Phone:
+1 877 302 8632
Fax:
+1 888 205 9894 (Toll-free)
E-Mail:
orders@antibodies-online.com

mGluR2/3 antibody

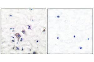
The Rabbit Monoclonal anti-mGluR2/3 antibody (ABIN3016610) specifically detects mGluR2/3 in WB and IP. The antibody is reactive with Human samples.
Catalog No. ABIN3016610
$393.00
Plus shipping costs $50.00
Shipping to: United States
Delivery in 7 to 10 Business Days

Quick Overview for mGluR2/3 antibody (ABIN3016610)

Target

mGluR2/3 (GRIA2/3) (Glutamate Receptor, Ionotropic, AMPA 2/3 (GRIA2/3))

Reactivity

  • 26
  • 26
  • 23
  • 3
  • 3
  • 2
  • 2
  • 2
  • 2
  • 2
  • 2
  • 2
  • 2
Human

Host

  • 31
Rabbit

Clonality

  • 21
  • 10
Monoclonal

Conjugate

  • 15
  • 2
  • 2
  • 2
  • 2
  • 2
  • 2
  • 2
  • 1
  • 1
This mGluR2/3 antibody is un-conjugated

Application

  • 24
  • 12
  • 10
  • 3
  • 2
  • 1
  • 1
  • 1
Western Blotting (WB), Immunoprecipitation (IP)
You are here:
Chat with us!