK2 in WB and IHC (p).
The antibody is reactive with Human and Mouse samples.
MEK2 antibody detects endogenous levels of total MEK2 protein.
Purification
The antibody was affinity-purified from rabbit antiserum by affinity-chromatography using epitope-specific immunogen.
Immunogen
The antiserum was produced against synthesized non-phosphopeptide derived from human MEK2 around the phosphorylation site of threonine 394 (P-G-TP-P-T).
Western Blot: 1: 500approx. 1: 1000. Immunohistochemistry: 1: 50approx. 1: 100. Other applications not tested. Optimal dilutions are dependent on conditions and should be determined by the user.
Restrictions
For Research Use only
Concentration
1.0 mg/mL
Buffer
PBS(without Mg2+ and Ca2+), pH 7.4 containing 150 mM NaCl, 0.02 % sodium azide and 50 % glycerol
Preservative
Sodium azide
Precaution of Use
This product contains sodium azide: a POISONOUS AND HAZARDOUS SUBSTANCE which should be handled by trained staff only.
Handling Advice
Avoid repeated freezing and thawing.
Storage
-20 °C
Target
MEK2 (MAP2K2)
(Mitogen-Activated Protein Kinase Kinase 2 (MAP2K2))
Alternative Name
MAPKK 2
Background
Microtubule associated protein kinase kinase 2 (MEK2 or MAPKK2) is a member of a family of tyrosine/threonine protein kinases that activate the ERK 1 & 2/MAPK enzymes by phosphorylating both residues within the threonine/glutamic acid/tyrosine (TEY) motif in the activation loop. MEK 1 & 2 are also activated by dual phosphorylation, which occurs on serines 218 and 222, in the activation loop of the MEKs. Threonine 394 of MEK2 is phosphorylated by ERK 2, which serves as a negative feedback loop by suppressing activation of MEK2.Synonyms: Dual specificity mitogen-activated protein kinase kinase 2, ERK activator kinase 2, MAP kinase kinase 2, MAPK/ERK kinase 2, MEK2, MKK2