Phone:
+1 877 302 8632
Fax:
+1 888 205 9894 (Toll-free)
E-Mail:
orders@antibodies-online.com

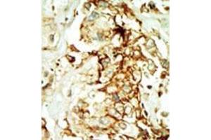
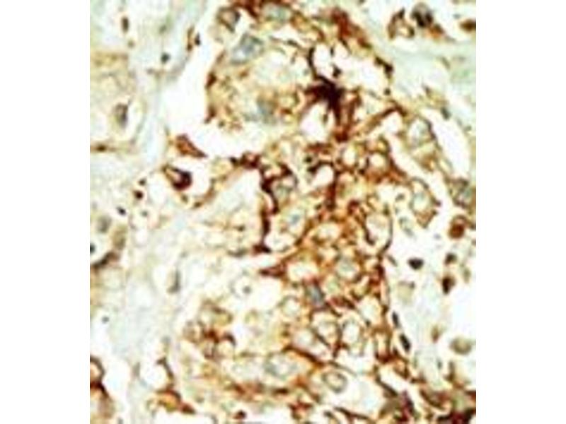
MAPK10 antibody (N-Term)

The Rabbit Polyclonal anti-MAPK10 antibody is suitable to detect MAPK10 in samples from Human and Mouse. It has been validated for WB, IHC (p) and EIA.
Catalog No. ABIN359417
$768.00
Plus shipping costs $50.00
0.4 mL
Shipping to: United States
Delivery in 1 to 2 Business Days

Quick Overview for MAPK10 antibody (N-Term) (ABIN359417)

Target

See all MAPK10 Antibodies
MAPK10 (Mitogen-Activated Protein Kinase 10 (MAPK10))

Reactivity

  • 82
  • 61
  • 46
  • 2
  • 2
  • 2
  • 2
  • 2
  • 2
  • 2
  • 1
  • 1
  • 1
  • 1
  • 1
Human, Mouse

Host

  • 84
  • 9
  • 3
Rabbit

Clonality

  • 66
  • 32
Polyclonal

Conjugate

  • 41
  • 11
  • 6
  • 5
  • 3
  • 3
  • 3
  • 3
  • 3
  • 3
  • 2
  • 2
  • 1
  • 1
  • 1
  • 1
  • 1
  • 1
  • 1
  • 1
  • 1
  • 1
  • 1
  • 1
  • 1
This MAPK10 antibody is un-conjugated

Application

  • 62
  • 44
  • 31
  • 22
  • 17
  • 13
  • 13
  • 13
  • 8
  • 5
  • 4
  • 2
Western Blotting (WB), Immunohistochemistry (Paraffin-embedded Sections) (IHC (p)), Enzyme Immunoassay (EIA)
  • Binding Specificity

    • 15
    • 11
    • 8
    • 8
    • 5
    • 3
    • 2
    • 1
    • 1
    • 1
    • 1
    • 1
    • 1
    • 1
    • 1
    • 1
    • 1
    • 1
    N-Term

    Specificity

    This antibody detects MAPK10 at C-term.

    Purification

    Protein G column, eluted with high and low pH buffers and neutralized immediately, followed by dialysis against PBS.

    Immunogen

    This antibody is generated from rabbits immunized with a KLH conjugated synthetic peptide selected from the N-terminal region of human MAPK10.

    Isotype

    Ig Fraction
  • Application Notes

    ELISA 1: 1,000. Western blot 1: 100 - 1: 500. Immunohistochemistry 1: 50 - 1: 100.
    Other applications not tested.
    Optimal dilutions are dependent on conditions and should be determined by the user.

    Restrictions

    For Research Use only
  • Format

    Liquid

    Concentration

    0.25 mg/mL

    Buffer

    PBS with 0.09 % (W/V) sodium azide

    Preservative

    Sodium azide

    Precaution of Use

    This product contains sodium azide: a POISONOUS AND HAZARDOUS SUBSTANCE which should be handled by trained staff only.

    Handling Advice

    Avoid repeated freezing and thawing.

    Storage

    4 °C/-20 °C

    Storage Comment

    Store the antibody at 2 - 8 °C up to one month or (in aliquots) at -20 °C for longer.
  • Target

    MAPK10 (Mitogen-Activated Protein Kinase 10 (MAPK10))

    Alternative Name

    MAPK10

    Background

    MAPK10 is a member of the MAP kinase family. MAP kinases act as an integration point for multiple biochemical signals, and are involved in a wide variety of cellular processes such as proliferation, differentiation, transcription regulation and development. This protein is a neuronal-specific form of c-Jun N-terminal kinases (JNKs). Through its phosphorylation and nuclear localization, this kinase plays regulatory roles in the signaling pathways during neuronal apoptosis. Beta-arrestin 2, a receptor-regulated MAP kinase scaffold protein, is found to interact with, and stimulate the phosphorylation of this kinase by MAP kinase kinase 4 (MKK4). Cyclin-dependent kinase 5 can phosphorylate, and inhibit the activity of this kinase, which may be important in preventing neuronal apoptosis.Synonyms: JNK3A, MAP kinase p49 3F12, Mitogen-activated protein kinase 10, PRKM10, Stress-activated protein kinase JNK3, c-Jun N-terminal kinase 3

    Molecular Weight

    52585 Da

    Gene ID

    5602, 9606

    UniProt

    P53779

    Pathways

    MAPK Signaling, WNT Signaling, TLR Signaling, Fc-epsilon Receptor Signaling Pathway, Activation of Innate immune Response, Hepatitis C, Toll-Like Receptors Cascades
You are here:
Chat with us!