Phone:
+1 877 302 8632
Fax:
+1 888 205 9894 (Toll-free)
E-Mail:
orders@antibodies-online.com

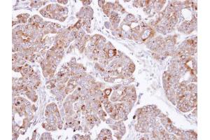
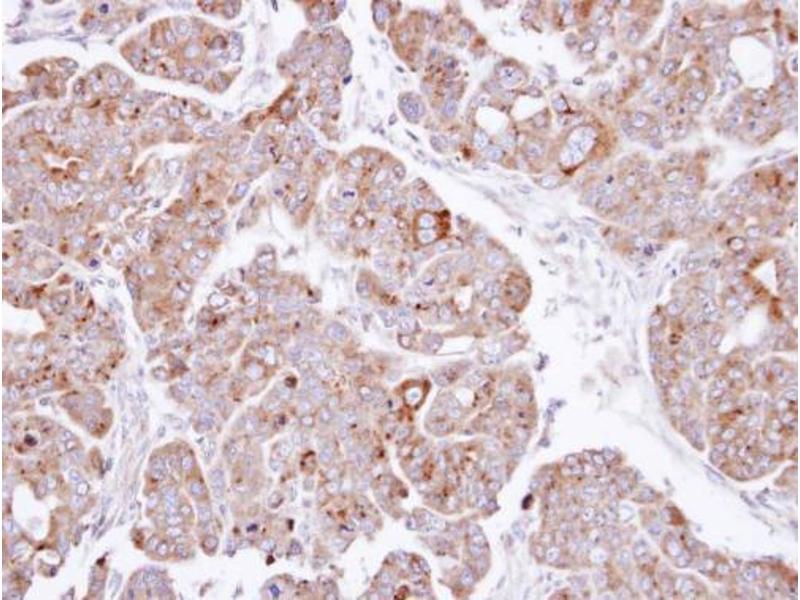
Prosaposin antibody

The Rabbit Polyclonal anti-Prosaposin antibody is suitable to detect Prosaposin in samples from Human. It has been validated for WB, IHC (p) and IHC (fro).
Catalog No. ABIN2854916
$564.19
Plus shipping costs $50.00
100 μL
Shipping to: United States
Delivery in 3 to 5 Business Days

Quick Overview for Prosaposin antibody (ABIN2854916)

Target

See all Prosaposin (PSAP) Antibodies
Prosaposin (PSAP)

Reactivity

  • 56
  • 25
  • 24
Human

Host

  • 57
  • 15
Rabbit

Clonality

  • 48
  • 24
Polyclonal

Conjugate

  • 36
  • 4
  • 4
  • 3
  • 2
  • 2
  • 2
  • 2
  • 2
  • 2
  • 1
  • 1
  • 1
  • 1
  • 1
  • 1
  • 1
  • 1
  • 1
  • 1
  • 1
  • 1
  • 1
This Prosaposin antibody is un-conjugated

Application

  • 55
  • 31
  • 23
  • 14
  • 14
  • 11
  • 9
  • 8
  • 7
  • 5
  • 4
  • 1
  • 1
  • 1
  • 1
Western Blotting (WB), Immunohistochemistry (Paraffin-embedded Sections) (IHC (p)), Immunohistochemistry (Frozen Sections) (IHC (fro))

Grade

KO Validated
  • Cross-Reactivity

    Human, Mouse, Rat

    Characteristics

    Rabbit polyclonal antibody to PSAP (prosaposin)
    PSAP antibody [N1N3]

    Purification

    Purified by antigen-affinity chromatography.

    Immunogen

    Recombinant protein encompassing a sequence within the center region of human PSAP. The exact sequence is proprietary.

    Isotype

    IgG
  • Application Notes

    WB: 1:500-1:3000. IHC-P: 1:100-1:1000. Optimal dilutions/concentrations should be determined by the researcher. Not tested in other applications.

    Comment

    Positive Control: mouse brain , rat brain , HeLa

    Validation: KO/KD

    Restrictions

    For Research Use only
  • Format

    Liquid

    Concentration

    1.98 mg/mL

    Buffer

    1XPBS pH 7, 20 % Glycerol, 0.025 % ProClin 300

    Preservative

    ProClin

    Precaution of Use

    This product contains ProClin: a POISONOUS AND HAZARDOUS SUBSTANCE which should be handled by trained staff only.

    Storage

    4 °C,-20 °C

    Storage Comment

    Store as concentrated solution. Centrifuge briefly prior to opening vial. For short-term storage (1-2 weeks), store at 4°C. For long-term storage, aliquot and store at -20°C or below. Avoid multiple freeze-thaw cycles.
  • Target

    Prosaposin (PSAP)

    Alternative Name

    prosaposin

    Background

    This gene encodes a highly conserved glycoprotein which is a precursor for 4 cleavage products: saposins A, B, C, and D. Each domain of the precursor protein is approximately 80 amino acid residues long with nearly identical placement of cysteine residues and glycosylation sites. Saposins A-D localize primarily to the lysosomal compartment where they facilitate the catabolism of glycosphingolipids with short oligosaccharide groups. The precursor protein exists both as a secretory protein and as an integral membrane protein and has neurotrophic activities. Mutations in this gene have been associated with Gaucher disease, Tay-Sachs disease, and metachromatic leukodystrophy. Alternative splicing results in multiple transcript variants encoding different isoforms.

    Cellular Localization: Lysosome

    Molecular Weight

    58 kDa

    Gene ID

    5660

    UniProt

    P07602

    Pathways

    Positive Regulation of Endopeptidase Activity
You are here:
Chat with us!