Phone:
+1 877 302 8632
Fax:
+1 888 205 9894 (Toll-free)
E-Mail:
orders@antibodies-online.com

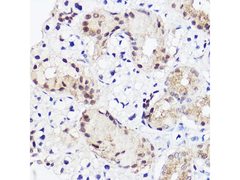
RUNX2 antibody (AA 242-521)

Cited in 5+ publications. The Rabbit Polyclonal anti-RUNX2 antibody (ABIN3016834) specifically detects RUNX2 in WB, IHC and IF. The antibody is reactive with Human samples.
Catalog No. ABIN3016834
$383.00
Plus shipping costs $50.00
Shipping to: United States
Delivery in 7 to 10 Business Days

Quick Overview for RUNX2 antibody (AA 242-521) (ABIN3016834)

Target

See all RUNX2 Antibodies
RUNX2 (Runt-Related Transcription Factor 2 (RUNX2))

Reactivity

  • 142
  • 67
  • 43
  • 10
  • 9
  • 8
  • 8
  • 8
  • 7
  • 5
  • 5
  • 4
  • 3
  • 3
  • 3
  • 2
  • 2
  • 1
  • 1
  • 1
Human

Host

  • 129
  • 18
Rabbit

Clonality

  • 109
  • 38
Polyclonal

Conjugate

  • 68
  • 10
  • 7
  • 7
  • 6
  • 5
  • 3
  • 3
  • 3
  • 3
  • 3
  • 3
  • 2
  • 2
  • 2
  • 2
  • 2
  • 2
  • 2
  • 2
  • 2
  • 2
  • 2
  • 1
  • 1
  • 1
  • 1
This RUNX2 antibody is un-conjugated

Application

  • 105
  • 48
  • 40
  • 37
  • 30
  • 18
  • 14
  • 10
  • 7
  • 3
  • 1
  • 1
  • 1
Western Blotting (WB), Immunohistochemistry (IHC), Immunofluorescence (IF)
  • Binding Specificity

    • 16
    • 16
    • 9
    • 8
    • 7
    • 6
    • 5
    • 5
    • 4
    • 4
    • 3
    • 2
    • 2
    • 2
    • 2
    • 2
    • 2
    • 2
    • 2
    • 2
    • 1
    • 1
    • 1
    • 1
    • 1
    • 1
    • 1
    • 1
    • 1
    • 1
    • 1
    • 1
    AA 242-521

    Sequence

    FSDRLSDLGR IPHPSMRVGV PPQNPRPSLN SAPSPFNPQG QSQITDPRQA QSSPPWSYDQ SYPSYLSQMT SPSIHSTTPL SSTRGTGLPA ITDVPRRISD DDTATSDFCL WPSTLSKKSQ AGASELGPFS DPRQFPSISS LTESRFSNPR MHYPATFTYT PPVTSGMSLG MSATTHYHTY LPPPYPGSSQ SQSGPFQTSS TPYLYYGTSS GSYQFPMVPG GDRSPSRMLP PCTTTSNGST LLNPNLPNQN DGVDADGSHS SSPTVLNSSG RMDESVWRPY

    Cross-Reactivity

    Human, Mouse, Rat

    Characteristics

    Polyclonal Antibodies

    Purification

    Affinity purification

    Immunogen

    Recombinant fusion protein containing a sequence corresponding to amino acids 242-521 of human RUNX2 (NP_001019801.3).

    Isotype

    IgG
  • Application Notes

    WB,1:200 - 1:1000,IHC,1:50 - 1:200,IF,1:50 - 1:200

    Restrictions

    For Research Use only
  • Buffer

    PBS with 0.02 % sodium azide,50 % glycerol, pH 7.3.

    Preservative

    Sodium azide

    Precaution of Use

    This product contains Sodium azide: a POISONOUS AND HAZARDOUS SUBSTANCE which should be handled by trained staff only.

    Storage

    -20 °C

    Storage Comment

    Store at -20°C. Avoid freeze / thaw cycles.
  • Zhang, Wang, Zeng, Yan, Ouyang, Liu, Sun, Zhao, Fang, Pan, Xie, Yang, Zhang, Bai, Cai: "mTORC1 activation downregulates FGFR3 and PTH/PTHrP receptor in articular chondrocytes to initiate osteoarthritis." in: Osteoarthritis and cartilage, Vol. 25, Issue 6, pp. 952-963, (2018) (PubMed).

    Gao, Li, Li: "Exendin-4 promotes the osteogenic differentiation of osteoblasts via the Hedgehog/Gli1 signaling pathway." in: American journal of translational research, Vol. 10, Issue 1, pp. 315-324, (2018) (PubMed).

    Wang, Zhang, Sun, Wang, Yang, Yang, Zhang, Luo, Wang, Jiang, Zeng, Cai, Bai: "Intra-articular Delivery of Antago-miR-483-5p Inhibits Osteoarthritis by Modulating Matrilin 3 and Tissue Inhibitor of Metalloproteinase 2." in: Molecular therapy : the journal of the American Society of Gene Therapy, Vol. 25, Issue 3, pp. 715-727, (2017) (PubMed).

    Li, Xu, Xing, Qian, Chen, Gu, Guo, Lai, Zhao, Li, Wang, Wang, Deng: "A Conditional Knockout Mouse Model Reveals a Critical Role of PKD1 in Osteoblast Differentiation and Bone Development." in: Scientific reports, Vol. 7, pp. 40505, (2017) (PubMed).

    Wu, Wang, Ji, Ou, Xia, Zhang, Zhao: "C4orf7 modulates osteogenesis and adipogenesis of human periodontal ligament cells." in: American journal of translational research, Vol. 9, Issue 12, pp. 5708-5718, (2017) (PubMed).

  • Target

    RUNX2 (Runt-Related Transcription Factor 2 (RUNX2))

    Alternative Name

    RUNX2

    Background

    This gene is a member of the RUNX family of transcription factors and encodes a nuclear protein with an Runt DNA-binding domain. This protein is essential for osteoblastic differentiation and skeletal morphogenesis and acts as a scaffold for nucleic acids and regulatory factors involved in skeletal gene expression. The protein can bind DNA both as a monomer or, with more affinity, as a subunit of a heterodimeric complex. Two regions of potential trinucleotide repeat expansions are present in the N-terminal region of the encoded protein, and these and other mutations in this gene have been associated with the bone development disorder cleidocranial dysplasia (CCD). Transcript variants that encode different protein isoforms result from the use of alternate promoters as well as alternate splicing.,RUNX2,AML3,CBF-alpha-1,CBFA1,CCD,CCD1,CLCD,OSF-2,OSF2,PEA2aA,PEBP2aA,Epigenetics & Nuclear Signaling,Transcription Factors,Cell Biology & Developmental Biology,Extracellular Matrix,Bone,Hippo Signaling Pathway,Stem Cells,Mesenchymal Stem Cells,Target gene,RUNX2

    Molecular Weight

    54 kDa/55 kDa/56 kDa

    Gene ID

    860

    UniProt

    Q13950
You are here:
Chat with us!