PBS with 0.02 % sodium azide,50 % glycerol, pH 7.3.
Preservative
Sodium azide
Precaution of Use
This product contains Sodium azide: a POISONOUS AND HAZARDOUS SUBSTANCE which should be handled by trained staff only.
Storage
-20 °C
Storage Comment
Store at -20°C. Avoid freeze / thaw cycles.
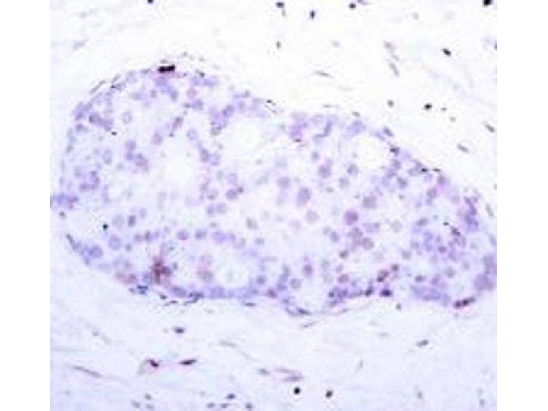
Target
NFKB1
(Nuclear Factor of kappa Light Polypeptide Gene Enhancer in B-Cells 1 (NFKB1))
Alternative Name
NFKB1
Background
This gene encodes a 105 kD protein which can undergo cotranslational processing by the 26S proteasome to produce a 50 kD protein. The 105 kD protein is a Rel protein-specific transcription inhibitor and the 50 kD protein is a DNA binding subunit of the NF-kappa-B (NFKB) protein complex. NFKB is a transcription regulator that is activated by various intra- and extra-cellular stimuli such as cytokines, oxidant-free radicals, ultraviolet irradiation, and bacterial or viral products. Activated NFKB translocates into the nucleus and stimulates the expression of genes involved in a wide variety of biological functions. Inappropriate activation of NFKB has been associated with a number of inflammatory diseases while persistent inhibition of NFKB leads to inappropriate immune cell development or delayed cell growth. Alternative splicing results in multiple transcript variants encoding different isoforms, at least one of which is proteolytically processed.,NFKB1,CVID12,EBP-1,KBF1,NF-kB1,NF-kappa-B,NF-kappaB,NFKB-p105,NFKB-p50,NFkappaB,p105,p50,Epigenetics & Nuclear Signaling,Transcription Factors,Cancer,Signal Transduction,Cell Biology & Developmental Biology,Apoptosis,Inhibition of Apoptosis,Death Receptor Signaling Pathway,Immunology & Inflammation,B Cell Receptor Signaling Pathway,T Cell Receptor Signaling Pathway,IL-6 Receptor Signaling Pathway,NF-kB Signaling Pathway,Cell Intrinsic Innate Immunity Signaling Pathway,Protein phosphorylation,NFKB1