PPP2R1B antibody
Quick Overview for PPP2R1B antibody (ABIN4913189)
Target
See all PPP2R1B AntibodiesReactivity
Host
Clonality
Conjugate
Application
Clone
-
-
Cross-Reactivity
- Human, Mouse, Rat
-
Purification
- Purified by Protein G.
-
Immunogen
- This PPP2R1B antibody is generated from a mouse immunized with a recombinant protein of human PPP2R1B.
-
Isotype
- IgG1
-
-
-
-
Application Notes
-
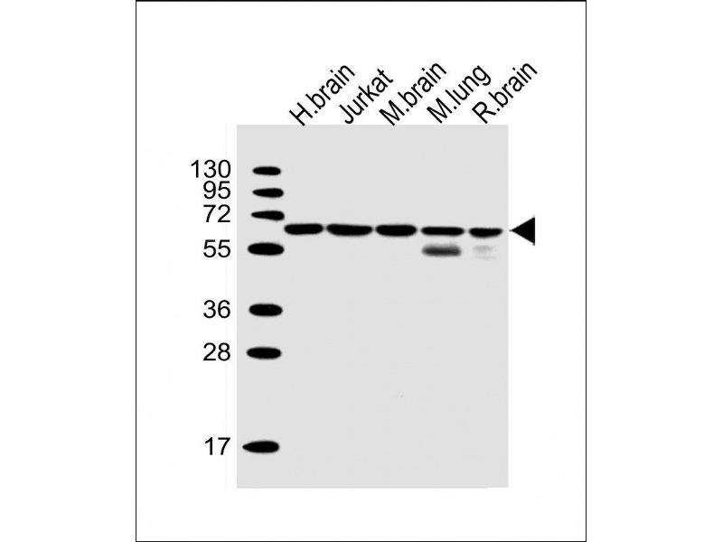
WB 1:300-5000
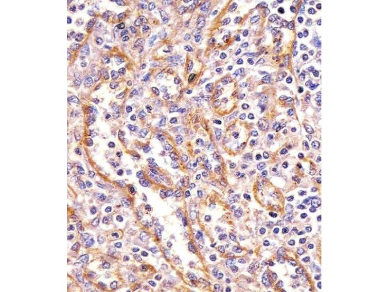
IHC-P 1:200-400 -
Restrictions
- For Research Use only
-
-
-
Format
- Liquid
-
Concentration
- 0.5 μg/μL
-
Buffer
- 0.01M TBS( pH 7.4) with 1 % BSA, 0.02 % Proclin300 and 50 % Glycerol.
-
Preservative
- ProClin
-
Precaution of Use
- This product contains ProClin: a POISONOUS AND HAZARDOUS SUBSTANCE, which should be handled by trained staff only.
-
Storage
- -20 °C
-
Storage Comment
- Store at -20°C for 12 months.
-
Expiry Date
- 12 months
-
-
- PPP2R1B (Protein Phosphatase 2, Regulatory Subunit A, beta (PPP2R1B))
-
Alternative Name
- PPP2R1B
-
Background
-
Synonyms: PR65B, PP2A-Abeta, Serine/threonine-protein phosphatase 2A 65 kDa regulatory subunit A beta isoform, PP2A subunit A isoform PR65-beta, PP2A subunit A isoform R1-beta, PPP2R1B
Background: The PR65 subunit of protein phosphatase 2A serves as a scaffolding molecule to coordinate the assembly of the catalytic subunit and a variable regulatory B subunit.
-
Gene ID
- 5519
-
UniProt
- P30154
-
Pathways
- PI3K-Akt Signaling, Mitotic G1-G1/S Phases, Hepatitis C, Toll-Like Receptors Cascades
Target
-