Phone:
+1 877 302 8632
Fax:
+1 888 205 9894 (Toll-free)
E-Mail:
orders@antibodies-online.com

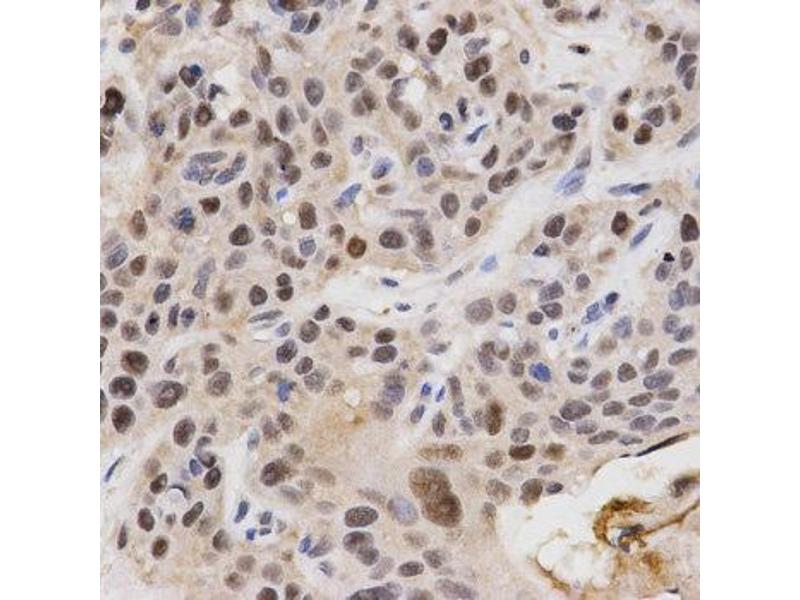
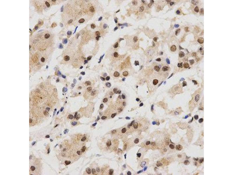
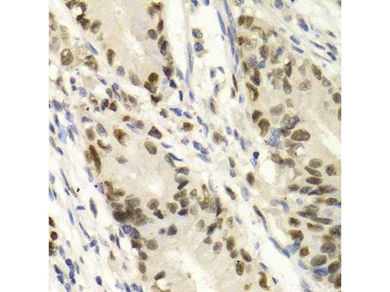
