BRIP1 antibody (pSer990)
Quick Overview for BRIP1 antibody (pSer990) (ABIN2170674)
Target
See all BRIP1 AntibodiesReactivity
Host
Clonality
Conjugate
Application
-
-
Binding Specificity
- pSer990
-
Specificity
- This phosphorylation site is homologous to that of Ser921 in Bovine.
-
Cross-Reactivity
- Human, Mouse
-
Predicted Reactivity
- Cow,Sheep
-
Purification
- Purified by Protein A.
-
Immunogen
- KLH conjugated synthetic phosphopeptide derived from human BRIP1 around the phosphorylation site of Ser990
-
Isotype
- IgG
-
-
-
-
Application Notes
-
WB 1:300-5000
ELISA 1:500-1000
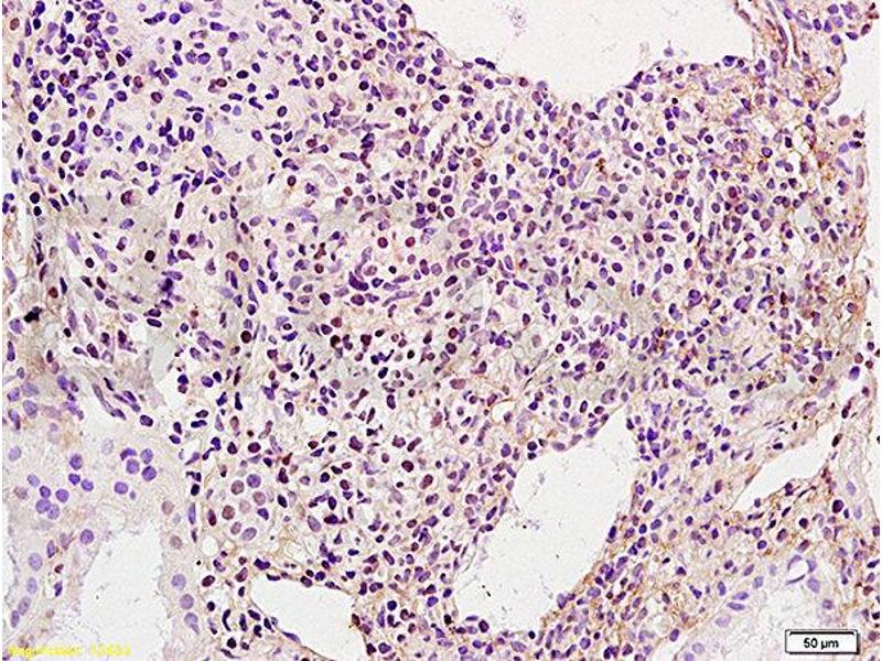
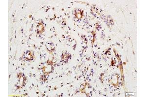
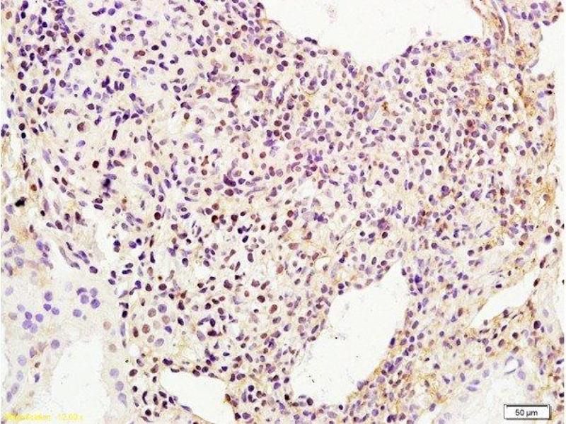
IHC-P 1:200-400
IHC-F 1:100-500
IF(IHC-P) 1:50-200
IF(IHC-F) 1:50-200
IF(ICC) 1:50-200 -
Restrictions
- For Research Use only
-
-
-
Format
- Liquid
-
Concentration
- 1 μg/μL
-
Buffer
- 0.01M TBS( pH 7.4) with 1 % BSA, 0.02 % Proclin300 and 50 % Glycerol.
-
Preservative
- ProClin
-
Precaution of Use
- This product contains ProClin: a POISONOUS AND HAZARDOUS SUBSTANCE, which should be handled by trained staff only.
-
Storage
- 4 °C,-20 °C
-
Storage Comment
- Shipped at 4°C. Store at -20°C for one year. Avoid repeated freeze/thaw cycles.
-
Expiry Date
- 12 months
-
-
- BRIP1 (BRCA1 Interacting Protein C-terminal Helicase 1 (BRIP1))
-
Alternative Name
- BRIP1
-
Background
-
Synonyms: OF, BACH1, FANCJ, Fanconi anemia group J protein, Protein FACJ, ATP-dependent RNA helicase BRIP1, BRCA1-associated C-terminal helicase 1, BRCA1-interacting protein C-terminal helicase 1, BRCA1-interacting protein 1, BRIP1
Background: DNA-dependent ATPase and 5' to 3' DNA helicase required for the maintenance of chromosomal stability. Acts late in the Fanconi anemia pathway, after FANCD2 ubiquitination. Involved in the repair of DNA double-strand breaks by homologous recombination in a manner that depends on its association with BRCA1.
-
Gene ID
- 83990
-
UniProt
- Q9BX63
-
Pathways
- DNA Damage Repair
Target
-