×
For best experience we recommend to activate Javascript in your browser.
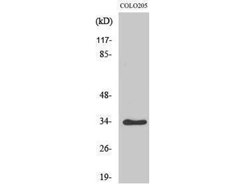
CDC2 / CDK2 antibody (pThr160)
The Rabbit Polyclonal anti-CDC2 / CDK2 antibody is suitable to detect CDC2 / CDK2 in samples from Human, Mouse and Rat. It has been validated for ELISA, WB and IHC.
Catalog No. ABIN3182478
$402.79
Plus shipping costs $50.00
50 μL ABIN6280720
100 μL ABIN3182478
200 μL ABIN3173198
50 μL ABIN6280720
100 μL ABIN3182478
200 μL ABIN3173198
Delivery in 11 to 15 Business Days
Quick Overview for CDC2 / CDK2 antibody (pThr160) (ABIN3182478)
Target
CDC2 / CDK2 (CDC2)
(Cyclin-Dependent Kinase A-1 (CDC2))
Reactivity
Human, Mouse, Rat
Host
All hosts for CDC2 / CDK2 antibodies
Rabbit
Clonality
All clonalities for CDC2 / CDK2 antibodies
Polyclonal
Conjugate
All conjugates for CDC2 / CDK2 antibodies
This CDC2 / CDK2 antibody is un-conjugated
Application
All applications for CDC2 / CDK2 antibodies
ELISA, Western Blotting (WB), Immunohistochemistry (IHC)
Product Details anti-CDC2 / CDK2 Antibody
(hide)
Binding Specificity
pThr160
Specificity
Phospho-Cdk2/Cdc2 (T160) Polyclonal Antibody detects endogenous levels of Cdk2/Cdc2 protein only when phosphorylated at T160.
Characteristics
Rabbit Polyclonal to Phospho-Cdk2/Cdc2 (T160).
Purification
The antibody was affinity-purified from rabbit antiserum by affinity-chromatography using epitope-specific immunogen.
Immunogen
Synthesized peptide derived from human Cdk2/Cdc2 around the phosphorylation site of T160.
Isotype
IgG
Alternatives
(show)
Application Details
(hide)
Application Notes
WB 1:500-1:2000, IHC 1:100-1:300, ELISA 1:20000,
Restrictions
For Research Use only
Handling
(hide)
Format
Liquid
Concentration
1 mg/mL
Buffer
Liquid in PBS containing 50 % glycerol, 0.5 % BSA and 0.02 % sodium azide.
Preservative
Sodium azide
Precaution of Use
This product contains Sodium azide: a POISONOUS AND HAZARDOUS SUBSTANCE which should be handled by trained staff only.
Handling Advice
Avoid repeated freeze/thaw cycles.
Storage
-20 °C
Storage Comment
Store at -20°C.
Target Details for CDC2 / CDK2
(hide)
Target
CDC2 / CDK2 (CDC2)
(Cyclin-Dependent Kinase A-1 (CDC2))
Alternative Name
Cdk2/Cdc2
Molecular Weight
33 kDa
Gene ID
1017
UniProt
P24941
Recently viewed
(hide)
You are here:
Homepage
anti-CDC2 / CDK2 antibody (pThr160) (ABIN3182478)
Chat with us , powered by LiveChat