×
For best experience we recommend to activate Javascript in your browser.
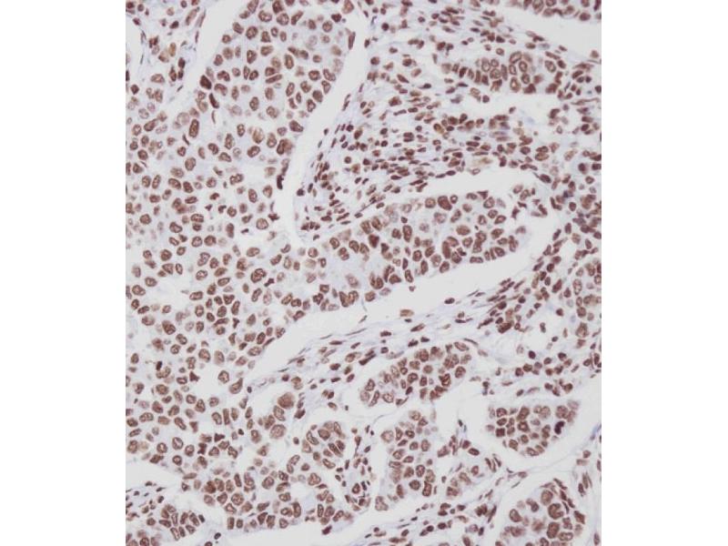
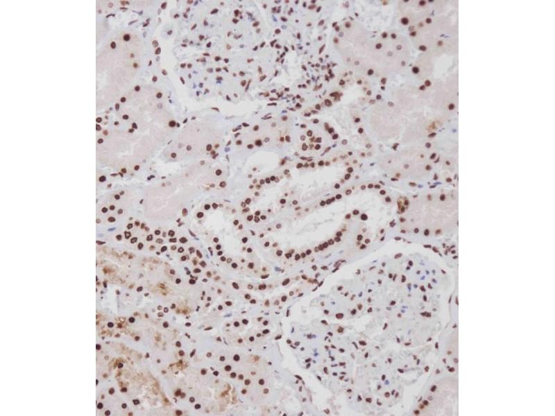
ERBB4 antibody (pTyr1188)
The Rabbit Polyclonal anti-ERBB4 antibody is suitable to detect ERBB4 in samples from Human. It has been validated for WB and IHC (p).
Catalog No. ABIN389573
$451.00
Plus shipping costs $50.00
80 μL ABIN2839599
400 μL ABIN389573
80 μL ABIN2839599
400 μL ABIN389573
Delivery in 10 to 12 Business Days
Quick Overview for ERBB4 antibody (pTyr1188) (ABIN389573)
Target
See all ERBB4 Antibodies
ERBB4
(V-Erb-A erythroblastic Leukemia Viral Oncogene Homolog 4 (Avian) (ERBB4))
Reactivity
All reactivities for ERBB4 antibodies
Human
Host
All hosts for ERBB4 antibodies
Rabbit
Clonality
All clonalities for ERBB4 antibodies
Polyclonal
Conjugate
All conjugates for ERBB4 antibodies
This ERBB4 antibody is un-conjugated
Application
All applications for ERBB4 antibodies
Western Blotting (WB), Immunohistochemistry (Paraffin-embedded Sections) (IHC (p))
Clone
RB6051
Product Details anti-ERBB4 Antibody
(hide)
Binding Specificity
All epitopes for ERBB4 antibodies
pTyr1188
Purification
This antibody is purified through a protein A column, followed by peptide affinity purification.
Immunogen
This HER4 Antibody is generated from rabbits immunized with a KLH conjugated synthetic phosphopeptide corresponding to amino acid residues surrounding Y1188 of human HER4.
Isotype
Ig Fraction
Alternatives
(show)
Application Details
(hide)
Application Notes
WB: 1:1000. IHC-P: 1:100. IHC-P: 1:100
Restrictions
For Research Use only
Handling
(hide)
Format
Liquid
Buffer
Purified polyclonal antibody supplied in PBS with 0.09 % (W/V) sodium azide.
Preservative
Sodium azide
Precaution of Use
This product contains Sodium azide: a POISONOUS AND HAZARDOUS SUBSTANCE which should be handled by trained staff only.
Storage
4 °C,-20 °C
Storage Comment
Maintain refrigerated at 2-8 °C for up to 6 months. For long term storage store at -20 °C in small aliquots to prevent freeze-thaw cycles.
Expiry Date
6 months
Target Details for ERBB4
(hide)
Target
ERBB4
(V-Erb-A erythroblastic Leukemia Viral Oncogene Homolog 4 (Avian) (ERBB4))
Alternative Name
HER4
Background
The HER4/ERBB4 gene is a member of the type I receptor tyrosine kinase subfamily that includes EGFR, ERBB2, and ERBB3. It encodes a receptor for NDF/heregulin.
Molecular Weight
146808
Gene ID
2066
NCBI Accession
NP_001036064 , NP_005226
UniProt
Q15303
Pathways
RTK Signaling , Fc-epsilon Receptor Signaling Pathway , EGFR Signaling Pathway , Neurotrophin Signaling Pathway
Recently viewed
(hide)
You are here:
Homepage
anti-ERBB4 antibody (pTyr1188) (ABIN389573)
Chat with us , powered by LiveChat