PPARG antibody
Quick Overview for PPARG antibody (ABIN232120)
Target
See all PPARG AntibodiesReactivity
Host
Clonality
Conjugate
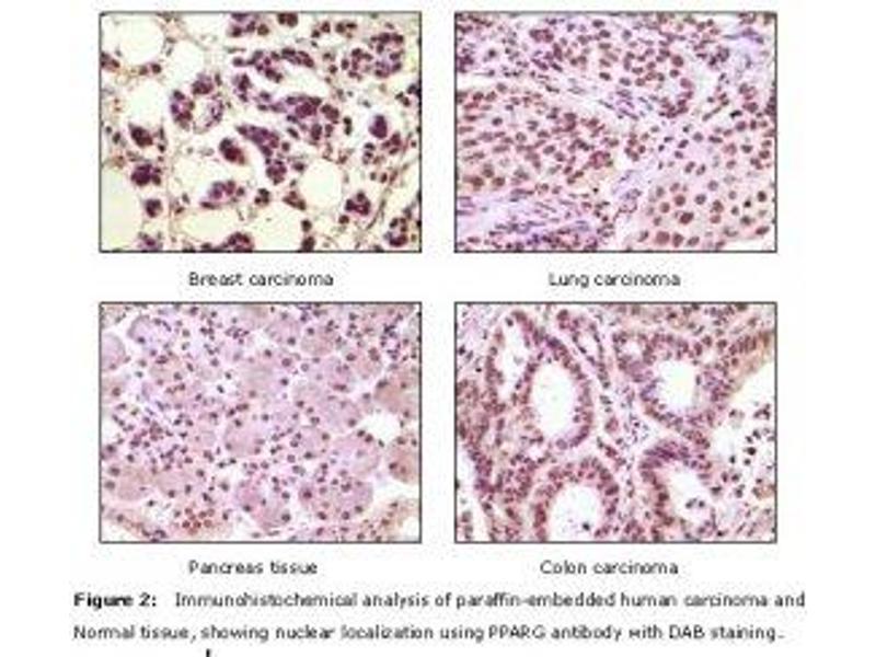
Application
Clone
-
-
Specificity
- Ni-NTA purified truncated recombinant PPARG expressed in E. Coli strain BL21 (DE3)
-
Immunogen
-
Recombinant human PPARG.
Type of Immunogen: Recombinant protein -
Isotype
- IgG1
-
-
-
-
Application Notes
- Approved: ELISA (1:10000), IF, IHC, WB (1:500 - 1:2000)
-
Comment
-
Target Species of Antibody: Human
-
Restrictions
- For Research Use only
-
-
-
Format
- Liquid
-
Concentration
- Lot specific
-
Buffer
- Ascites.
-
Storage
- 4 °C,-20 °C
-
Storage Comment
- Short term: 4°C. Long term: Store at -20°C. Avoid freeze-thaw cycles.
-
-
- PPARG (Peroxisome Proliferator-Activated Receptor gamma (PPARG))
-
Alternative Name
- PPARG / PPAR Gamma
-
Background
-
Name/Gene ID: PPARG
Subfamily: NR1 Thyroid hormone-like
Family: NHR
Synonyms: PPARG, NR1C3, PPAR gamma, PPAR gamma 2, PPARG1, PPARG2, PPARgamma, CIMT1, GLM1, PPAR-gamma -
Gene ID
- 5468
-
UniProt
- P37231
-
Pathways
- MAPK Signaling, Nuclear Receptor Transcription Pathway, Steroid Hormone Mediated Signaling Pathway, Negative Regulation of Hormone Secretion, Carbohydrate Homeostasis, Regulation of Lipid Metabolism by PPARalpha, Positive Regulation of Endopeptidase Activity, Brown Fat Cell Differentiation, Positive Regulation of fat Cell Differentiation
Target
-