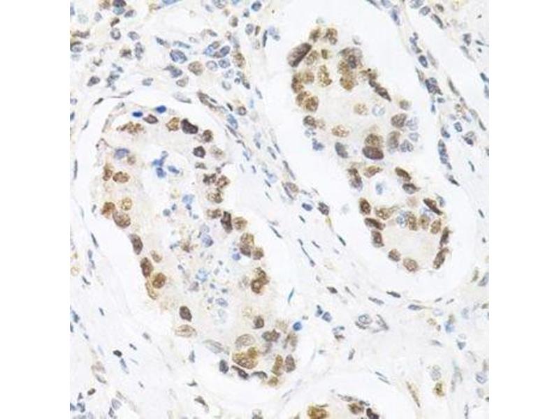
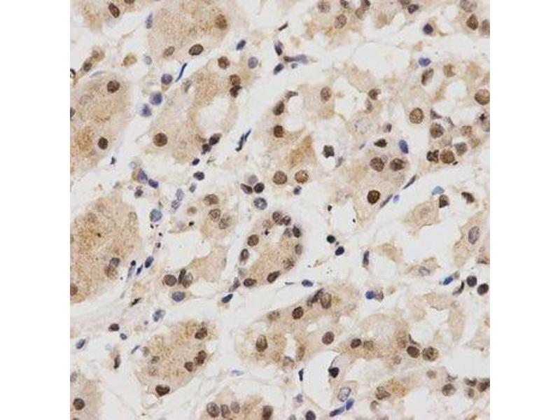
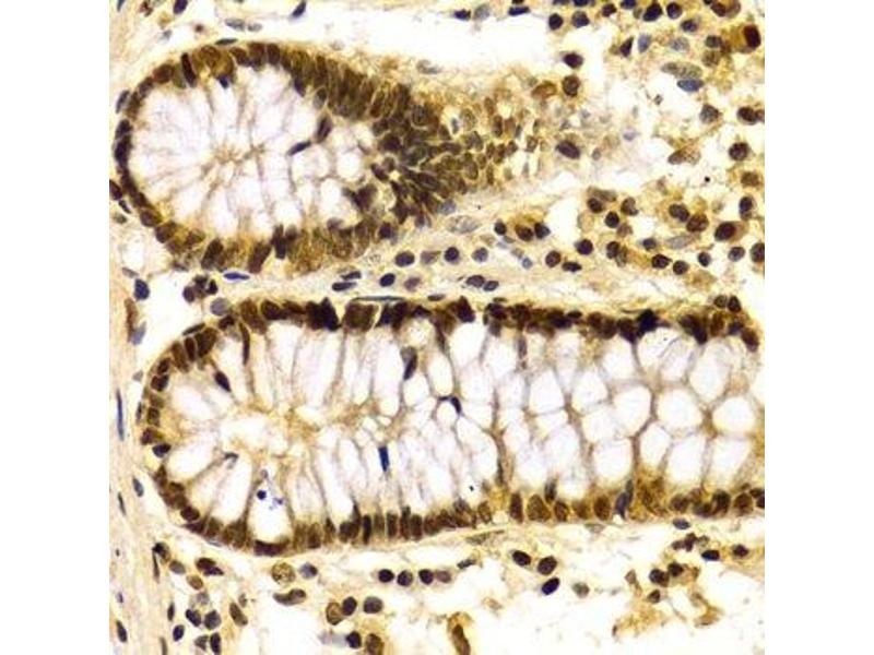
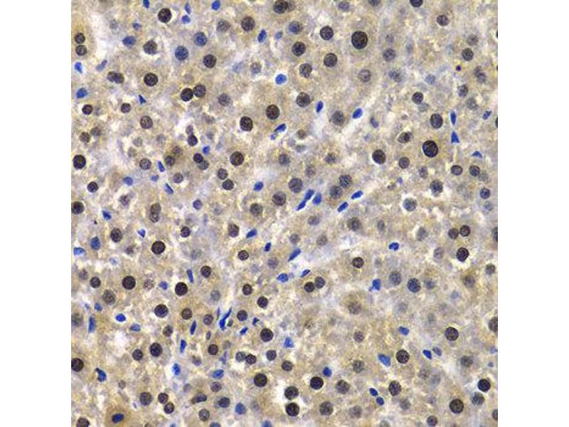
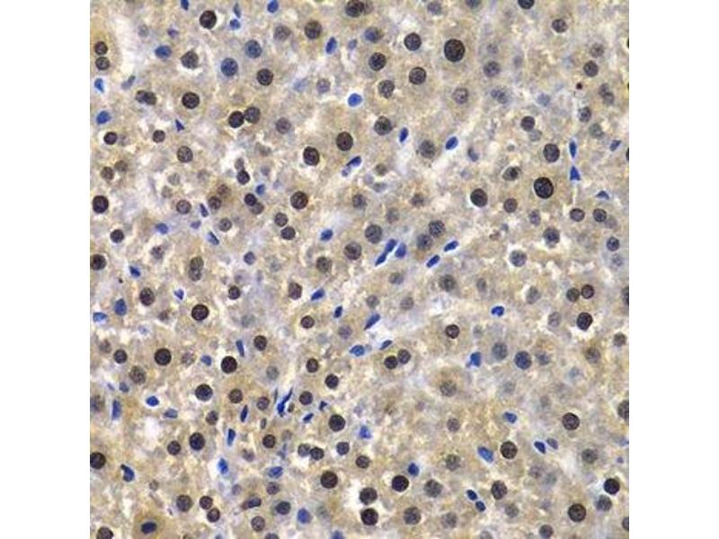
KPNA4 antibody (AA 1-240)

