GRB2 antibody
Quick Overview for GRB2 antibody (ABIN364459)
Target
See all GRB2 AntibodiesReactivity
Host
Clonality
Conjugate
Application
-
-
Specificity
- Recognizes the N-terminal SH3 region of rat Grb2 at 23-25kD.
-
Purification
- Protein A purified
-
Immunogen
-
Recombinant rat GRB2/Ash.
Type of Immunogen: Recombinant protein -
Isotype
- IgG1 kappa
-
-
-
-
Application Notes
-
Approved: IHC, IHC-P (5 μg/mL), WB (0.5 - 2 μg/mL)
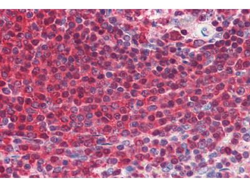
Usage: Immunohistochemistry: This antibody was validated for use in immunohistochemistry on a panel of 21 formalin-fixed, paraffin-embedded (FFPE) human tissues after heat induced antigen retrieval in pH 6.0 citrate buffer. After incubation with the primary antibody, slides were incubated with biotinylated secondary antibody, followed by alkaline phosphatase-streptavidin and chromogen. The stained slides were evaluated by a pathologist to confirm staining specificity. The optimal working concentration for this antibody was determined to be 5 μg/mL. Western Blot: 0.5-2 mg/mL. Detects GRB2 (23-25kD) in RIPA lysates of non-stimulated human A431 carcinoma cells. Previous lots detected GRB2 in RIPA lysates of mouse 3T3 fibroblasts, rat L6 myoblasts, Chinese hamster ovary cells and bovine brain extract. -
Comment
-
Target Species of Antibody: Rat
-
Restrictions
- For Research Use only
-
-
-
Format
- Liquid
-
Concentration
- Lot specific
-
Buffer
- PBS, 50 % glycerol.
-
Handling Advice
- Avoid repeat freeze-thaw cycles.
-
Storage
- 4 °C,-20 °C
-
Storage Comment
- Short term: 4°C. Long term: Store at -20°C. Avoid freeze-thaw cycles.
-
-
- GRB2 (Growth Factor Receptor-Bound Protein 2 (GRB2))
-
Alternative Name
- GRB2
-
Background
-
Name/Gene ID: GRB2
Synonyms: GRB2, Abundant SRC homology, Adapter protein GRB2, ASH, EGFRBP-GRB2, MST084, MSTP084, Protein Ash, SH2/SH3 adapter GRB2, Grb3-3, HT027, NCKAP2 -
Gene ID
- 2885
-
UniProt
- P62993
-
Pathways
- RTK Signaling, TCR Signaling, Fc-epsilon Receptor Signaling Pathway, EGFR Signaling Pathway, Neurotrophin Signaling Pathway, Regulation of Actin Filament Polymerization, Hepatitis C, Signaling Events mediated by VEGFR1 and VEGFR2, Signaling of Hepatocyte Growth Factor Receptor, EGFR Downregulation
Target
-