UIMC1 antibody (C-Term)
Quick Overview for UIMC1 antibody (C-Term) (ABIN343912)
Target
See all UIMC1 AntibodiesReactivity
Host
Clonality
Conjugate
Application
-
-
Binding Specificity
- C-Term
-
Purification
- Immunoaffinity purified
-
Isotype
- IgG
-
-
-
-
Application Notes
-
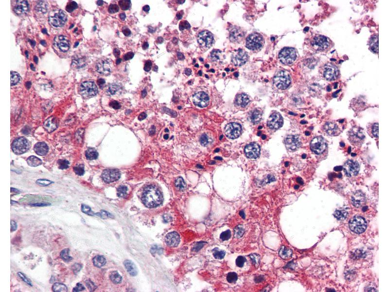
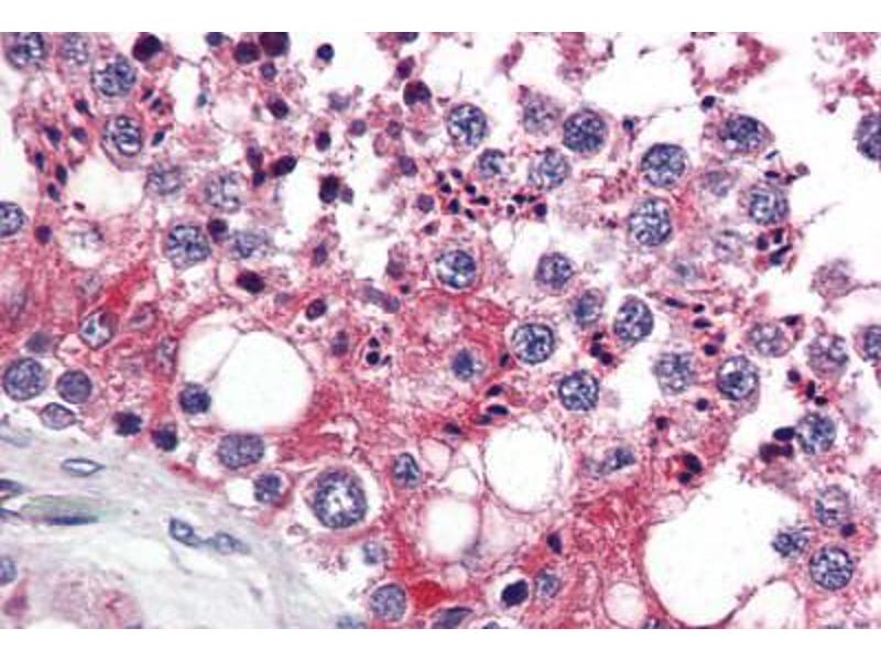
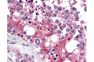
Approved: ELISA, IHC, IHC-P (5 μg/mL), WB (2 μg/mL)
Usage: Immunohistochemistry: This antibody was validated for use in immunohistochemistry on a panel of 21 formalin-fixed, paraffin-embedded (FFPE) human tissues after heat induced antigen retrieval in pH 6.0 citrate buffer. After incubation with the primary antibody, slides were incubated with biotinylated secondary antibody, followed by alkaline phosphatase-streptavidin and chromogen. The stained slides were evaluated by a pathologist to confirm staining specificity. The optimal working concentration for this antibody was determined to be 5 μg/mL. -
Comment
-
Target Species of Antibody: Human
-
Restrictions
- For Research Use only
-
-
-
Format
- Liquid
-
Concentration
- Lot specific
-
Buffer
- PBS, 0.02 % sodium azide.
-
Preservative
- Sodium azide
-
Precaution of Use
- This product contains Sodium azide: a POISONOUS AND HAZARDOUS SUBSTANCE which should be handled by trained staff only.
-
Handling Advice
- avoid freeze thaw cycles. Store undiluted.
-
Storage
- 4 °C,-20 °C
-
Storage Comment
- Store at 4°C for 3 months and -20°C, stable for up to 1 year. Avoid repeated freeze-thaw cycles.
-
Expiry Date
- 12 months
-
-
- UIMC1 (Ubiquitin Interaction Motif Containing 1 (UIMC1))
-
Alternative Name
- UIMC1 / RAP80
-
Background
-
Name/Gene ID: UIMC1
Synonyms: UIMC1, BRCA1-A complex subunit RAP80, Receptor associated protein 80, RAP80, RXRIP110, X2HRIP110, Receptor-associated protein 80 -
Gene ID
- 51720
-
UniProt
- Q96RL1
-
Pathways
- DNA Damage Repair, Nuclear Hormone Receptor Binding, Positive Regulation of Response to DNA Damage Stimulus
Target
-