This Rabbit Polyclonal antibody specifically detects KPNA4 in WB, IHC and IF. It exhibits reactivity toward Human.It has been mentioned in 1 publication
Catalog No. ABIN3015855
$383.00
Plus shipping costs $50.00
Shipping to: United States
Delivery in 7 to 10 Business Days

Quick Overview for KPNA4 antibody (AA 1-240) (ABIN3015855)

Target

See all KPNA4 Antibodies
KPNA4 (Karyopherin (Importin) alpha 4 (KPNA4))

Reactivity

  • 42
  • 36
  • 15
  • 5
  • 4
  • 4
  • 4
  • 4
  • 1
  • 1
  • 1
Human

Host

  • 50
  • 1
  • 1
Rabbit

Clonality

  • 51
  • 1
Polyclonal

Conjugate

  • 22
  • 4
  • 4
  • 3
  • 1
  • 1
  • 1
  • 1
  • 1
  • 1
  • 1
  • 1
  • 1
  • 1
  • 1
  • 1
  • 1
  • 1
  • 1
  • 1
  • 1
  • 1
  • 1
This KPNA4 antibody is un-conjugated

Application

  • 39
  • 20
  • 14
  • 13
  • 10
  • 8
  • 7
  • 4
  • 3
  • 2
  • 2
  • 1
  • 1
  • 1
Western Blotting (WB), Immunohistochemistry (IHC), Immunofluorescence (IF)
  • Binding Specificity

    • 15
    • 7
    • 6
    • 6
    • 4
    • 3
    • 1
    • 1
    • 1
    • 1
    • 1
    AA 1-240

    Sequence

    MADNEKLDNQ RLKNFKNKGR DLETMRRQRN EVVVELRKNK RDEHLLKRRN VPHEDICEDS DIDGDYRVQN TSLEAIVQNA SSDNQGIQLS AVQAARKLLS SDRNPPIDDL IKSGILPILV HCLERDDNPS LQFEAAWALT NIASGTSEQT QAVVQSNAVP LFLRLLHSPH QNVCEQAVWA LGNIIGDGPQ CRDYVISLGV VKPLLSFISP SIPITFLRNV TWVMVNLCRH KDPPPPMETI

    Cross-Reactivity

    Human, Mouse, Rat

    Characteristics

    Polyclonal Antibodies

    Immunogen

    Recombinant fusion protein containing a sequence corresponding to amino acids 1-240 of human KPNA4 (NP_002259.1).

    Isotype

    IgG
  • Application Notes

    WB,1:500 - 1:2000,IHC,1:50 - 1:200,IF,1:50 - 1:200

    Restrictions

    For Research Use only
  • Buffer

    PBS with 0.02 % sodium azide,50 % glycerol, pH 7.3.

    Preservative

    Sodium azide

    Precaution of Use

    This product contains Sodium azide: a POISONOUS AND HAZARDOUS SUBSTANCE which should be handled by trained staff only.

    Storage

    -20 °C

    Storage Comment

    Store at -20°C. Avoid freeze / thaw cycles.
  • Li, Lu, Huang, Lv: "Porcine circovirus type 2 inhibits inter-β expression by targeting Karyopherin alpha-3 in PK-15 cells." in: Virology, Vol. 520, pp. 75-82, (2018) (PubMed).

  • Target

    KPNA4 (Karyopherin (Importin) alpha 4 (KPNA4))

    Alternative Name

    KPNA4

    Background

    The nuclear import of karyophilic proteins is directed by short amino acid sequences termed nuclear localization signals (NLSs). Karyopherins, or importins, are cytoplasmic proteins that recognize NLSs and dock NLS-containing proteins to the nuclear pore complex. The protein encoded by this gene shares the sequence similarity with Xenopus importin-alpha and Saccharomyces cerevisiae Srp1. This protein is found to interact with the NLSs of DNA helicase Q1 and SV40 T antigen.,KPNA4,IPOA3,QIP1,SRP3,Signal Transduction,KPNA4

    Molecular Weight

    57 kDa

    Gene ID

    3840

    UniProt

    O00629

    Pathways

    Protein targeting to Nucleus
You are here:
Chat with us!