Phone:
+1 877 302 8632
Fax:
+1 888 205 9894 (Toll-free)
E-Mail:
orders@antibodies-online.com

ATR antibody (Ser428)

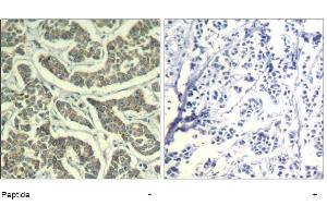
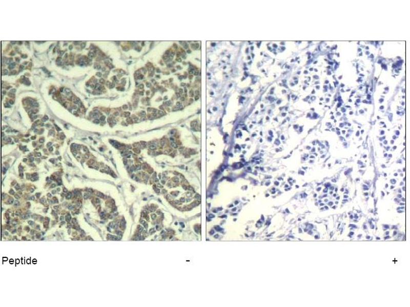
The Rabbit Polyclonal anti-ATR antibody is suitable to detect ATR in samples from Human. It has been validated for IHC (p).
Catalog No. ABIN319379
$558.00
Plus shipping costs $50.00
Shipping to: United States
Delivery in 1 to 2 Business Days

Quick Overview for ATR antibody (Ser428) (ABIN319379)

Target

See all ATR Antibodies
ATR (Ataxia Telangiectasia and Rad3 Related (ATR))

Reactivity

  • 7
  • 2
  • 1
  • 1
  • 1
  • 1
  • 1
Human

Host

  • 5
  • 2
Rabbit

Clonality

  • 5
  • 2
Polyclonal

Conjugate

  • 7
This ATR antibody is un-conjugated

Application

  • 7
  • 5
  • 5
  • 4
  • 2
  • 1
  • 1
  • 1
Immunohistochemistry (Paraffin-embedded Sections) (IHC (p))
  • Binding Specificity

    • 2
    • 1
    • 1
    • 1
    • 1
    Ser428

    Specificity

    This antibody detects endogenous levels of total ATR protein.

    Purification

    Immunoaffinity Chromatography.

    Immunogen

    The antiserum was produced against synthesized non-phosphopeptide derived from human ATR around the phosphorylation site of Serine 428 (G-I-SP-P-K).
  • Application Notes

    Immunohistochemistry (1/50-1/100).
    Other applications not tested.
    Optimal dilutions are dependent on conditions and should be determined by the user.

    Restrictions

    For Research Use only
  • Buffer

    PBS (without Mg2+ and Ca2+), pH 7.4, 150 mM NaCl, 0.02 % Sodium Azide and 50 % Glycerol.

    Preservative

    Sodium azide

    Precaution of Use

    This product contains sodium azide: a POISONOUS AND HAZARDOUS SUBSTANCE which should be handled by trained staff only.

    Handling Advice

    Avoid repeated freezing and thawing.

    Storage

    -20 °C

    Storage Comment

    Store the antibody (in aliquots) at-20 °C.
  • Target

    ATR (Ataxia Telangiectasia and Rad3 Related (ATR))

    Alternative Name

    ATR / FRP1

    Background

    Ataxia Telangiectasia Mutated (ATM) and Rad 3-related protein (ATR) is a phosphatidylinositol kinase (PK)-related kinase which functions in response to DNA damage and repair as well as at DNA replication checkpoints during the cell cycle. ATR is a member of the DNA-PK kinases closely related to ATM and DNA-PK for which DNA stimulates the observed kinase activity. Chromosomal remodeling proteins have also been reported to associate with ATR complexes. Several known components of the NuRD complex including histone deacetylase 1 (HDAC1), HDAC2, and CHD4.Synonyms: Ataxia telangiectasia and Rad3-related protein, FRAP-related protein 1, Serine/threonine-protein kinase ATR

    Gene ID

    545

    NCBI Accession

    NP_001175

    UniProt

    Q13535

    Pathways

    p53 Signaling, Apoptosis, DNA Damage Repair, Positive Regulation of Response to DNA Damage Stimulus
You are here:
Chat with us!