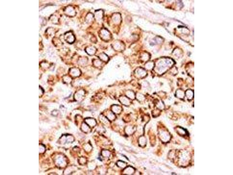
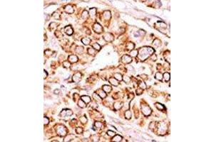
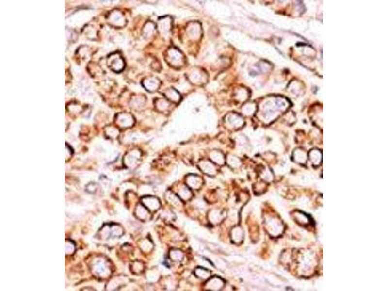
ELISA: 1/1,000. Immunohistochemistry: 1/50 - 1/100. Western blotting: 1/50 - 1/100. Other applications not tested. Optimal dilutions are dependent on conditions and should be determined by the user.
Restrictions
For Research Use only
Format
Liquid
Concentration
0.25 mg/mL
Buffer
PBS with 0.09 % (W/V) sodium azide
Preservative
Sodium azide
Precaution of Use
This product contains sodium azide: a POISONOUS AND HAZARDOUS SUBSTANCE which should be handled by trained staff only.
Handling Advice
Avoid repeated freezing and thawing.
Storage
4 °C/-20 °C
Storage Comment
Store the antibody undiluted at 2-8 °C for one month or (in aliquots) at-20 °C for longer.
PIP5K3 belongs to a large family of lipid kinases that alter the phosphorylation status of intracellular phosphatidylinositol. Signaling by phosphorylated species of phosphatidylinositol regulates diverse cellular processes, including membrane trafficking and cytoskeletal reorganization.Synonyms: 1-phosphatidylinositol-3-phosphate 5-kinase, FAB1, FYVE finger-containing phosphoinositide kinase, KIAA0981, PIKFYVE, PIP5K, PIPkin-III