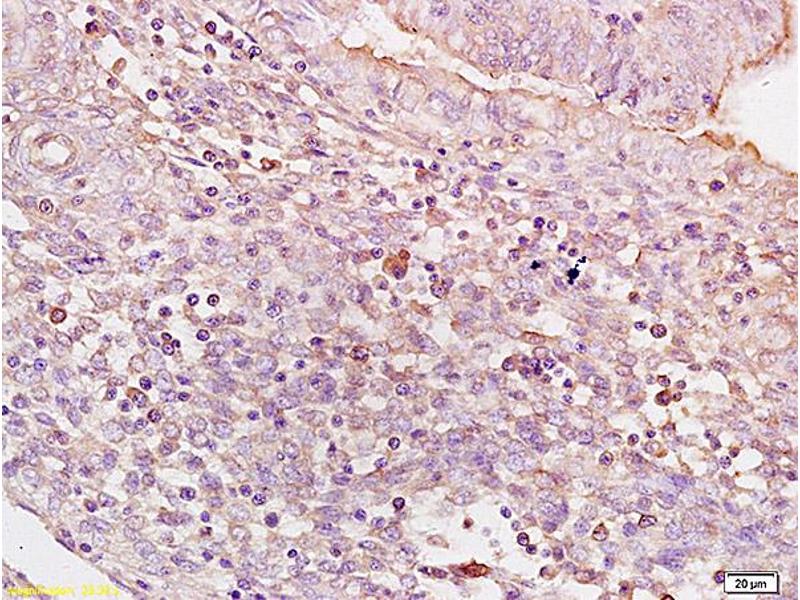
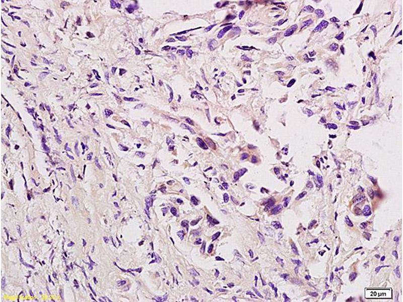
This Rabbit Polyclonal antibody specifically detects BRIP1 in WB, IF (p) and IHC (p). It exhibits reactivity toward Human, Mouse, Rat, Chicken, Cow, Dog, Horse and Pig.
BRIP1
Reactivity: Human
WB, IHC (p)
Host: Rabbit
Polyclonal
unconjugated
Application Notes
WB(1:100-500) Optimal working dilution should be determined by the investigator.
Restrictions
For Research Use only
Format
Liquid
Concentration
1mg/1ml
Buffer
0.01M PBS, pH 7.4 with 10 mg/ml BSA
Preservative
Sodium azide
Precaution of Use
This product contains sodium azide: a POISONOUS AND HAZARDOUS SUBSTANCE which should be handled by trained staff only.
Storage
-20 °C
Target
BRIP1
(BRCA1 Interacting Protein C-terminal Helicase 1 (BRIP1))
Alternative Name
BACH1/BRIP1
Background
BACH1 is a member of the DEAH helicase family that interacts with BRCA1 in vivo. BACH1 is a DNA-dependent ATPase and 5' to 3' DNA helicase required for the maintenance of chromosomal stability. BACH1 acts late in the Fanconi anemia pathway after FANCD2 ubiquitination and is involved in the repair of DNA double-strand breaks by homologous recombination in a manner that depends on its association with BRCA1. The BACH1/BRCA1 complex formation contributes to a key function of BRCA1. Therefore it is likely that BACH1 is a target of germline cancer-inducing mutations. Synonym: BACH 1, BRIP1, BACH-1, BRAC 1 Associated C Terminal Helicase 1, BRCA 1 Interacting Protein 1, BRCA1 binding helicase like protein BACH1, BRCA1 interacting protein C terminal helicase 1, BRIP 1, BRIP-1, FANCJ, ATP dependent RNA helicase BRIP1, Fanconi anemia group J protein, FLJ90232, MGC126521, MGC126523, OF antibody Protein FACJ.