PBS with 0.02 % sodium azide,50 % glycerol, pH 7.3.
Preservative
Sodium azide
Precaution of Use
This product contains Sodium azide: a POISONOUS AND HAZARDOUS SUBSTANCE which should be handled by trained staff only.
Storage
-20 °C
Storage Comment
Store at -20°C. Avoid freeze / thaw cycles.
Target
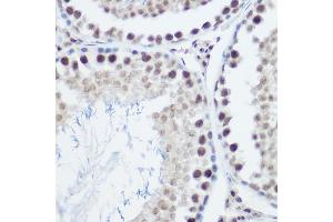
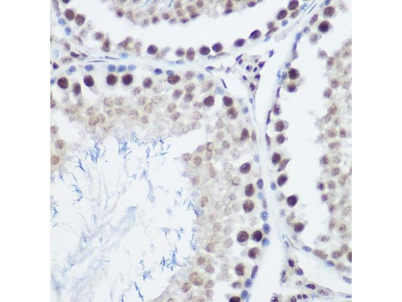
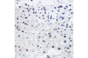
GADD45A
(Growth Arrest and DNA-Damage-Inducible, alpha (GADD45A))
Alternative Name
GADD45A
Background
This gene is a member of a group of genes whose transcript levels are increased following stressful growth arrest conditions and treatment with DNA-damaging agents. The protein encoded by this gene responds to environmental stresses by mediating activation of the p38/JNK pathway via MTK1/MEKK4 kinase. The DNA damage-induced transcription of this gene is mediated by both p53-dependent and -independent mechanisms. Alternatively spliced transcript variants encoding distinct isoforms have been found for this gene.,DDIT1,GADD45,GADD45A,Epigenetics & Nuclear Signaling,DNA Damage & Repair,Cell Biology & Developmental Biology,Apoptosis,Cell Cycle,Centrosome,G2/M DNA Damage Checkpoint,Immunology & Inflammation,T Cell Receptor Signaling Pathway,GADD45A