LSM2 antibody
Quick Overview for LSM2 antibody (ABIN630011)
Target
See all LSM2 AntibodiesReactivity
Host
Clonality
Conjugate
Application
-
-
Purification
- Purified
-
Immunogen
- LSM2 antibody was raised using a synthetic peptide corresponding to a region with amino acids TDPEKYPHMLSVKNCFIRGSVVRYVQLPADEVDTQLLQDAARKEALQQKQ
-
-
-
-
Application Notes
-
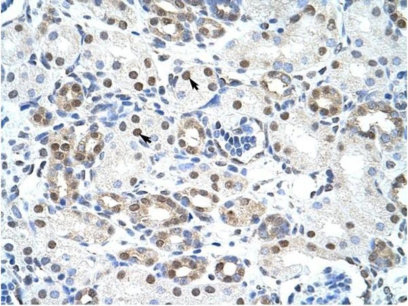
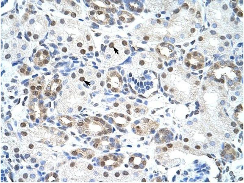
WB: 1.25 µg/mL, IHC: 4-8 µg/mL
Optimal conditions should be determined by the investigator. -
Comment
-
LSM2 Blocking Peptide, (ABIN5614598), is also available for use as a blocking control in assays to test for specificity of this LSM2 antibody
-
Restrictions
- For Research Use only
-
-
-
Format
- Lyophilized
-
Reconstitution
- Lyophilized powder. Add distilled water for a 1 mg/mL concentration of LSM2 antibody in PBS
-
Concentration
- Lot specific
-
Buffer
- PBS
-
Handling Advice
- Avoid repeated freeze/thaw cycles.
-
Storage
- 4 °C/-20 °C
-
Storage Comment
- Store at 2-8 °C for short periods. For longer periods of storage, store at -20 °C.
-
-
- LSM2 (LSM2 Homolog, U6 Small Nuclear RNA Associated (LSM2))
-
Alternative Name
- LSM2
-
Background
- Sm-like proteins were identified in a variety of organisms based on sequence homology with the Sm protein family. Sm-like proteins contain the Sm sequence motif, which consists of 2 regions separated by a linker of variable length that folds as a loop. The Sm-like proteins are thought to form a stable heteromer present in tri-snRNP particles, which are important for pre-mRNA splicing.
-
Molecular Weight
- 10 kDa (MW of target protein)
-
Pathways
- Ribonucleoprotein Complex Subunit Organization
Target
-