Phone:
+1 877 302 8632
Fax:
+1 888 205 9894 (Toll-free)
E-Mail:
orders@antibodies-online.com

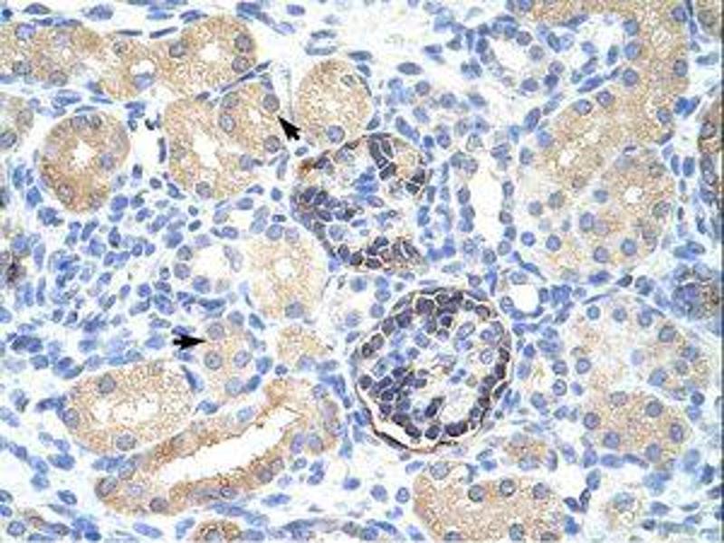
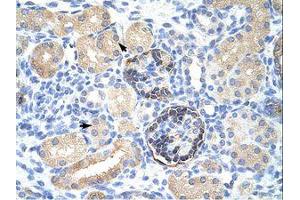
CLIC5 antibody (C-Term)

This Rabbit Polyclonal antibody specifically detects CLIC5 in WB, IHC and IHC (p). It exhibits reactivity toward Human, Guinea Pig, Horse, Rabbit, Cow, Pig, Monkey and Bat.
Catalog No. ABIN202126
$649.00
Plus shipping costs $50.00
100 μL
Shipping to: United States
Delivery in 11 to 15 Business Days

Quick Overview for CLIC5 antibody (C-Term) (ABIN202126)

Target

See all CLIC5 Antibodies
CLIC5 (Chloride Intracellular Channel 5 (CLIC5))

Reactivity

  • 33
  • 5
  • 5
  • 3
  • 3
  • 3
  • 3
  • 2
  • 2
  • 1
  • 1
Human, Guinea Pig, Horse, Rabbit, Cow, Pig, Monkey, Bat

Host

  • 23
  • 11
Rabbit

Clonality

  • 23
  • 11
Polyclonal

Conjugate

  • 20
  • 6
  • 2
  • 2
  • 2
  • 2
This CLIC5 antibody is un-conjugated

Application

  • 29
  • 21
  • 17
  • 5
  • 5
  • 2
  • 2
  • 1
  • 1
Western Blotting (WB), Immunohistochemistry (IHC), Immunohistochemistry (Paraffin-embedded Sections) (IHC (p))
  • Binding Specificity

    • 5
    • 2
    • 2
    • 2
    • 1
    • 1
    • 1
    • 1
    • 1
    C-Term

    Specificity

    Human CLIC5

    Predicted Reactivity

    Percent identity by BLAST analysis: Human, Bovine, Rabbit, Horse, Pig, Guinea pig (100%) Mouse, Rat, Dog, Xenopus (92%) Chicken (91%).

    Purification

    Protein A purified

    Immunogen

    Synthetic peptide from C-Terminus of human CLIC5 (Q9NZA1, NP_058625). Percent identity by BLAST analysis: Human, Chimpanzee, Gorilla, Gibbon, Monkey, Galago, Marmoset, Bovine, Bat, Rabbit, Horse, Pig, Guinea pig (100%), Mouse, Rat, Elephant, Dog, Opossum, Turkey, Zebra finch, Sparrow, Platypus, Lizard, Xenopus, Salmon, Zebrafish (92%), Chicken (91%), Stickleback (84%).

    Type of Immunogen: Synthetic peptide

    Isotype

    IgG
  • Application Notes

    Approved: IHC, IHC-P, WB (1.25 μg/mL)

    Comment

    Target Species of Antibody: Human

    Restrictions

    For Research Use only
  • Format

    Lyophilized

    Reconstitution

    After adding water, will consist of PBS buffer with 2 % sucrose

    Concentration

    Lot specific

    Buffer

    Lyophilized from PBS with 2 % sucrose

    Handling Advice

    Avoid repeat freeze-thaw cycles.

    Storage

    4 °C,-20 °C

    Storage Comment

    Long term: -20°C, the use of 50% glycerol is recommended if storing aliquots in -20°C for long term use (up to 1 year)
    Short term (less than 1 week): 4°C. Avoid freeze-thaw cycles.
  • Target

    CLIC5 (Chloride Intracellular Channel 5 (CLIC5))

    Alternative Name

    CLIC5

    Background

    Name/Gene ID: CLIC5
    Subfamily: Chloride channel - intracellular
    Family: Ion Channel

    Synonyms: CLIC5, CLIC5B, MST130, MSTP130

    Gene ID

    53405

    NCBI Accession

    NP_058625

    UniProt

    Q9NZA1

    Pathways

    Sensory Perception of Sound
You are here:
Chat with us!