Phone:
+1 877 302 8632
Fax:
+1 888 205 9894 (Toll-free)
E-Mail:
orders@antibodies-online.com

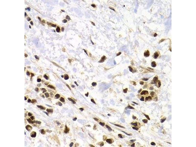
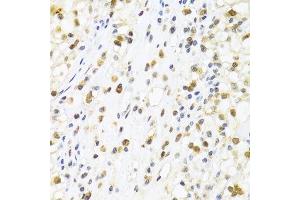
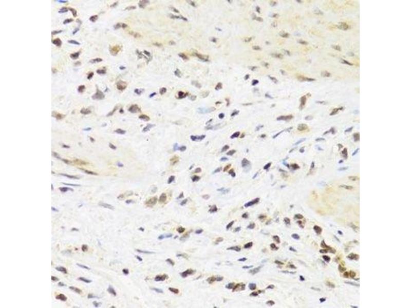
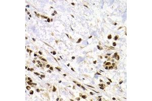
SUMO4 antibody

The Rabbit Polyclonal anti-SUMO4 antibody (ABIN3017370) specifically detects SUMO4 in WB and IHC. The antibody is reactive with Human samples.
Catalog No. ABIN3017370
$383.00
Plus shipping costs $50.00
Shipping to: United States
Delivery in 7 to 10 Business Days

Quick Overview for SUMO4 antibody (ABIN3017370)

Target

See all SUMO4 Antibodies
SUMO4 (Small Ubiquitin Related Modifier 4 (SUMO4))

Reactivity

  • 54
  • 27
  • 27
Human

Host

  • 51
  • 3
Rabbit

Clonality

  • 33
  • 21
Polyclonal

Conjugate

  • 26
  • 4
  • 3
  • 3
  • 3
  • 3
  • 3
  • 3
  • 1
  • 1
  • 1
  • 1
  • 1
  • 1
This SUMO4 antibody is un-conjugated

Application

  • 39
  • 18
  • 16
  • 16
  • 10
  • 10
  • 10
  • 5
  • 3
Western Blotting (WB), Immunohistochemistry (IHC)
  • Cross-Reactivity

    Human, Mouse

    Characteristics

    Polyclonal Antibodies

    Immunogen

    A synthetic peptide of human SUMO4

    Isotype

    IgG
  • Application Notes

    WB,1:1000 - 1:2000,IHC,1:100 - 1:300

    Restrictions

    For Research Use only
  • Buffer

    PBS with 0.02 % sodium azide,50 % glycerol, pH 7.3.

    Preservative

    Sodium azide

    Precaution of Use

    This product contains Sodium azide: a POISONOUS AND HAZARDOUS SUBSTANCE which should be handled by trained staff only.

    Storage

    -20 °C

    Storage Comment

    Store at -20°C. Avoid freeze / thaw cycles.
  • Target

    SUMO4 (Small Ubiquitin Related Modifier 4 (SUMO4))

    Alternative Name

    SUMO4

    Background

    This gene is a member of the SUMO gene family. This family of genes encode small ubiquitin-related modifiers that are attached to proteins and control the target proteins' subcellular localization, stability, or activity. The protein described in this record is located in the cytoplasm and specifically modifies IKBA, leading to negative regulation of NF-kappa-B-dependent transcription of the IL12B gene. A specific polymorphism in this SUMO gene, which leads to the M55V substitution, has been associated with type I diabetes. The RefSeq contains this polymorphism.,SUMO4,IDDM5,SMT3H4,SUMO-4,dJ281H8.4,Epigenetics & Nuclear Signaling,Transcription Factors,Cell Biology & Developmental Biology,Ubiquitin,Endocrine & Metabolism,Mitochondrial metabolism,Immunology & Inflammation,IL-6 Receptor Signaling Pathway,NF-kB Signaling Pathway,SUMO4

    Molecular Weight

    10 kDa

    Gene ID

    387082

    UniProt

    Q6EEV6
You are here:
Chat with us!