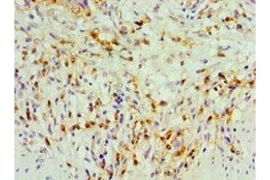
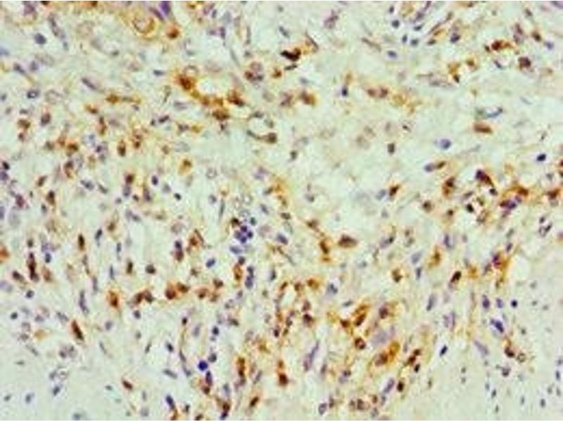
TDGF1 antibody (AA 35-188)
Quick Overview for TDGF1 antibody (AA 35-188) (ABIN7171776)
Target
See all TDGF1 AntibodiesReactivity
Host
Clonality
Conjugate
Application
-
-
Binding Specificity
- AA 35-188
-
Purpose
- TDGF1 Antibody
-
Purification
- Antigen Affinity Purified
-
Immunogen
- Recombinant Human Teratocarcinoma-derived growth factor 1 protein (35-188AA)
-
Isotype
- IgG
-
-
-
-
Application Notes
- Optimal working dilution should be determined by the investigator.
-
Restrictions
- For Research Use only
-
-
-
Format
- Liquid
-
Buffer
- PBS with 0.02 % sodium azide, 50 % glycerol, pH 7.3.
-
Preservative
- Sodium azide
-
Precaution of Use
- This product contains Sodium azide: a POISONOUS AND HAZARDOUS SUBSTANCE which should be handled by trained staff only.
-
Storage
- -20 °C,-80 °C
-
Storage Comment
- Upon receipt, store at -20°C or -80°C. Avoid repeated freeze.
-
-
- TDGF1 (Teratocarcinoma-Derived Growth Factor 1 (TDGF1))
-
Alternative Name
- TDGF1
-
Background
-
Background: Could play a role in the determination of the epiblastic cells that subsequently give rise to the mesoderm.
Aliases: CR antibody, CRGF antibody, Cripto 1 antibody, Cripto 1 growth factor antibody, cripto antibody, Cripto-1 growth factor antibody, Cripto1 growth factor antibody, Epidermal growth factor like cripto protein CR1 antibody, Epidermal growth factor-like cripto protein CR1 antibody, TDGF 1 antibody, TDGF1 antibody, TDGF1_HUMAN antibody, Teratocarcinoma derived growth factor 1 antibody, Teratocarcinoma-derived growth factor 1 antibody
-
UniProt
- P13385
-
Pathways
- EGFR Signaling Pathway
Target
-