Phone:
+1 877 302 8632
Fax:
+1 888 205 9894 (Toll-free)
E-Mail:
orders@antibodies-online.com

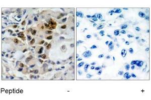
FOXO4 antibody (Ser197)

This Rabbit Polyclonal antibody specifically detects FOXO4 in WB and IHC (p). It exhibits reactivity toward Human, Mouse and Rat.
Catalog No. ABIN197368
$558.00
Plus shipping costs $50.00
Shipping to: United States
Delivery in 1 to 2 Business Days

Quick Overview for FOXO4 antibody (Ser197) (ABIN197368)

Target

See all FOXO4 Antibodies
FOXO4 (Forkhead Box O4 (FOXO4))

Reactivity

  • 159
  • 81
  • 73
  • 10
  • 6
  • 6
  • 6
  • 4
  • 4
  • 3
  • 3
  • 1
  • 1
Human, Mouse, Rat

Host

  • 157
  • 1
  • 1
Rabbit

Clonality

  • 125
  • 34
Polyclonal

Conjugate

  • 70
  • 9
  • 5
  • 5
  • 5
  • 5
  • 5
  • 5
  • 5
  • 5
  • 3
  • 3
  • 3
  • 3
  • 3
  • 3
  • 3
  • 3
  • 3
  • 3
  • 3
  • 2
  • 2
  • 1
  • 1
  • 1
This FOXO4 antibody is un-conjugated

Application

  • 129
  • 51
  • 39
  • 39
  • 36
  • 27
  • 18
  • 16
  • 12
  • 12
  • 9
  • 1
  • 1
  • 1
Western Blotting (WB), Immunohistochemistry (Paraffin-embedded Sections) (IHC (p))
  • Binding Specificity

    • 27
    • 19
    • 15
    • 10
    • 5
    • 4
    • 3
    • 2
    • 2
    • 2
    • 2
    • 2
    • 2
    • 2
    • 1
    • 1
    • 1
    • 1
    • 1
    • 1
    • 1
    • 1
    • 1
    • 1
    • 1
    • 1
    • 1
    • 1
    • 1
    Ser197

    Specificity

    The antibody was affinity-purified from rabbit antiserum by affinity-chromatography using epitope-specific immunogen. AFX antibody AP02683PU detects endogenous levels of total AFX protein.

    Purification

    Immunoaffinity chromatography.

    Immunogen

    The antiserum was produced against synthesized non-phosphopeptide derived from human AFX around the phosphorylation site of serine 197 (A-A-Sp-M-D).
  • Application Notes

    Suitable for use in Western blot (1: 500-1: 1000) and Immunohistochemistry (1: 50-1: 100).
    Other applications not tested.
    Optimal dilutions are dependent on conditions and should be determined by the user.

    Restrictions

    For Research Use only
  • Concentration

    1.0 mg/mL

    Buffer

    PBS (without Mg2+ and Ca2+), pH 7.4, 150 mM NaCl, 0.02 % Sodium Azide and 50 % Glycerol.

    Preservative

    Sodium azide

    Precaution of Use

    This product contains sodium azide: a POISONOUS AND HAZARDOUS SUBSTANCE which should be handled by trained staff only.

    Handling Advice

    Avoid repeated freezing and thawing.

    Storage

    -20 °C

    Storage Comment

    Store the antibody (in aliquots) at -20 °C.
  • Target

    FOXO4 (Forkhead Box O4 (FOXO4))

    Alternative Name

    FOXO4 / AFX1 / MLLT7

    Background

    FOXO4 is a forkhead transcription factor involved in the regulation of the insulin signaling pathway. It binds to insulin-response elements (IREs) and can activate transcription of IGFBP1. FOXO4 down-regulates expression of HIF1A and suppresses hypoxia-induced transcriptional activation of HIF1A-modulated genes. It is also involved in negative regulation of the cell cycle.Synonyms: Fork head domain transcription factor AFX1, Forkhead box protein O4

    Gene ID

    4303

    NCBI Accession

    NP_001164402

    UniProt

    P98177

    Pathways

    Cell Division Cycle, Fc-epsilon Receptor Signaling Pathway, EGFR Signaling Pathway, Neurotrophin Signaling Pathway, Regulation of Muscle Cell Differentiation
You are here:
Chat with us!