Phone:
+1 877 302 8632
Fax:
+1 888 205 9894 (Toll-free)
E-Mail:
orders@antibodies-online.com

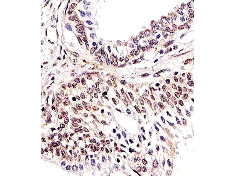
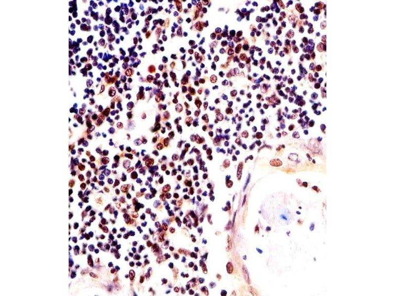
H2AFX antibody

This Mouse Monoclonal antibody specifically detects H2AFX in WB and IHC (p). It exhibits reactivity toward Human.
Catalog No. ABIN4910434
$453.85
Plus shipping costs $50.00
100 μL
Shipping to: United States
Delivery in 8 to 12 Business Days

Quick Overview for H2AFX antibody (ABIN4910434)

Target

See all H2AFX Antibodies
H2AFX (H2A Histone Family, Member X (H2AFX))

Reactivity

  • 203
  • 104
  • 90
  • 25
  • 25
  • 19
  • 15
  • 11
  • 8
  • 2
  • 2
  • 2
  • 2
  • 1
  • 1
  • 1
Human

Host

  • 181
  • 22
  • 2
  • 2
Mouse

Clonality

  • 121
  • 86
Monoclonal

Conjugate

  • 122
  • 10
  • 6
  • 6
  • 6
  • 6
  • 6
  • 6
  • 5
  • 4
  • 4
  • 3
  • 2
  • 2
  • 2
  • 2
  • 2
  • 2
  • 2
  • 2
  • 2
  • 2
  • 1
  • 1
  • 1
This H2AFX antibody is un-conjugated

Application

  • 174
  • 89
  • 71
  • 55
  • 45
  • 31
  • 31
  • 27
  • 25
  • 16
  • 8
  • 4
  • 4
  • 3
  • 2
  • 2
  • 2
  • 2
  • 1
  • 1
Western Blotting (WB), Immunohistochemistry (Paraffin-embedded Sections) (IHC (p))

Clone

8C5
  • Cross-Reactivity

    Human

    Purification

    Purified monoclonal antibody supplied in PBS with 0.09% (W/V) sodium azide. This antibody is purified through a protein G column, eluted with high and low pH buffers and neutralized immediately, followed by dialysis against PBS.

    Immunogen

    This H2AFX antibody is generated from mice immunized with a KLH conjugated synthetic peptide between 115-143 amino acids from the C-terminal region of human H2AFX.

    Isotype

    IgG1
  • Application Notes

    WB 1:300-5000
    IHC-P 1:200-400

    Restrictions

    For Research Use only
  • Format

    Liquid

    Concentration

    0.5 μg/μL

    Buffer

    0.01M TBS( pH 7.4) with 1 % BSA, 0.02 % Proclin300 and 50 % Glycerol.

    Preservative

    ProClin

    Precaution of Use

    This product contains ProClin: a POISONOUS AND HAZARDOUS SUBSTANCE, which should be handled by trained staff only.

    Storage

    4 °C,-20 °C

    Storage Comment

    Shipped at 4°C. Store at -20°C for one year. Avoid repeated freeze/thaw cycles.

    Expiry Date

    12 months
  • Target

    H2AFX (H2A Histone Family, Member X (H2AFX))

    Alternative Name

    H2AFX

    Background

    Synonyms: H2AX, H2A.X, H2A/X, Histone H2AX, Histone H2A.X, H2AFX

    Background: Variant histone H2A which replaces conventional H2A in a subset of nucleosomes. Nucleosomes wrap and compact DNA into chromatin, limiting DNA accessibility to the cellular machineries which require DNA as a template. Histones thereby play a central role in transcription regulation, DNA repair, DNA replication and chromosomal stability. DNA accessibility is regulated via a complex set of post-translational modifications of histones, also called histone code, and nucleosome remodeling. Required for checkpoint-mediated arrest of cell cycle progression in response to low doses of ionizing radiation and for efficient repair of DNA double strand breaks (DSBs) specifically when modified by C-terminal phosphorylation.

    Gene ID

    3014

    UniProt

    P16104

    Pathways

    Telomere Maintenance, DNA Damage Repair, Positive Regulation of Response to DNA Damage Stimulus
You are here:
Chat with us!