Phone:
+1 877 302 8632
Fax:
+1 888 205 9894 (Toll-free)
E-Mail:
orders@antibodies-online.com

PPIE antibody (Middle Region)

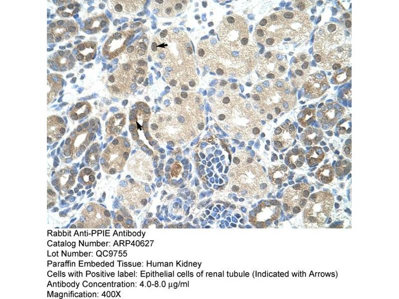
The Rabbit Polyclonal anti-PPIE antibody (ABIN2778968) specifically detects PPIE in WB and IHC. The antibody is reactive with Human, Mouse, Rat, Dog, Guinea Pig, Saccharomyces cerevisiae, Cow, Horse, Pig, Rabbit and Sheep samples.
Catalog No. ABIN2778968
$429.69
Plus shipping costs $50.00
Shipping to: United States
Delivery in 2 to 4 Business Days

Quick Overview for PPIE antibody (Middle Region) (ABIN2778968)

Target

See all PPIE Antibodies
PPIE (Peptidylprolyl Isomerase E (Cyclophilin E) (PPIE))

Reactivity

  • 35
  • 14
  • 13
  • 5
  • 4
  • 3
  • 3
  • 2
  • 2
  • 2
  • 2
  • 2
  • 1
  • 1
  • 1
  • 1
  • 1
Human, Mouse, Rat, Dog, Guinea Pig, Saccharomyces cerevisiae, Cow, Horse, Pig, Rabbit, Sheep

Host

  • 33
  • 7
Rabbit

Clonality

  • 35
  • 5
Polyclonal

Conjugate

  • 29
  • 3
  • 3
  • 3
  • 1
  • 1
This PPIE antibody is un-conjugated

Application

  • 31
  • 22
  • 10
  • 8
  • 7
  • 6
  • 6
  • 3
  • 3
Western Blotting (WB), Immunohistochemistry (IHC)
  • Binding Specificity

    • 8
    • 6
    • 5
    • 3
    • 3
    • 2
    • 2
    • 1
    • 1
    • 1
    • 1
    • 1
    Middle Region

    Sequence

    KKFSGKTLEE NKEEEGSEPP KAETQEGEPI AKKARSNPQV YMDIKIGNKP

    Predicted Reactivity

    Cow: 100%, Dog: 100%, Guinea Pig: 86%, Horse: 100%, Human: 100%, Mouse: 93%, Pig: 100%, Rabbit: 100%, Rat: 93%, Sheep: 100%, Yeast: 100%

    Characteristics

    This is a rabbit polyclonal antibody against PPIE. It was validated on Western Blot and immunohistochemistry.

    Purification

    Protein A purified

    Immunogen

    The immunogen is a synthetic peptide directed towards the middle region of human PPIE
  • Application Notes

    Optimal working dilutions should be determined experimentally by the investigator.

    Comment

    Antigen size: 301 AA

    Restrictions

    For Research Use only
  • Format

    Liquid

    Concentration

    Lot specific

    Buffer

    Liquid. Purified antibody supplied in 1x PBS buffer with 0.09 % (w/v) sodium azide and 2 % sucrose.

    Preservative

    Sodium azide

    Precaution of Use

    This product contains Sodium azide: a POISONOUS AND HAZARDOUS SUBSTANCE which should be handled by trained staff only.

    Handling Advice

    Avoid repeated freeze-thaw cycles.

    Storage

    -20 °C

    Storage Comment

    For short term use, store at 2-8°C up to 1 week. For long term storage, store at -20°C in small aliquots to prevent freeze-thaw cycles.
  • Target

    PPIE (Peptidylprolyl Isomerase E (Cyclophilin E) (PPIE))

    Alternative Name

    PPIE

    Background

    PPIE is a member of the peptidyl-prolyl cis-trans isomerase (PPIase) family. PPIases catalyze the cis-trans isomerization of proline imidic peptide bonds in oligopeptides and accelerate the folding of proteins. This protein contains a highly conserved cyclophilin (CYP) domain as well as an RNA-binding domain. It was shown to possess PPIase and protein folding activities and also exhibit RNA-binding activity. Three alternatively spliced transcript variants encoding distinct isoforms have been observed.The protein encoded by this gene is a member of the peptidyl-prolyl cis-trans isomerase (PPIase) family. PPIases catalyze the cis-trans isomerization of proline imidic peptide bonds in oligopeptides and accelerate the folding of proteins. This protein contains a highly conserved cyclophilin (CYP) domain as well as an RNA-binding domain. It was shown to possess PPIase and protein folding activities and also exhibit RNA-binding activity. Three alternatively spliced transcript variants encoding distinct isoforms have been observed.
    Alias Symbols: CYP33, CYP-33
    Protein Interaction Partner: XAB2, BMI1, UBC, EIF4A3, MAGOH, SF3A2, HHV8GK18_gp81, SUMO2, Prpf8, Cdc5l, Snw1, KMT2A, PHYHIP,
    Protein Size: 301

    Molecular Weight

    33 kDa

    Gene ID

    10450

    NCBI Accession

    NM_006112, NP_006103

    UniProt

    Q9UNP9
You are here:
Chat with us!