Phone:
+1 877 302 8632
Fax:
+1 888 205 9894 (Toll-free)
E-Mail:
orders@antibodies-online.com

Melanoma gp100 antibody

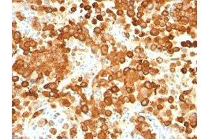
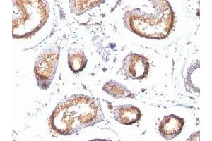
The Mouse Monoclonal anti-Melanoma gp100 antibody (Clone HMB45-PMEL-783) (ABIN3024235) specifically detects Melanoma gp100 in IF, FACS and IHC (p). The antibody is reactive with Human samples.
Catalog No. ABIN3024235
$640.46
Plus shipping costs $50.00
Shipping to: United States
Delivery in 2 to 4 Business Days

Quick Overview for Melanoma gp100 antibody (ABIN3024235)

Target

See all Melanoma gp100 (PMEL) Antibodies
Melanoma gp100 (PMEL) (Premelanosome Protein (PMEL))

Reactivity

  • 128
  • 13
  • 13
  • 12
  • 7
  • 3
  • 1
  • 1
  • 1
  • 1
Human

Host

  • 70
  • 55
  • 4
  • 1
Mouse

Clonality

  • 78
  • 49
  • 2
Monoclonal

Conjugate

  • 58
  • 10
  • 5
  • 5
  • 5
  • 5
  • 5
  • 5
  • 5
  • 4
  • 3
  • 2
  • 2
  • 2
  • 2
  • 2
  • 2
  • 2
  • 2
  • 1
  • 1
  • 1
This Melanoma gp100 antibody is un-conjugated

Application

  • 71
  • 68
  • 41
  • 40
  • 25
  • 20
  • 14
  • 6
  • 5
  • 5
  • 3
  • 2
  • 1
  • 1
  • 1
Immunofluorescence (IF), Flow Cytometry (FACS), Immunohistochemistry (Paraffin-embedded Sections) (IHC (p))

Clone

HMB45-PMEL-783
  • Purification

    Protein G affinity chromatography

    Immunogen

    Extract of pigmented melanoma metastases from lymph nodes (HMB45) and recombinant human protein (PMEL/783) were used as the immunogen for the gp100 antibody cocktail.

    Isotype

    IgG
  • Application Notes

    Optimal dilution of the gp100 antibody cocktail should be determined by the researcher.

    1. Staining of formalin-fixed tissues requires boiling tissue sections in 10  mM Citrate buffer,  pH 6.0, for 10-20 min followed by cooling at RT for 20 min.
    2. The prediluted format is supplied in a dropper bottle and is optimized for use in IHC. After epitope retrieval step (if required), drip mAb solution onto the tissue section and incubate at RT for 30 min.\. Flow Cytometry: 0.5-1 μg/million cells in 0.1ml,Immunofluorescence: 0.5-1 μg/mL,Immunohistochemistry (FFPE): 0.5-1 μg/mL for 30 min at RT (1),Prediluted format: incubate for 30 min at RT (2)

    Restrictions

    For Research Use only
  • Concentration

    0.2 mg/mL

    Buffer

    0.2 mg/mL in 1X PBS with 0.1 mg/mL BSA (US sourced) and 0.05 % sodium azide

    Preservative

    Sodium azide

    Precaution of Use

    This product contains Sodium azide: a POISONOUS AND HAZARDOUS SUBSTANCE which should be handled by trained staff only.

    Storage

    4 °C,-20 °C

    Storage Comment

    Store the gp100 antibody cocktail at 2-8°C (with azide) or aliquot and store at -20°C or colder (without azide).
  • Target

    Melanoma gp100 (PMEL) (Premelanosome Protein (PMEL))

    Alternative Name

    Gp100

    Background

    By immunohistochemistry, it specifically recognizes a protein in melanocytes and melanomas. This mAb reacts with junctional and blue nevus cells and variably with fetal and neonatal melanocytes. Intradermal nevi, normal adult melanocytes, and non-melanocytic cells are negative. It does not stain tumor cells of epithelial, lymphoid, glial, or mesenchymal origin. Metastatic amelanotic melanoma can often be confused with a variety of poorly differentiated carcinomas, large cell lymphomas, and sarcomas using H & E stains alone. It is also difficult to differentiate melanoma from spindle cell carcinomas and various types of mesenchymal neoplasms. This mAb stains fetal and neonatal melanocytes, junctional and blue nevus cells, and malignant melanoma. This mAb also stains Angiomyolipoma (PEComa).
You are here:
Chat with us!