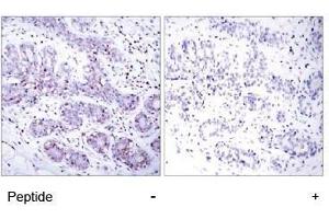
The Rabbit Polyclonal anti-STAT4 antibody (ABIN197178) specifically detects STAT4 in WB and IHC (p).
The antibody is reactive with Human, Mouse and Rat samples.
STAT4 antibody detects endogenous levels of total STAT4 protein.
Purification
Affinity-chromatography using epitope-specific immunogen
Immunogen
The antiserum was produced against synthesized non-phosphopeptide derived from human STAT4 around the phosphorylation site of tyrosine 693 (K-G-Yp-V-P).
STAT4
Reactivity: Mouse
WB, ELISA, IHC (p), IF (p), IF (cc), IHC (fro)
Host: Rabbit
Polyclonal
unconjugated
Application Notes
Western Blot: 1: 500-1: 1000. Immunohistochemistryon paraffin embedded tissue: 1: 50-1: 100. Other applications not tested. Optimal dilutions are dependent on conditions and should be determined by the user.
Restrictions
For Research Use only
Concentration
1.0 mg/mL
Buffer
PBS(without Mg2+ and Ca2+), pH 7.4 containing 150 mM NaCl, 0.02 % sodium azide and 50 % glycerol
Preservative
Sodium azide
Precaution of Use
This product contains sodium azide: a POISONOUS AND HAZARDOUS SUBSTANCE which should be handled by trained staff only.
Handling Advice
Avoid repeated freezing and thawing.
Storage
-20 °C
Target
STAT4
(Signal Transducer and Activator of Transcription 4 (STAT4))
Alternative Name
STAT4
Background
Synonyms: Signal transducer and activator of transcription 4