Phone:
+1 877 302 8632
Fax:
+1 888 205 9894 (Toll-free)
E-Mail:
orders@antibodies-online.com

CHMP2B antibody

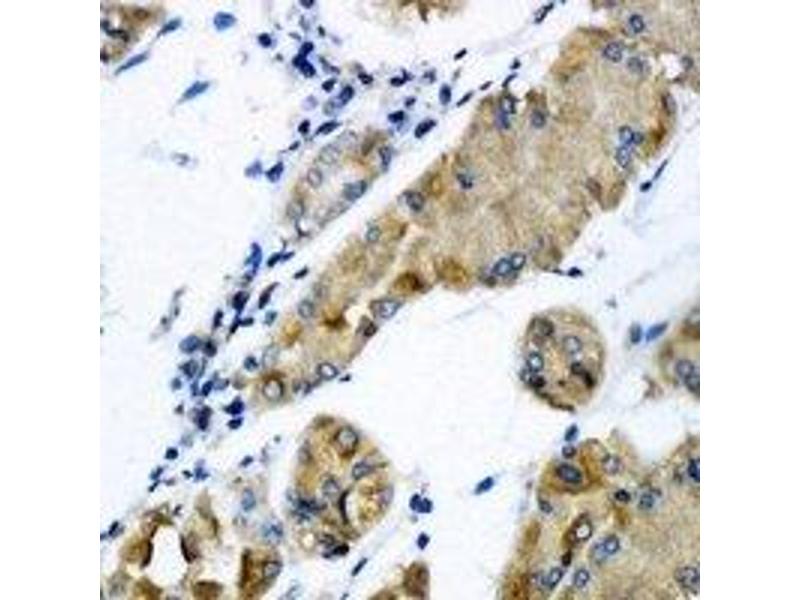
The Rabbit Polyclonal anti-CHMP2B antibody (ABIN7306272) specifically detects CHMP2B in WB, IHC and IF. The antibody is reactive with Human, Mouse and Rat samples.
Catalog No. ABIN7306272
$330.77
Plus shipping costs $50.00
Shipping to: United States
Delivery in 13 to 15 Business Days

Quick Overview for CHMP2B antibody (ABIN7306272)

Target

See all CHMP2B Antibodies
CHMP2B (Charged Multivesicular Body Protein 2B (CHMP2B))

Reactivity

  • 49
  • 41
  • 25
  • 2
  • 2
  • 2
  • 2
  • 2
  • 1
  • 1
  • 1
Human, Mouse, Rat

Host

  • 60
  • 3
  • 2
Rabbit

Clonality

  • 47
  • 18
Polyclonal

Conjugate

  • 30
  • 4
  • 2
  • 2
  • 2
  • 2
  • 2
  • 2
  • 2
  • 2
  • 1
  • 1
  • 1
  • 1
  • 1
  • 1
  • 1
  • 1
  • 1
  • 1
  • 1
  • 1
  • 1
  • 1
  • 1
This CHMP2B antibody is un-conjugated

Application

  • 54
  • 16
  • 16
  • 15
  • 14
  • 14
  • 13
  • 7
  • 4
  • 3
  • 3
  • 1
Western Blotting (WB), Immunohistochemistry (IHC), Immunofluorescence (IF)
You are here:
Chat with us!