Phone:
+1 877 302 8632
Fax:
+1 888 205 9894 (Toll-free)
E-Mail:
orders@antibodies-online.com

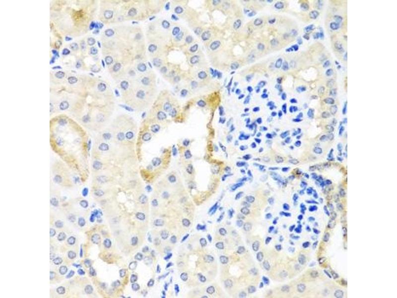
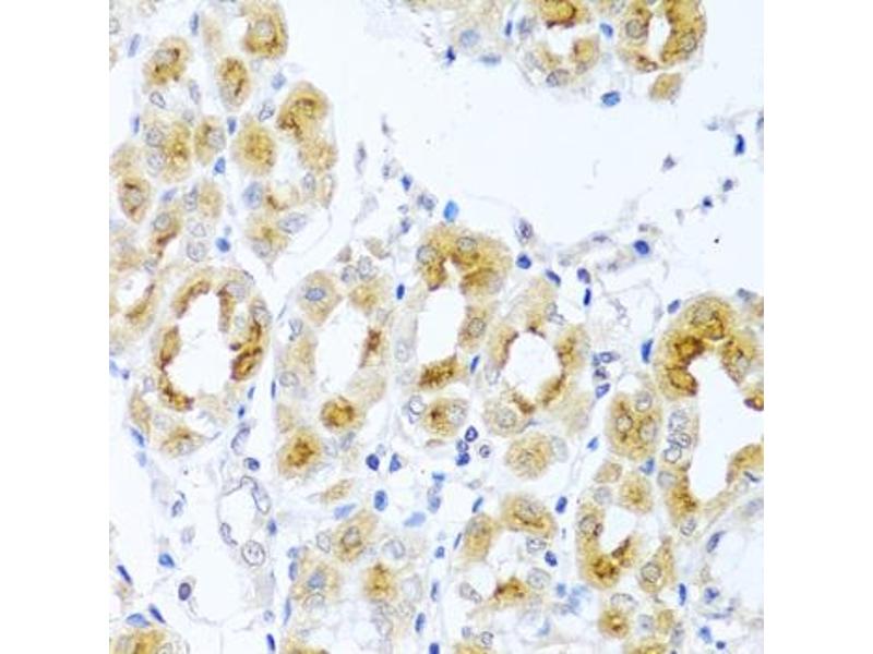
TDGF1 antibody (AA 1-188)

The Rabbit Polyclonal anti-TDGF1 antibody is suitable to detect TDGF1 in samples from Human. It has been validated for WB and IHC.
Catalog No. ABIN3021342
$383.00
Plus shipping costs $50.00
Shipping to: United States
Delivery in 7 to 10 Business Days

Quick Overview for TDGF1 antibody (AA 1-188) (ABIN3021342)

Target

See all TDGF1 Antibodies
TDGF1 (Teratocarcinoma-Derived Growth Factor 1 (TDGF1))

Reactivity

  • 66
  • 29
  • 21
Human

Host

  • 45
  • 22
  • 2
  • 1
  • 1
Rabbit

Clonality

  • 45
  • 25
Polyclonal

Conjugate

  • 27
  • 5
  • 5
  • 5
  • 2
  • 2
  • 2
  • 2
  • 2
  • 2
  • 2
  • 2
  • 2
  • 2
  • 2
  • 1
  • 1
  • 1
  • 1
  • 1
  • 1
  • 1
This TDGF1 antibody is un-conjugated

Application

  • 40
  • 26
  • 22
  • 11
  • 5
  • 3
  • 3
  • 2
  • 2
  • 1
  • 1
Western Blotting (WB), Immunohistochemistry (IHC)
  • Binding Specificity

    • 5
    • 5
    • 3
    • 3
    • 2
    • 1
    • 1
    • 1
    • 1
    • 1
    • 1
    • 1
    • 1
    • 1
    • 1
    AA 1-188

    Sequence

    MDCRKMARFS YSVIWIMAIS KVFELGLVAG LGHQEFARPS RGYLAFRDDS IWPQEEPAIR PRSSQRVPPM GIQHSKELNR TCCLNGGTCM LGSFCACPPS FYGRNCEHDV RKENCGSVPH DTWLPKKCSL CKCWHGQLRC FPQAFLPGCD GLVMDEHLVA SRTPELPPSA RTTTFMLVGI CLSIQSYY

    Cross-Reactivity

    Human, Mouse, Rat

    Characteristics

    Polyclonal Antibodies

    Immunogen

    Recombinant fusion protein containing a sequence corresponding to amino acids 1-188 of human TDGF1 (NP_003203.1).

    Isotype

    IgG
  • Application Notes

    WB,1:500 - 1:2000,IHC,1:50 - 1:200

    Restrictions

    For Research Use only
  • Format

    Liquid

    Buffer

    PBS with 0.02 % sodium azide,50 % glycerol, pH 7.3.

    Preservative

    Sodium azide

    Precaution of Use

    This product contains Sodium azide: a POISONOUS AND HAZARDOUS SUBSTANCE which should be handled by trained staff only.

    Handling Advice

    Avoid freeze / thaw cycles

    Storage

    -20 °C

    Storage Comment

    Store at -20°C. Avoid freeze / thaw cycles.
  • Target

    TDGF1 (Teratocarcinoma-Derived Growth Factor 1 (TDGF1))

    Alternative Name

    TDGF1

    Background

    This gene encodes an epidermal growth factor-related protein that contains a cripto, FRL-1, and cryptic domain. The encoded protein is an extracellular, membrane-bound signaling protein that plays an essential role in embryonic development and tumor growth. Mutations in this gene are associated with forebrain defects. Pseudogenes of this gene are found on chromosomes 2, 3, 6, 8, 19 and X. Alternate splicing results in multiple transcript variants.,TDGF1,CR,CRGF,CRIPTO,Cell Biology & Developmental Biology,Apoptosis,Growth factor,Stem Cells,Embryonic Stem Cells,TDGF1

    Molecular Weight

    21 kDa

    Gene ID

    6997

    UniProt

    P13385

    Pathways

    EGFR Signaling Pathway
You are here:
Chat with us!