HLA-E antibody
Quick Overview for HLA-E antibody (ABIN364251)
Target
See all HLA-E AntibodiesReactivity
Host
Clonality
Conjugate
Application
Clone
-
-
Specificity
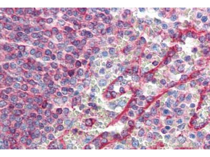
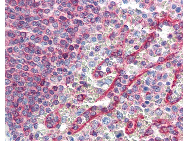
- Reacts with denatured heavy chain of human HLA-E. HLA-E belongs to the MHC Class I molecules (MHC Class Ib, nonclassical) and it is expressed on the surface of all human cell types
-
Purification
- Protein A purified
-
Immunogen
-
Recombinant human HLA-E denatured heavy chain.
Type of Immunogen: Recombinant protein -
Isotype
- IgG1
-
-
-
-
Application Notes
-
Approved: IHC, IHC-P (10 μg/mL), WB
Usage: Immunohistochemistry: This antibody was validated for use in immunohistochemistry on a panel of 21 formalin-fixed, paraffin-embedded (FFPE) human tissues after heat induced antigen retrieval in pH 6.0 citrate buffer. After incubation with the primary antibody, -
Comment
-
Target Species of Antibody: Human
-
Restrictions
- For Research Use only
-
-
-
Format
- Liquid
-
Concentration
- Lot specific
-
Buffer
- PBS, 15 mM sodium azide, approx, pH 7.4. Sourced in Ascites.
-
Preservative
- Sodium azide
-
Precaution of Use
- This product contains Sodium azide: a POISONOUS AND HAZARDOUS SUBSTANCE which should be handled by trained staff only.
-
Handling Advice
- avoid freeze thaw cycles.
-
Storage
- 4 °C,-20 °C
-
Storage Comment
- Short term 4°C, long term aliquot and store at -20°C, avoid freeze-thaw cycles.
-
-
- HLA-E (HLA Class I Histocompatibility Antigen, alpha Chain E (HLA-E))
-
Alternative Name
- HLA-E
-
Background
-
Name/Gene ID: HLA-E
Synonyms: HLA-E, EA2.1, HLAE, MHC HLA-E alpha-2.1, MHC HLA-E alpha-1, EA1.2, HLA-6.2, MHC class I antigen E, QA1 -
Gene ID
- 3133
-
UniProt
- P13747
-
Pathways
- Regulation of Leukocyte Mediated Immunity, Positive Regulation of Immune Effector Process, Human Leukocyte Antigen (HLA) in Adaptive Immune Response
Target
-