SARM1 antibody (C-Term)
Quick Overview for SARM1 antibody (C-Term) (ABIN213875)
Target
See all SARM1 AntibodiesReactivity
Host
Clonality
Conjugate
Application
-
-
Binding Specificity
- C-Term
-
Purification
- Ion exchange chromatography
-
Isotype
- IgG
-
-
-
-
Application Notes
-
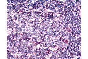
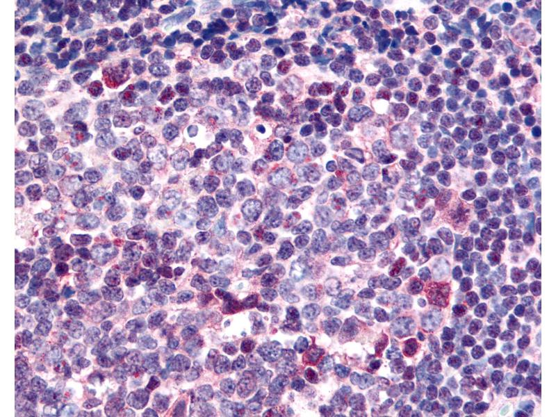
Approved: ICC (2 μg/mL), IF (2 μg/mL), IHC, IHC-P (10 μg/mL), WB (0.5 - 2 μg/mL)
Usage: Immunohistochemistry: This antibody was validated for use in immunohistochemistry on a panel of 21 formalin-fixed, paraffin-embedded (FFPE) human tissues after heat induced antigen retrieval in pH 6.0 citrate buffer. After incubation with the primary antibody, slides were incubated with biotinylated secondary antibody, followed by alkaline phosphatase-streptavidin and chromogen. The stained slides were evaluated by a pathologist to confirm staining specificity. The optimal working concentration for this antibody was determined to be 2 μg/mL. -
Comment
-
Target Species of Antibody: Human
-
Restrictions
- For Research Use only
-
-
-
Format
- Liquid
-
Concentration
- Lot specific
-
Buffer
- PBS, 0.02 % sodium azide.
-
Preservative
- Sodium azide
-
Precaution of Use
- This product contains Sodium azide: a POISONOUS AND HAZARDOUS SUBSTANCE which should be handled by trained staff only.
-
Handling Advice
- avoid freeze thaw cycles. Store undiluted.
-
Storage
- 4 °C,-20 °C
-
Storage Comment
- Store at 4°C for 3 months and -20°C, stable for up to 1 year. Avoid repeated freeze-thaw cycles.
-
Expiry Date
- 12 months
-
-
- SARM1 (Sterile alpha and TIR Motif Containing 1 (SARM1))
-
Alternative Name
- SARM1 / SARM
-
Background
-
Name/Gene ID: SARM1
Synonyms: SARM1, Tir-1 homolog, SARM, KIAA0524, SAMD2 -
Gene ID
- 23098
-
UniProt
- Q6SZW1
-
Pathways
- TLR Signaling, Activation of Innate immune Response, Toll-Like Receptors Cascades
Target
-