LSM2 antibody (C-Term)
Quick Overview for LSM2 antibody (C-Term) (ABIN202014)
Target
See all LSM2 AntibodiesReactivity
Host
Clonality
Conjugate
Application
-
-
Binding Specificity
- C-Term
-
Specificity
- Human LSM2
-
Predicted Reactivity
- Percent identity by BLAST analysis: Human, Mouse, Rat, Bovine, Goat, Horse, Pig (100%) Xenopus (92%).
-
Purification
- Protein A purified
-
Immunogen
-
Synthetic peptide from C-Terminus of human LSM2 (Q9Y333, NP_067000). Percent identity by BLAST analysis: Human, Chimpanzee, Gorilla, Gibbon, Monkey, Marmoset, Mouse, Rat, Goat, Elephant, Bovine, Rabbit, Horse, Pig, Guinea pig, Platypus, Salmon (100%), Opossum, Xenopus, Frog, Catfish, Sablefish, Stickleback, Zebrafish (92%).
Type of Immunogen: Synthetic peptide -
Isotype
- IgG
-
-
-
-
Application Notes
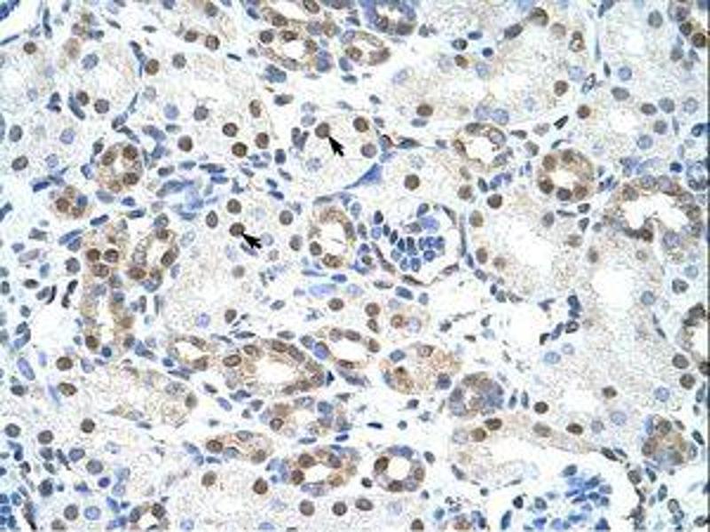
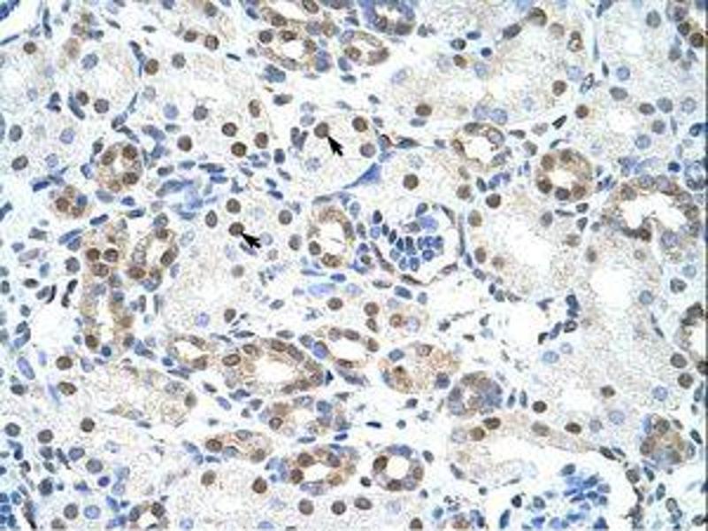
- Approved: IHC, IHC-P, WB (1.25 μg/mL)
-
Comment
-
Target Species of Antibody: Human
-
Restrictions
- For Research Use only
-
-
-
Format
- Lyophilized
-
Reconstitution
- After adding water, will consist of PBS buffer with 2 % sucrose
-
Concentration
- Lot specific
-
Buffer
- Lyophilized from PBS with 2 % sucrose
-
Handling Advice
- Avoid repeat freeze-thaw cycles.
-
Storage
- 4 °C,-20 °C
-
Storage Comment
-
Long term: -20°C, the use of 50% glycerol is recommended if storing aliquots in -20°C for long term use (up to 1 year)
Short term (less than 1 week): 4°C. Avoid freeze-thaw cycles.
-
-
- LSM2 (LSM2 Homolog, U6 Small Nuclear RNA Associated (LSM2))
-
Alternative Name
- LSM2 / SnRNP
-
Background
-
Name/Gene ID: LSM2
Synonyms: LSM2, G7B, Protein G7b, YBL026W, SnRNP, C6orf28 -
Gene ID
- 57819
-
NCBI Accession
- NP_067000
-
UniProt
- Q9Y333
-
Pathways
- Ribonucleoprotein Complex Subunit Organization
Target
-